Descripción del caso
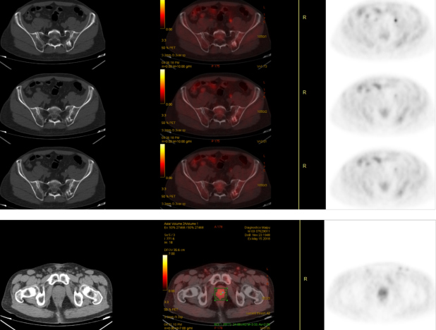
Hombre de 69 años, atleta, con diagnóstico reciente de adenocarcinoma de próstata, Gleason 3+3, PSA 4,2 ng/ml, al que se realiza centellografía ósea para estadificación (fig.1). Se observó la presencia de imagen hipercaptante única en tercio medio de la unión sacroilíaca izquierda. Este foco se correspondió con imagen lítico-blástica por CT en la porción posterior del ilíaco izquierdo, adyacente a la articulación sacroilíaca. Posteriormente se realiza estudio PET/CT F18-colina para descartar o confirmar carácter maligno de la lesión en base a su afinidad por el radiofármaco. Se comprobó captación leve de F18-colina en la lesión, consistente con proceso inflamatorio no tumoral (fig. 2). Se interpretó como geoda acompañada de reacción inflamatoria local. El tumor primario de próstata, a su vez, presentó captación intensa del trazador.





