Caso clínico
Varón de 73 años con antecedentes personales de hipertensión arterial (HTA), fibrilación auricular (FA) paroxística tratada mediante cardioversión programada, episodios de isquemia cerebral transitoria (AIT), en estudio por disnea progresiva acompañada de dolor torácico de dos semanas de evolución. Durante el ingreso arrojó en la analítica de sangre un proBNP aumentado y se realizó un ecocardiograma que otorgó el diagnóstico de insuficiencia cardíaca de novo, con miocardiopatía dilatada y función sistólica severamente reducida. Se instauró tratamiento betabloqueante y diurético, con seguimiento en consulta ambulatoria.
Durante el siguiente año el paciente se mantuvo estable clínicamente, a excepción de episodios aislados de hipertensión. En un nuevo ecocardiograma de control se comprobó una hipertrofia concéntrica severa del ventrículo izquierdo con una función sistólica límite, recomendándose descartar miocardiopatía infiltrativa.
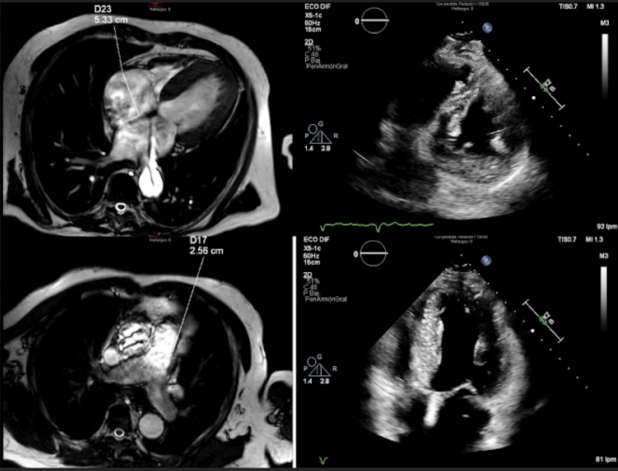
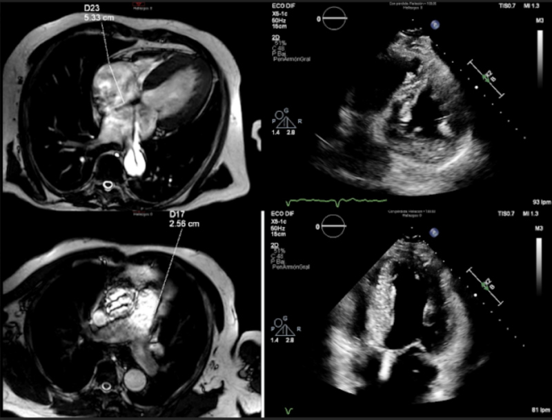
Se realizó una cardio-resonancia magnética (CRM), la cual informó de hallazgos compatibles con miocardiopatía infiltrativa, planteando como primera posibilidad amiloidosis cardíaca (Fig. 1). Finalmente, la gammagrafía con 99mTc-HDP y SPECT/TC torácico reveló captación del radiotrazador por parte de ambos ventrículos, de carácter difuso y grado 3 en la escala de Perugini, siendo estos hallazgos altamente sugestivos de afectación por amiloidosis cardíaca por acúmulo de transtirretina (TTR)(1,2,3) (Fig. 2).

La amiloidosis cardíaca se refiere a la afectación del corazón por depósitos amiloides, causando una miocardiopatía infiltrativa restrictiva. Una de las presentaciones más comunes es la que constituye la amiloidosis cardíaca por acúmulo de TTR(1,2,3).


