Cuando no todo es lo que parece: correlato clínico, morfo-metabólico e histológico en dos casos de tumores pardos
María Bastianello1, Roxana Chirico1, Alejandra De Salazar1, Maria Lia Dominguez1, Carlos Ferrarotti1, Ricardo Sánchez Marull1.1 - Servicios de Imágenes Moleculares, Diagnóstico por Imágenes y Anatomía Patológica. CEMIC, Buenos Aires, Argentina..
Introducción
Los tumores pardos u osteoclastomas son lesiones líticas histológicamente benignas que se expresan bajo la forma de osteítis fibrosa quística severa. Resultan de un alto remodelado óseo debido a la presencia de elevados niveles de hormona paratiroidea (PTH), dando como resultado gran actividad osteoclástica y presencia de fibrosis peritrabecular progresiva con disminución de la cortical ósea y acumulación de hemosiderina en la lesión, siendo ésta última la causa de la característica tonalidad parda de los osteoclastomas(1).
Estos tumores son raramente reportados, siendo su incidencia menor al 2%. La forma de presentación es muy variada, dado que pueden ser lesiones mono o poliostóticas, comprometiendo más frecuentemente la calota, húmeros, fémures, arcos costales, clavículas y falanges, entre otros huesos(2). A raíz de que cada día los estudios de PET-CT con diferentes radiotrazadores son utilizados más frecuentemente en los algoritmos diagnósticos de distintas patologías en pacientes con insuficiencia renal crónica, señalamos la necesidad de conocer estos hallazgos incidentales asintomáticos que obligan al diagnóstico diferencial con otras patologías, incluyendo las oncológicas. Presentamos dos casos clínicos pertenecientes a nuestro Hospital Universitario, en los cuales se observó aumento de captación de dos radiotrazadores diferentes de uso común en la modalidad PET-CT y su correspondiente correlato histopatológico.
Desarrollo
Caso No. 1
Paciente de 63 años con antecedentes de insuficiencia renal crónica en hemodiálisis, que luego de haber superado un proceso inflamatorio odontológico 20 días antes, consulta por adenopatías cervicales. Al examen físico el paciente no presentaba síntomas ni signos de infección y/o inflamación, constatándose solamente una tumoración palpable submandibular derecha. Se solicitó inicialmente TC de tórax, en la que como hallazgo adicional se informó una lesión lítica expansiva con componente de partes blandas en 7° arco costal izquierdo. En ese momento, el laboratorio reporta: hematocrito 38.4 %, leucocitos 10.900/mm3, velocidad de eritrosedimentación de 80 mm, calcemia de 5,1 mEq/L, fosfato de 8,4 mg/dl; no fue dosificada PTH. El resto de los valores del laboratorio se encontraban dentro de normalidad.
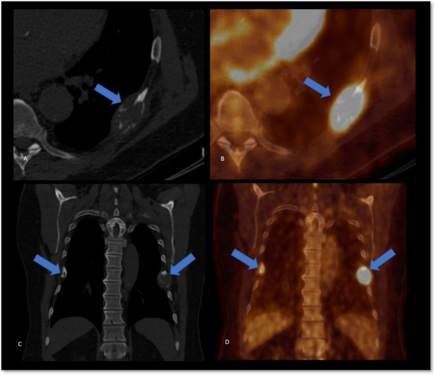
A raíz del hallazgo tomográfico y por sospecha de patología oncológica se solicita PET- CT con fluorodesoxiglucosa (18F-FDG), donde se advierten múltiples lesiones óseas líticas hipermetabólicas (algunas con erosión de la cortical), incluyendo un foco esternal con SUV máx. 8,4, otra en el 7° arco costal derecho (fig. 1) y una tercera imagen focal con insuflación cortical, densidad en vidrio esmerilado en su interior ubicada en tercio medio femoral (fig. 2, arriba), con algunos otros focos hipermetabólicos sin traducción tomográfica. También se evidencia a nivel submaxilar derecho una lesión con densidad de partes blandas, con captación aumentada (SUV máx. 4,2) y centro fotopénico en relación a necrosis.

