Caso clínico 1
Mujer de 70 años, obesa, dislipémica, hipertensa, sin otros factores de riesgo para enfermedad coronaria, que ingresa a emergencia por dolor torácico prolongado, de más de 24 horas de evolución, evidenciándose infarto de miocardio (IM). No se realiza tratamiento de reperfusión por consulta tardía. El ECG muestra secuela electrocardiográfica anteroseptoapical (fig. 1). Se realiza ecocardiograma a los 3 días del ingreso, que evidencia hipoquinesia severa de septum, ápex y región anterior con FEVI moderadamente disminuida (40%). A los 10 días del ingreso, con criterio de estratificación de riesgo, se realiza SPECT de perfusión miocárdica (SPM) sensibilizado con dipiridamol, presentando la paciente angor e infradesnivel del ST de 1 mm en V5 durante la prueba.

Las imágenes SPECT muestran un defecto fijo ánteroseptal y apical extenso interpretado como secuela de IM, sin evidencia de isquemia residual en esos segmentos (fig. 2). Existe cierto grado de reversibilidad, principalmente en región ínfero-lateral que fue interpretada como defecto técnico por actividad subdiafragmática y no por isquemia real. El estudio no fue gatillado por no disponer de la técnica en el servicio en ese momento. Con este resultado, la paciente fue dada de alta sanatorial.

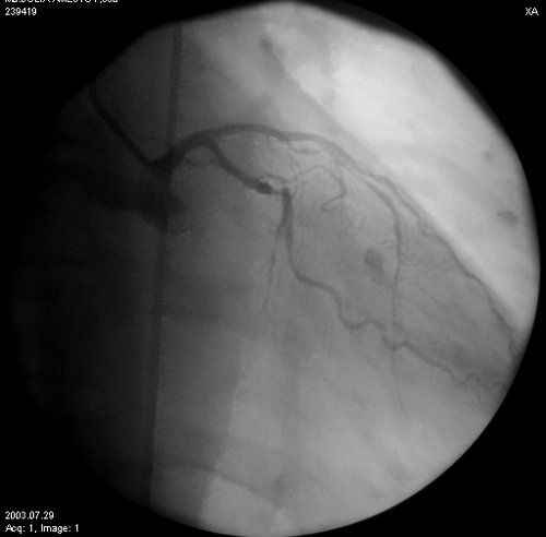
En control en policlínica al mes del evento, la paciente persiste con dolor torácico, por lo cual se realiza CACG a los 20 días del ingreso. El estudio mostró lesión en tandem de tercio medio de la arteria descendente anterior (ADA) y lesión severa proximal de arteria marginal obtusa (AMO), realizándose angioplastia exitosa en ambos vasos e implante de tres stents metálicos (fig. 3).

A las 48 horas del procedimiento, la paciente es dada de alta con tratamiento farmacológico (IECA, estatinas y antiplaquetarios), permaneciendo asintomática durante 2 años, cuando comienza con disnea CF I-II y dolor torácico sin umbral fijo, de varios minutos de duración. Se solicita nuevo SPM para evaluación diagnóstica de isquemia residual. El ECG basal previo al estudio se muestra en la fig. 4. Se realiza sensibilización con esfuerzo físico, siendo la prueba ergométrica normal con el 89% de la frecuencia máxima para la edad, logrando 6,3 METs. Las imágenes muestran reperfusión completa del defecto fijo ánteroseptoapical, leve isquemia septo-apical con motilidad global y segmentaria conservada y FEVI post estrés de 61% (fig. 5).




