Caso clínico
Paciente varón de 63 años en estudio por deterioro cognitivo con antecedente de enfermedad de Alzheimer en madre y tío paterno, de inicio senil. Presenta cuadro de comienzo insidioso y curso progresivo, consistente en trastorno de memoria consistente en dificultad para recordar hechos recientes y se muestra reiterativo, aspectos claramente relatados por el entorno del paciente, aunque éste únicamente refiere olvidos ocasionales a los que no atribuye importancia. La familia también refiere sintomatología en la esfera neuropsiquiátrica dada por decaimiento anímico, tristeza, leve apatía, inflexibilidad mental e irritabilidad. No relatan cambios funcionales significativos en las actividades diarias del paciente. La exploración física neurológica no evidenció signos de focalidad.
La analítica completa fue normal, incluyendo estudio de vitaminas B, homocisteína y pruebas de función tiroidea. La evaluación neuropsicológica mostró trastorno parcial de memoria verbal (procesamiento, recuperación y almacenamiento) que se acusa en recuerdo diferido y en la memoria visual, así como menor rendimiento en fluidez verbal semántica y fonémica. El EEG mostró ondas theta temporales a izquierda y la polisomnografía de sueño diurno acusó actividad cerebral dentro de la normalidad.
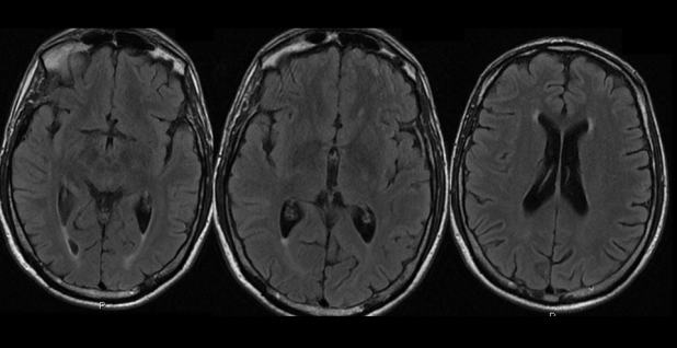
En la resonancia magnética (RM) se encontró discreto aumento del espacio extraaxial y del sistema ventricular supratentorial, secundario a atrofia parenquimatosa córtico-subcortical dependiente de la edad (fig. 1).

Se realizó PET-RM con 18F-FDG, que evidenció descenso de la actividad neuronal en polo anterior y neocórtex anterolateral de ambos lóbulos temporales, de forma más marcada en el lado derecho, donde se ve comprometido parcialmente el neocórtex póstero-lateral (fig. 2).

Se complementó con estudio PET Beta- amiloide (18F-Florbetaben). En las imágenes precoces post-inyección que aportan información de la perfusión cerebral, no se apreciaron alteraciones significativas en las diferentes estructuras corticales que conforman ambos hemisferios cerebrales, así como tampoco a nivel subcortical ni en fosa posterior (fig 3). En las imágenes tardías post-inyección que informan sobre la densidad de placa neurítica de beta-amiloide (fig. 4) se observó pérdida de la diferenciación entre sustancia gris y sustancia blanca en todas las regiones claves. La sustancia gris de dichas regiones muestra una importante captación del trazador, superior a la de la sustancia blanca, abarcando la mayoría de los cortes y en algunas zonas llegando incluso al margen cortical exterior. Presenta una puntuación CCRT (captación cortical regional de trazador) de 3. El estudio se considera globalmente como positivo con un CPAE grado 3 (exploración con depósitos importantes de beta-amiloide).


La orientación diagnóstica fue demencia tipo Alzheimer (DTA) típica según criterios IWG-2, dado que presenta: a) fenotipo clínico específico con afectación precoz de memoria episódica asociada a cambios conductuales, que sugieren el diagnóstico de Deterioro Cognitivo Leve Amnésico, y b) evidencia "in vivo" de patología tipo Alzheimer mediante estudio PET amiloide.
La evolución ratificó el diagnóstico clínico de proceso degenerativo primario tipo DTA, lo cual fue confirmado por una prueba de neuroimagen funcional con SPECT-CT usando 99mTc-HMPAO (fig. 5), practicada a los dos años de iniciar el estudio del paciente.


