Caso clínico
Paciente femenina de 62 años, en estudio por fiebre prolongada de varios meses de evolución (entre 37 y 38ºC) con antecedente de tratamiento odontológico. En los últimos meses refiere mayor malestar general, con astenia y anorexia importantes. El interrogatorio epidemiológico no revela historia de viajes recientes a zonas endémicas, relaciones de riesgo, contacto con animales, ni convivencia con personas portadoras de tuberculosis o procesos febriles. Tampoco relata consumo de leche no pasteurizada.
En la exploración física presenta temperatura axilar de 37,8ºC, PA 107/63 mmHg, ritmo cardíaco regular de 90 lpm, frecuencia respiratoria de 16 rpm. EVA 0/10. Buen estado general, eupneica, bien hidratada y nutrida, bien perfundida. No lesiones cutáneas, no bocio, no adenopatías. Leve palidez conjuntival. No puntos dolorosos faciales o craneales. Boca y faringe normales. Tórax simétrico, mamas normales. AC y AP normal. Abdomen blando y depresible, sin visceromegalias ni masas, ni dolor a la palpación profunda. Percusión renal no dolorosa. Apófisis espinosas no dolorosas a la presión. Sacroilíacas libres. No hernia inguinal. Extremidades normales. Examen neurológico normal.
Los datos de laboratorio e imagen son los siguientes:
- Hemograma: Hb 11,2 g/dL, hematocrito 33%, leucocitos normales, plaquetas 558000/mm3.
- VSG: 63 mm/h (normal hasta 20).
- Bioquímica plasmática: GGT 357 U/L (normal hasta 38), fosfatasa alcalina 486 U/L (normal hasta 129). Resto dentro de valores normales.
- Hemocultivos (x3) y urocultivo: negativos.
- Marcadores tumorales: CEA, CA 15.3, CA 19.9, AFP, B2 mcgb, normales.
- Test de Mantoux (PPD): negativo (0 mm).
- Serologías: R conorii, Rosa de Bengala, B burgdorferi, Leishmania, negativas.
- Autoinmunidad: FR, LKM, ANCA, ASMA, PCC, AMA, negativos.
- TAC dental sin evidencia de absceso apical sobre la zona del tornillo metálico del incisivo central superior izquierdo.
- TAC craneal y cérvico-tóraco-abdominal: normal.
- Ecografía abdominal: normal.
- Ecocardiograma: leve insuficiencia mitral sin evidencia de endocarditis.
La paciente permanece estable clínicamente y sin complicaciones, aunque persiste la fiebre diaria de 38º-39ºC, astenia y cefalea intermitente, sin otros elementos clínicos a destacar. Los datos sugieren una posible arteritis granulomatosa de células gigantes (fiebre en persona mayor de 50 años, cefalea, VSG elevada, reactantes de fase aguda, elevación de enzimas de colestasis).
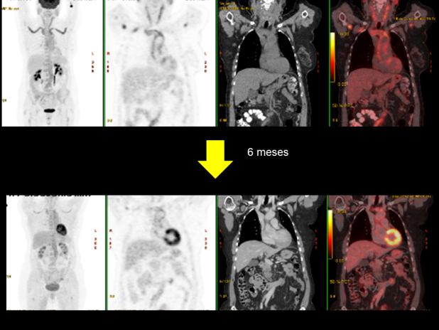
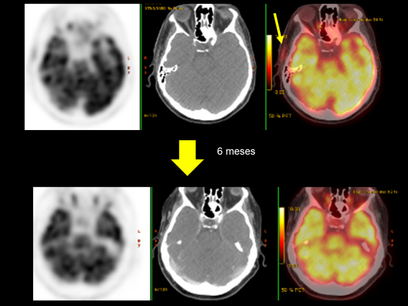
Se realiza PET-CT con 18F-FDG, procedimiento integrado al protocolo de estudio de fiebre de origen desconocido. El resultado muestra aumento de actividad metabólica a lo largo de del cayado aórtico (SUV 7.5), troncos supraaórticos y sus divisiones subclavias-axilares (SUV 6.3-7), carótidas comunes (SUV 5), aorta abdominal (SUV 4.6) y ejes ilíacos (SUV 4.6), interpretándose como arteritis de grandes vasos (Figs. 1 y 2). En la región temporal derecha, coincidiendo con el plano fascial también se identifica aumento de actividad (SUV 3), asimétrico con respecto al lado izquierdo, que se acompaña de alteración de densidad de la grasa, lo que sugiere la presencia de arteritis temporal (Fig. 3).



Se procede a realizar una biopsia de arteria temporal derecha, cuya anatomía patológica muestra segmento de arteria muscular con calcificaciones distróficas de la capa media y ausencia de signos de arteritis en el material examinado.
Si bien la biopsia de arteria temporal es normal, en el PET-CT existe importante afectación de la aorta desde la porción ascendente hasta la bifurcación y grandes ramas, compatible con una arteritis inflamatoria. Se decide iniciar terapia esteroidea y mantener estrecho seguimiento en consultas externas, con el diagnóstico de probable arteritis granulomatosa.
Se realiza PET-CT de control a los 6 meses de iniciado el tratamiento, que muestra respuesta morfo-metabólica parcial, con disminución de la actividad en grandes vasos incluyendo arteria temporal derecha y mejoría radiológica de las alteraciones inflamatorias circundantes (Figs. 4 y 5). Los datos cuantitativos comparativos (SUV) son los siguientes:


- Cayado aórtico (previo SUV 7.5, actual 3.5).
- Troncos supraaórticos y divisiones (previo SUV 6.3-7, actual 4.4).
- Carótidas comunes (previo SUV 5, actual 3.1).
- Aorta abdominal (previo SUV 4.6, actual 4.1).
- Ejes ilíacos (previo SUV 4.6, actual 3.2).

