Caso clínico
Niña de 10 años de edad, sin antecedentes familiares ni personales a destacar, con un tiempo de enfermedad de 6 meses caracterizada por dolor abdominal en hipogastrio, posprandial, tipo urente. Presenta de manera súbita dolor abdominal agudo en el cuadrante inferior derecho del abdomen, por lo que fue sometida a laparoscopia diagnóstica encontrando líquido libre y plastrón en región apendicular, sin visualizar apéndice. Continúa con sintomatología, por lo que se le solicita una gammagrafía con 99mTc-O4- para detección de HG en divertículo de Meckel, la cual es realizada, con un equipo SPECT/CT (OPTIMA NM/CT 640, GE), tomógrafo de 4 cortes. Se adquirieron imágenes estáticas planares e híbridas (SPECT/TC) de región abdominal tras la inyección endovenosa de 20 mCi de 99mTc-O4- a los 30 y 60 minutos. Se pudo visualizar captación del radiotrazador en hipogastrio sobre la línea media en la imagen planar (fig. 1 A), mientras que en las imágenes tomográficas fusionadas se objetivó captación entre asas intestinales a la altura del cuerpo vertebral S1 (fig. 1 B-D).

La paciente es reintervenida quirúrgicamente con laparotomía exploratoria, realizando revisión de asas intestinales delgadas, no encontrando divertículo de Meckel en su posición anatómica habitual. La paciente es dada de alta con mediación antiespasmódica y omeprazol, siendo controlada por consultorio externo de gastroenterología y cirugía pediátrica, persistiendo con dolor abdominal tipo urente posprandial en hipogastrio que mejora parcialmente con la medicación. Se le realiza ecografía abdominal completa, la cual informa colelitiasis como único hallazgo. Presenta pérdida ponderal, con dolor causado con la ingesta de alimentos; se le solicita nueva gammagrafía con 99mTc-O4- a los 2 meses de evolución, la cual se adquiere con protocolo similar al anterior obteniendo imágenes en idénticas condiciones (fig. 2), la que comparada con estudio previo objetiva persistencia de captación del trazador en hipogastrio, de iguales características.

Se somete a junta médica, donde se plantea proceder a una nueva laparotomía diagnóstica con cirugía radioguiada. El día de la cirugía la paciente es conducida al Servicio de Medicina Nuclear, donde tras inyectársele 20 mCi de 99mTc-O4-, es trasladada a sala de operaciones (SOP). Dos médicos nucleares y un tecnólogo nuclear asisten a SOP, con una cámara gamma portátil que cuenta con sonda gamma incluida (SENTINELLA 102 SN-01007733) y una sonda gamma portátil (CRISTAL PROBE CXS-SG03).
Con la paciente bajo efectos de anestesia general, aproximadamente a los 30 minutos de la inyección del radiofármaco, 2 cirujanos pediatras proceden a la apertura de cavidad abdominal mediante incisión mediana supra e infra umbilical. Se revisa borde anti mesentérico partiendo de la válvula ileocecal, no encontrando divertículo de Meckel. Se obtienen imágenes con la cámara gamma portátil intraoperatoria (fig. 3), donde se puede objetivar captación focal por encima de otro sitio de captación de mayor volumen que corresponde a la vejiga urinaria.

Mediante uso de la sonda PROBE, se ubica la lesión en raíz del mesenterio (fig. 4A) y se realiza exéresis de la misma, tratándose de un tumor de 3x3 cm que capta ávidamente el radiotrazador (fig. 4B-C). La extirpación completa es confirmada al observarse solamente captación en vejiga mediante la cámara gamma portátil (fig. 5A-B). El procedimiento completo insume aproximadamente 30 minutos y la paciente evoluciona favorablemente, siendo dada de alta en buenas condiciones.


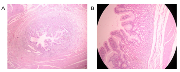
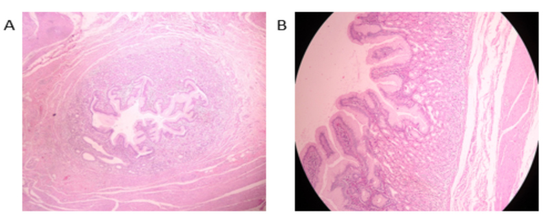
El estudio histopatológico (fig. 6) consignando en el informe anatomopatológico mucosa gástrica heterotópica en relación a divertículo de Meckel. La paciente es controlada en consultorio externo, con desaparición del dolor abdominal y recuperación de su peso basal.


