Caso clínico
Se trata de una mujer de 44 años, fumadora de 20 cigarrillos/día desde los 18 años, que tras un cuadro de tos persistente, es diagnosticada de un carcinoma epidermoide G2 de pulmón (CBP) estadío T4, N3, M0. La TAC mostró una masa pulmonar en lóbulo superior izquierdo de 7,5 cm, un nódulo satélite en el mismo lóbulo de 1,4 cm y adenopatías mediastínicas pretraqueales, paratraqueales izquierdas y en ventana aorto-pulmonar.
Se decide quimioterapia (QT) de inducción con Carboplatino-Taxol (tres ciclos), obteniéndose una estabilización de la enfermedad. A continuación se le administra tratamiento RT-QT concomitante con Carboplatino-Taxol semanal y RT mediante 4 campos torácicos de fotones de 6 MV conformados con colimador multiláminas que engloba el tumor del LSD, mediastino y nódulo satélite, obteniéndose por la TAC una respuesta parcial.
Al cabo de 5 meses, la paciente sufre una crisis comicial generalizada y se le realiza un estudio de TC cerebral de urgencia que informa un área hipodensa en región parieto-occipital izquierda sospechosa de metástasis. Se completa con estudios de extensión, realizándose una TC torácico-abdominal que muestra estabilidad de la lesión tumoral pulmonar izquierda y una RM cerebral que permite detectar 3 lesiones compatibles con metástasis, una parieto-occipital izquierda de 10 mm, otra parietal derecha de 4 mm y otra cerebelosa izquierda de 8 mm.
Se aplica tratamiento con radiocirugía sobre las tres lesiones cerebrales conocidas, mediante la fusión de RM y TC de planificación, administrándose 20 Gy al margen de las tres lesiones con técnica de arcoterapia dinámica conformada y fotones de 6 MV.
Al cabo de 8 meses presenta clínica de empeoramiento neurológico (crisis comicial), apreciándose en la RM cerebral de control un crecimiento de la lesión parieto-occipital izquierda (de 10 a 43 mm) con abundante edema, mientras las otras dos lesiones muestran signos de radionecrosis. Ante tal hallazgo, se decide resección quirúrgica de la lesión parieto-occipital izquierda y posterior tratamiento con RT holocraneal.
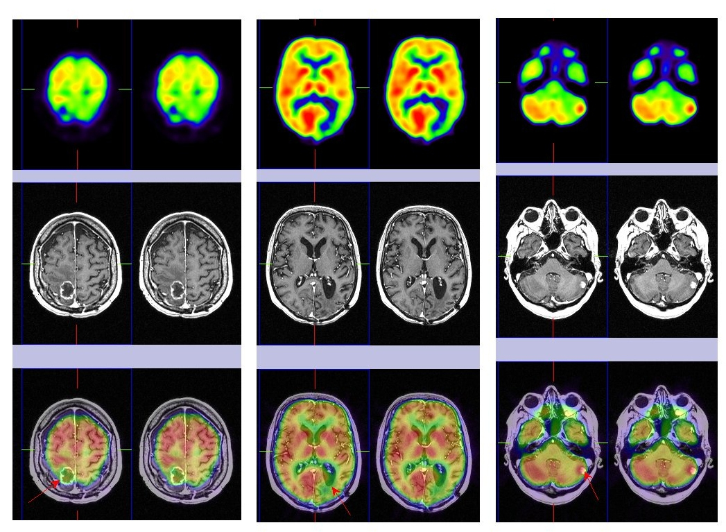
La paciente muestra una franca mejoría neurológica y al cabo de 5 meses se le realiza como estudios de re-estadificación un PET-TC corporal que fue normal y una PET-RM cerebral que muestra ausencia de captación de 18F-FDG en las tres lesiones cerebrales conocidas (fig. 1), siendo el hallazgo indicativo de cambios postratamiento (radionecrosis). La paciente recibe corticoides a dosis decrecientes, con buena respuesta clínica.

