Caso clínico
Paciente masculino de 31 años, sin antecedentes a destacar, que consulta por disnea súbita, con evidencia tomográfica de trombo en la arteria pulmonar derecha asociado a opacidades en cuña en el lóbulo superior derecho sugestivas de infartos pulmonares. Además se destaca presencia de nódulos bilaterales de características metastásicas y derrame pleural derecho. Se practica tomografía computarizada (TC) de cuello y abdomen con hallazgo de deformidad en la glándula tiroides, conglomerados ganglionares bilaterales y presencia de trombosis de vena cava inferior.
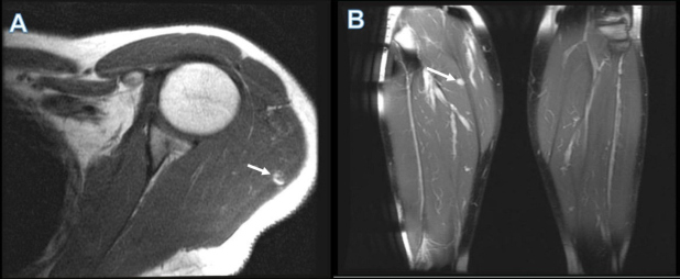
Es llevado a tiroidectomía total con vaciamiento ganglionar central y bilateral de cuello. El reporte anatomopatológico informa carcinoma papilar de tiroides de patrón clásico, multifocal, pT2(m), pN1b, cM1, Estadio II, con alto riesgo de recurrencia. Se indicó terapia con 7400 MBq (200 mCi) de I-131, con estudios bioquímicos que evidenciaron TSH 14,8 uUI/ml, tiroglobulina 500 ng/ml y anticuerpos antitiroglobulina negativos. Se realizó rastreo corporal total de control (Fig. 1), encontrándose dos restos tiroideos además de compromiso metastásico pulmonar y áreas yodocaptantes en húmero proximal y fémur izquierdo, coxofemoral ipsilateral y tibia derecha. Con el objetivo de realizar correlación anátomo-funcional se decidió solicitar resonancia magnética (RM) de hombro izquierdo, pelvis y miembros inferiores (Fig. 2). Se evidencia lesión intramuscular en la porción posterior del músculo deltoides izquierdo y lesión con captación de medio de contraste en músculo sóleo derecho, las cuales son concordantes con los hallazgos descritos en el rastreo corporal total y sugestivas de compromiso metastásico.


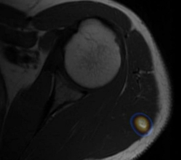
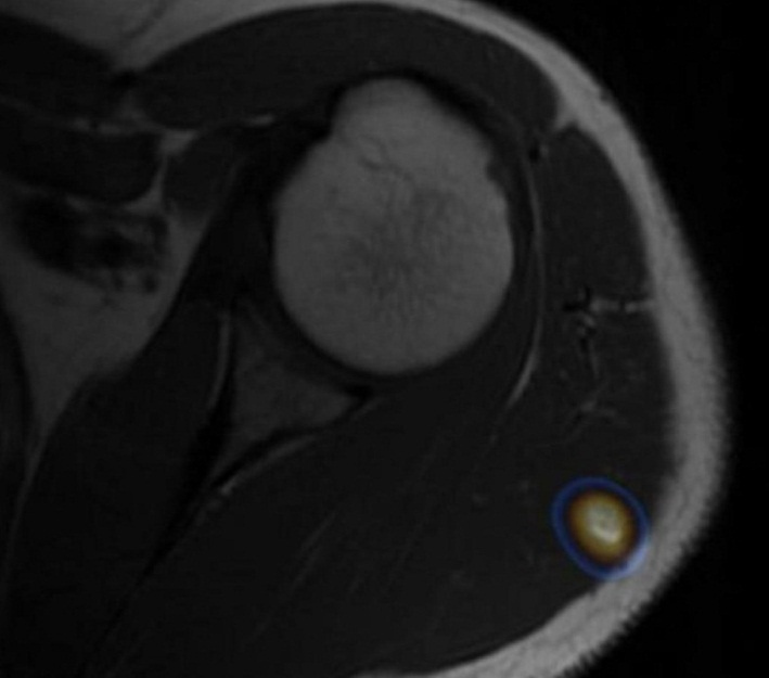
El paciente continuó en seguimiento médico, realizándose control con perfil bioquímico que evidenció TSH suprimida (0,25 uUI/ml), tiroglobulina en descenso (172 ng/ml) y anticuerpos antitiroglobulina negativos, además de tomografía de tórax que según criterios RECIST 1.1 presentaba respuesta parcial de las lesiones pulmonares. Se indicó biopsia de las lesiones sospechosas en región deltoidea izquierda y sólea derecha, las cuales no fueron susceptibles a este procedimiento por su disminución de tamaño y dificultad técnica para obtener una muestra. Se decidió administrar nueva terapia con 3700 MBq (100 mCi) de I-131 realizándose rastreo corporal de control con tomografía por emisión de fotón único de (SPECT) e imagen de fusión con RM previa de hombro izquierdo (Fig. 3).

Se observó persistencia de captación en campos pulmonares, además de disminución de las lesiones yodocaptantes en región deltoidea izquierda y tibial proximal, con desaparición de la captación en fémur izquierdo (Figs. 4 y 5). Con este resultado, se realizó RM de control de hombro izquierdo y miembros inferiores, visualizándose disminución en el tamaño de las lesiones.