La 18F-FDG es un radiotrazador que permite analizar el metabolismo energético de la lesión en estudio; representa un marcador imagenológico inespecífico, ya que puede ser captado con tanta avidez por una lesión oncológica como por una patología inflamatoria. Solamente indica aumento de metabolismo de glucosa y no informa sobre su etiología, la cual debe ser valorada en un contexto clínico-morfo-metabólico y certificada con estudio anatomopatológico. (3) En este caso, la interpretación clínica del PET-CT con FDG fue que la formación submaxilar estaba en relación a compromiso inflamatorio/infeccioso derivado del procedimiento quirúrgico odontológico reciente, descartando una posible patología oncológica linfo-proliferativa. Se llegó a la conclusión preliminar de que las lesiones óseas formaban parte de un proceso osteodistrófico debido a la patología renal crónica de base. Esto condujo a la toma de biopsia con confirmación histopatológica de la lesión en el 7° arco costal posterior izquierdo, donde se halló evidencia compatible con tumor pardo (fig. 2, abajo).

Caso No. 2
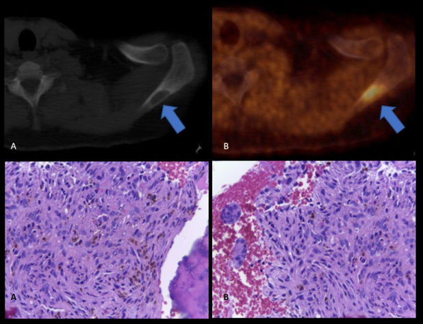
Paciente de 72 años con insuficiencia renal crónica en plan de trasplante, con cirugía previa de paratiroides. Por valores elevados persistentes de PTH y ante resultados confusos del centellograma con 99m Tc- sestamibi, se realiza PET-CT con 18F-Colina para detectar presencia de tejido paratiroideo hiperfuncionante. En el estudio híbrido morfo-molecular se evidencia imagen nodular de 17 mm en región ínfero medial cervical anterior con aumento de la captación del radiotrazador (SUV máx. 3,5) consistente con tejido paratiroideo (fig. 3). Además, se detecta una lesión predominantemente lítica e hipercaptante de 26 mm de diámetro en la espina del omóplato izquierdo, que cursaba en forma asintomática (fig. 4, arriba). Se realiza biopsia de la misma, dando como resultado tumor pardo (fig. 4, abajo).


Discusión
El hallazgo morfológico de una lesión lítica única o múltiples debe abordarse desde varios puntos de vista, siendo imprescindible disponer de una historia clínica completa que incluya interrogatorio, examen físico y datos de laboratorio adecuados y actualizados. En los casos descriptos, estamos ante lesiones líticas en pacientes asintomáticos con antecedente de insuficiencia renal crónica.
En el caso número 1, las lesiones líticas fueron hallazgos tomográficos que se realizaron ante la presencia de una tumefacción cervical derecha post extracción dentaria, constatándose glóbulos blancos y eritrosedimentación elevada, solicitándose estudio morfo-metabólico con 18F-FDG ante la sospecha de patología oncológica. Se trataba de un paciente con insuficiencia renal crónica de base, con adenopatías cervicales que hacían sospechar una probable enfermedad linfoproliferativa, en un contexto de inmunosupresión por ERC.
El caso número 2 se trata de un paciente sometido a un estudio morfo-metabólico PET-CT con 18F-Colina pre trasplante renal, indicado para descartar presencia de tejido paratiroideo hiperfuncionante ante la sospecha de hiperparatiroidismo terciario, siendo la lesión lítica en omóplato un hallazgo cuya posible etiología oncológica debía ser descartada. La colina forma parte de los fosfolípidos de la membrana celular, resultando ser la 18F-Colina un excelente biomarcador de proliferación celular. Su captación se encuentra incrementada debido a la sobreexpresión de la enzima colina quinasa, como se ha visto en patología oncológica prostática y en el tejido paratiroideo hiperfuncionante(3).
