Presentación de casos
Se presentan tres casos de tiroides ectópica de diferente ubicación, a los que se les realizó gammagrafía tiroidea con 99mTc.
Caso 1: Corresponde a una niña de 3 años con tumoración cervical alta, evidenciada desde el año de edad, que hace 2 meses presenta incremento de tamaño sin síntomas asociados. Al examen clínico se evidencia tumoración cervical alta, móvil a la deglución, de aproximadamente 3 cm (fig. 1). En el estudio gammagráfico (fig. 2) se observa captación a nivel de la tumoración cervical, con ausencia de captación habitual en el lecho tiroideo. Se obtuvieron imágenes con referencia anatómica y blindaje de la tumoración cervical, concluyéndose que dicha tumoración correspondía a la glándula tiroidea de ubicación ectópica.


Caso 2: Paciente de sexo femenino de 41 año, con antecedente de tumoración cervical y lingual desde los 5 años, que cursa con disfagia, motivo por el cual se le realiza una gammagrafía tiroidea. Al examen se comprueba tumoración cervical alta palpable de 1,5 cm de diámetro aproximadamente, móvil con la deglución, no visible a la inspección simple; en base de lengua se evidencia otra tumoración (fig. 3A).En el estudio gammagráfico se identifican dos áreashipercaptantes (fig. 3B) que se correlacionan con tumoracionesobservadas al examen clínico. Se trató de un caso de tiroides ectópica doble.

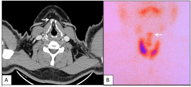
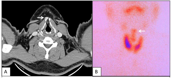
Caso 3: Paciente varón de 47 años, a quien incidentalmente se le encuentra en una tomografía cervical presencia de tejido captador de contraste sobre la línea media, con intensidad similar al tejido tiroideo (fig. 4A). Se le realiza una gammagrafía para detección de posible tejido tiroideo ectópico, que confirma el hallazgo (fig. 4B).


