Material y Método
Se ha realizado un estudio retrospectivo entre mayo de 2009 y junio de 2013, en el que se han incluido consecutivamente un total de 26 pacientes diagnosticadas de cáncer de vulva en estadios iniciales (FIGO Ia, Ib y II) a las que se les realizó BSGC. Los criterios de inclusión al estudio fueron: Tumor igual o menor a 2 cm limitado a la vulva, tumor de hasta 3 cm en localizaciones laterales; uretra, vagina y ano respetados; ganglios linfáticos clínicamente negativos (no engrosados y menores de 1,5 cm en otras técnicas morfológicas) y no sospechosos; y por último, que la localización permitiera al menos la administración de 3-4 inyecciones perilesionales. Se excluyeron a todas las pacientes que no presentaran estas características. Las pacientes presentaban una edad media de 66,1 años (rango: 41-82). El tumor se localizó en los labios mayores en 13 pacientes (50%), en los labios menores en 6 (23,1%), periclitorideo en 6 (23,1%) y bifocal en 1 (3,8%). Basándonos en el tipo histológico, la distribución fue de 25 (96,2%) escamoso y 1 (3,8%), basocelular metatípico. De las 26 pacientes, 4 se encuadraban en el estadio IA, 17 en el estadio IB, y 5 en el estadio II. El seguimiento medio fué de 42,3 meses (rango: 15-66). Las características de las pacientes se resumen en la Tabla 1. La validación de la técnica se hizo previamente a este estudio en 5 casos, abandonando la linfadenectomía inguinofemoral bilateral debido a la gran morbilidad que presentaron estas pacientes y los buenos resultados que obtuvimos en cuanto a la detección de GC.
| Edad media (rango) | 66,1 (41-82) |
|---|---|
| Localización | Nº (%) |
| Labios mayores | 13 (50) |
| Labios menores | 6 (23,1) |
| Periclitorídeo | 6 (23,1) |
| Bifocal | 1 (3,8) |
| Estadio FIGO | Nº (%) |
| I-A | 4 (15,4) |
| I-B | 17 (65,4) |
| II | 5 (19,2) |
| Histopatología | Nº (%) |
| Escamoso | 25 (96,2) |
| Basocelular metatípico | <1 (3,8) |
Se inyectó a todas las pacientes una dosis 148 MBq de nanocoloides de albúmina humana marcados con 99mTc (Nanocoll®, Gipharma, Italia), con un tamaño de partícula entre 5 y 80 nm, distribuidas en 4 jeringas (0,2 ml en cada jeringa). Las inyecciones se realizaron alrededor de la lesión primaria en la posición 0º, 90º, 180º y 270º respecto al centro de la lesión y con la paciente colocada en decúbito supino en posición de litotomía. Se les administró una dosis variable de anestésico tópico en crema (lidocaína 25 mg/g + prilocaína 25 mg/g) 30 minutos antes de la inyección del radiotrazador.
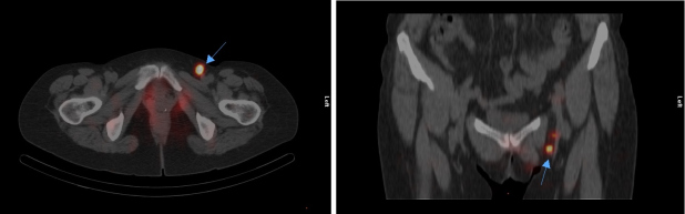
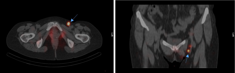
Se realizaron imágenes estáticas planares a los 30 minutos y a las 2 horas tras la inyección del radiotrazador, en proyección anterior y posterior del abdomen y pelvis de 180 segundos cada una, y se realizó una adquisición SPECT/CT de la pelvis a las 2 horas. Posteriormente se marcó con tinta indeleble sobre la piel el lugar donde se localizaba el/los ganglio/s centinela/s, considerándose como tales aquellos que se visualizaron tanto en las imágenes planares precoces como en las tardías, y en el caso de no observarse en las imágenes precoces, aquellos que se visualizaron en la imagen tardía más próximos a la región tumoral (fig. 1). El equipo utilizado fue una gammacámara híbrida de doble cabezal Symbia-T6 (Siemens, Alemania), con colimador de baja energía y alta resolución. Las imágenes estáticas se adquirieron utilizando una matriz de 256×256. Para el estudio tomogammagráfico se utilizó una matriz de 128×128 y se adquirieron 32 imágenes de 20 segundos cada una. La TC se adquirió con una matriz de 128×128, zoom de 1,0, intensidad de 50 mA, energía potencial eléctrica de 110 Kv y un espesor de corte de 5 mm. El procesado se realizó mediante retroproyección filtrada con filtro Butterworth (corte 0,5; orden 5) con un tamaño de píxel de 4,8 × 4,8 mm (fig. 2). Las imágenes fueron interpretadas por 2 médicos nucleares con amplia experiencia en la técnica de la BSGC.


A las 20-24 horas de la inyección del trazador, se procedió a la localización intraoperatoria del GC. Para determinar el lugar exacto de la incisión quirúrgica, se utilizó como guía la marca realizada con tinta indeleble, la sonda de detección gamma (Navigator, Dilon Diagnostics, EE.UU.) y la minigammacámara portátil (Sentinella, Oncovision, España). A todas las pacientes se les administró 2 ml de colorante vital (azul de metileno al 10%) peritumoral, 20 minutos antes del inicio de la intervención quirúrgica. Se extirpó el ganglio de mayor actividad y en aquellos casos en los que existía más de un ganglio en la región de drenaje, también se extirparon aquellos con una actividad superior al 10% de la captación de fondo.


