Resultados
Las patologías estudiadas fueron confirmadas histológicamente y consistieron en 6 timomas, 1 de tipo A, 4 AB y 1 B2, según clasificación de la OMS; 7 carcinomas tímicos, 3 linfomas (1 linfoma de Hodgkin y 2 linfomas No-Hodgkin difuso de células grandes B) y un tumor fibroso de la pleura. En la tabla 1 y en la figura 1 se muestran las características morfológicas y metabólicas de las tumoraciones estudiadas.


Los timomas de bajo grado (fig. 2) se caracterizaron por ser tumores bien delimitados, con estructura interna heterogénea, sin invasión a la grasa o estructuras adyacentes; presentaron hipermetabolismo leve a moderado, con un SUVmax promedio de 4,3 (rango 3,3 a 5,5) y en 2/5 hubo circulación colateral periférica.

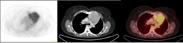
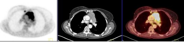
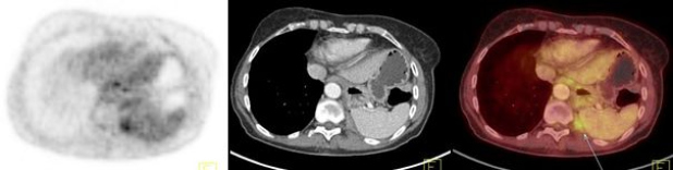
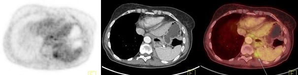
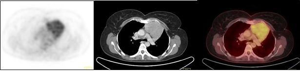
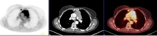
Los carcinomas tímicos (figs. 3, 4 y 5) se destacaron por un elevado metabolismo, con un SUVmax promedio de 10,4 (rango 5,6 a 13,2) y presentaron contornos irregulares, con compromiso de la grasa y de estructuras vecinas, presencia de calcificaciones, parálisis frénica (6 casos en 7) y siembra o derrame pleural o pericárdico (4 casos en 7).



Los linfomas exhibieron captación de 18FDG uniformemente elevada, con SUVmax promedio de 15,4 (rango 15,2 a 15,7). Uno de ellos presentó compromiso local de la pared torácica.
Tanto los linfomas como los carcinomas y timomas de alto grado se asociaron con la presencia de adenopatías hipermetabólicas. No se comprobaron metástasis extratorácicas en esta serie.
El tamaño de la masa y la presencia de necrosis no fueron indicadores de una patología en particular.