Al cabo de 5 meses la paciente refiere cefaleas y hemiparesia izquierda, realizándose una RM de urgencia que detecta un crecimiento de la lesión parietal derecha con realce periférico, captación heterogénea de contraste y edema perilesional, no mostrando cambios significativos las otras dos lesiones parieto-occipital y cerebelosa izquierdas. Se decide realizar un estudio PET-RM cerebral de control (fig. 2), donde se observa captación patológica de la 18F-FDG en la lesión aumentada de tamaño en lóbulo parietal derecho, que refleja recidiva tumoral y sin cambios en las restantes lesiones conocidas (radionecrosis).

Ante el hallazgo del PET-RM, se resuelve tratar la lesión tumoral parietal derecha mediante exéresis quirúrgica seguida de RT holocraneal. La paciente mostró mejoría de estado neurológico y desaparición de la cefalea; un estudio PET corporal fue negativo.
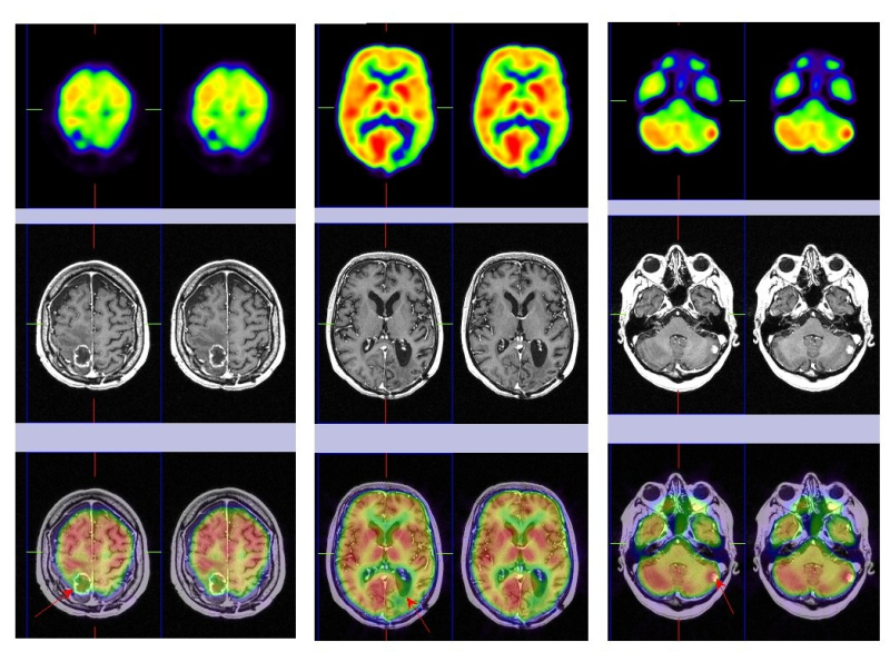
Al cabo de 3 meses refiere de nuevo deterioro neurológico presentando cefalea, inestabilidad en la marcha y acentuación de la hemiparesia izquierda. Se le realiza una RM cerebral de urgencia que muestra una cavidad porencefálica en lóbulo parietal derecho secundaria a cirugía, persiste la radionecrosis parieto-occipital izquierda y hay un incremento del tamaño de la lesión cerebelosa izquierda que se interpreta como recidiva tumoral. Tras el hallazgo de la RM se realiza nuevo estudio PET-RM de control (fig. 3) que detecta fijación patológica de la 18F-FDG en la lesión cerebelosa izquierda indicando recidiva tumoral maligna, ausencia de captación en lóbulo parietal derecho (cambios quirúrgicos) y en región parieto-occipital izquierda (radionecrosis). Ante dicha situación, se decide la extirpación quirúrgica de la metástasis cerebelosa izquierda y en la evolución se objetiva mejoría clínica.