Los pilares del diagnóstico de cualquier tumor óseo lo constituyen el aspecto clínico del paciente, el análisis radiológico convencional y el estudio anátomo-patológico de la lesión/es en cuestión(5,6). Hay que tener en cuenta ciertos datos del laboratorio, ya que la elevación del calcio sérico, así como de la fosfatasa alcalina o la fosfatasa ácida es sugestiva de malignidad(5). El estudio de lesiones óseas con la metodología PET-CT está indicado para:
- Estadificación o re-estadificación, en el caso de que se trate de lesiones óseas primarias o metastásicas ya confirmadas por anatomía patológica.
- Valoración de respuesta al tratamiento instaurado.
- Búsqueda de primario desconocido ante la confirmación histológica de secundarismo óseo.
En el caso 1 se trataba de lesiones óseas múltiples, algunas expansivas como la descrita en el arco costal, en un paciente asintomático con insuficiencia renal crónica y calcemia normal. Si bien el estudio metabólico no contribuyó a aclarar definitivamente la etiologia, el uso del PET-CT permitió explorar el resto de las estructuras óseas contribuyendo a una aproximación diagnóstica por las características de las lesiones y el contexto clínico del paciente, siendo además una guía para seleccionar el sitio de biopsia. En el caso 2, el estudio de imagen molecular se realizó como parte del protocolo para investigar la presencia de tejido paratiroideo hiperfuncionante en un paciente con PTH elevada. Al describirse morfo-metabólicamente la lesión lítica única en omóplato, se procedió a la biopsia de la misma.
Conclusiones
El tumor pardo es una lesión ósea lítica muy vascularizada observada en el hiperparatiroidismo primario y secundario (hoy de aparición más frecuente). La misma produce microfracturas y hemorragias que llevan a la acumulación de tejido fibrovascular y células gigantes osteoclásticas. El patrón arquitectural distintivo son los agregados de células gigantes alrededor de áreas de hemorragia que confieren el color característico al tumor por la acumulación de hemosiderina.
En virtud del creciente uso de la imagen metabólica precoz con PET-CT ante la sospecha de procesos oncológicos y considerando que a menudo estos pacientes presentan enfermedades subyacentes crónicas muchas veces no tomadas en cuenta, los especialistas en esta modalidad nos enfrentamos a la difícil tarea del diagnóstico diferencial entre hallazgos incidentales de su enfermedad de base o verdaderos procesos malignos. En relación a estos casos en particular, es útil recordar la fisiopatología del proceso de remodelamiento óseo que lleva a la formación de estas lesiones benignas y sus características morfo-metabólicas, así como también lograr encuadrarlas dentro de su contexto clínico para evitar errores diagnósticos.
Referencias
- Ramos B, Palazón T, Méndez S. Tumor pardo maxilar como primera manifestación del hiperparatiroidismo primario. Rev Cir Esp 2001; 69:498-500.
- Gómez MC, Riquelme P, Sirandoni G. Tumores pardos en múltiples localizaciones: manifestación de osteodistrofia renal severa. Caso clínico. Rev Med Chile 2003; 131:1183-7.
- Parysow O, Jagger V. PET-CT en Endocrinología. Rev Arg de Endocrinología y Metabolismo 2008; 45:224 -43.
- Thanseer NTK, Bhadada SK, Sood A, et al. Comparative effectiveness of ultrasonography, 99mTc-Sestamibi, and 18F-Fluorocholine PET/CT in detecting parathyroid adenomas in patients with primary hyperparathyroidism. Clin Nucl Med 2007; 42:491-7.
- Sánchez-Torres LJ, Santos-Hernández M. El arte de diagnosticar tumores óseos. Acta Ortopédica Mexicana 2012; 26:57-65.
- Tecualt Gómez R, Moreno Hoyos LF, Amaya Zepeda RA. Clasificación de los tumores óseos. Ortho-tips 2008; 4:96-102.