Desarrollo
Caso No. 1
Paciente de 63 años con antecedentes de insuficiencia renal crónica en hemodiálisis, que luego de haber superado un proceso inflamatorio odontológico 20 días antes, consulta por adenopatías cervicales. Al examen físico el paciente no presentaba síntomas ni signos de infección y/o inflamación, constatándose solamente una tumoración palpable submandibular derecha. Se solicitó inicialmente TC de tórax, en la que como hallazgo adicional se informó una lesión lítica expansiva con componente de partes blandas en 7° arco costal izquierdo. En ese momento, el laboratorio reporta: hematocrito 38.4 %, leucocitos 10.900/mm3, velocidad de eritrosedimentación de 80 mm, calcemia de 5,1 mEq/L, fosfato de 8,4 mg/dl; no fue dosificada PTH. El resto de los valores del laboratorio se encontraban dentro de normalidad.
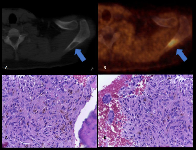
A raíz del hallazgo tomográfico y por sospecha de patología oncológica se solicita PET- CT con fluorodesoxiglucosa (18F-FDG), donde se advierten múltiples lesiones óseas líticas hipermetabólicas (algunas con erosión de la cortical), incluyendo un foco esternal con SUV máx. 8,4, otra en el 7° arco costal derecho (fig. 1) y una tercera imagen focal con insuflación cortical, densidad en vidrio esmerilado en su interior ubicada en tercio medio femoral (fig. 2, arriba), con algunos otros focos hipermetabólicos sin traducción tomográfica. También se evidencia a nivel submaxilar derecho una lesión con densidad de partes blandas, con captación aumentada (SUV máx. 4,2) y centro fotopénico en relación a necrosis.

La 18F-FDG es un radiotrazador que permite analizar el metabolismo energético de la lesión en estudio; representa un marcador imagenológico inespecífico, ya que puede ser captado con tanta avidez por una lesión oncológica como por una patología inflamatoria. Solamente indica aumento de metabolismo de glucosa y no informa sobre su etiología, la cual debe ser valorada en un contexto clínico-morfo-metabólico y certificada con estudio anatomopatológico. (3) En este caso, la interpretación clínica del PET-CT con FDG fue que la formación submaxilar estaba en relación a compromiso inflamatorio/infeccioso derivado del procedimiento quirúrgico odontológico reciente, descartando una posible patología oncológica linfo-proliferativa. Se llegó a la conclusión preliminar de que las lesiones óseas formaban parte de un proceso osteodistrófico debido a la patología renal crónica de base. Esto condujo a la toma de biopsia con confirmación histopatológica de la lesión en el 7° arco costal posterior izquierdo, donde se halló evidencia compatible con tumor pardo (fig. 2, abajo).

Caso No. 2
Paciente de 72 años con insuficiencia renal crónica en plan de trasplante, con cirugía previa de paratiroides. Por valores elevados persistentes de PTH y ante resultados confusos del centellograma con 99m Tc- sestamibi, se realiza PET-CT con 18F-Colina para detectar presencia de tejido paratiroideo hiperfuncionante. En el estudio híbrido morfo-molecular se evidencia imagen nodular de 17 mm en región ínfero medial cervical anterior con aumento de la captación del radiotrazador (SUV máx. 3,5) consistente con tejido paratiroideo (fig. 3). Además, se detecta una lesión predominantemente lítica e hipercaptante de 26 mm de diámetro en la espina del omóplato izquierdo, que cursaba en forma asintomática (fig. 4, arriba). Se realiza biopsia de la misma, dando como resultado tumor pardo (fig. 4, abajo).



