Descripción del caso
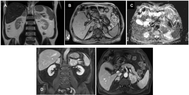
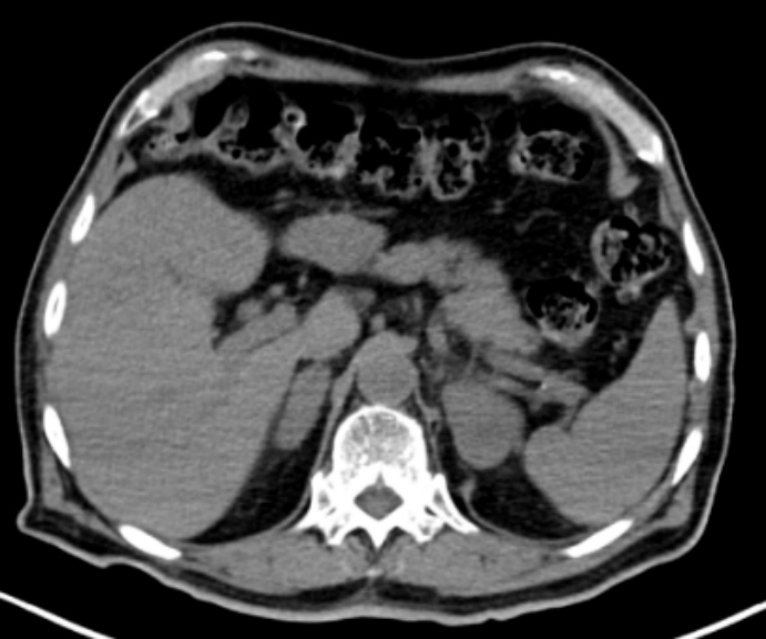
Hombre de 69 años, con antecedentes de diabetes mellitus tipo 2, EPOC, hipertensión arterial y dislipidemia, quien presentó cuadro clínico de un mes de evolución consistente en pérdida de 7 kg de peso, disminución de la clase funcional, dolor abdominal, episodios eméticos y deposiciones diarreicas sin moco ni sangre. Se documentó hiponatremia, hipercalcemia, insuficiencia adrenal primaria (cortisol 5,8 µg/dL, ACTH 646,4 pg/mL) y anemia normocítica normocrómica. Se realizó TC tóracoabdominal simple, evidenciando masas adrenales bilaterales sólidas, de densidad homogénea con atenuación de 29 UH, sin calcificaciones (fig. 1). Para mejor caracterización de las lesiones adrenales se realizó RM abdómino-pélvica, mostrando en las secuencias T2 una señal alta, en las T1 supresión grasa pre-contraste con una señal baja y homogénea. Con el medio de contraste se observó realce progresivo, con áreas de restricción a la difusión en las secuencias de difusión y mapa ADC. No se comprobó enfermedad metastásica ni invasión de estructuras adyacentes (fig. 2).


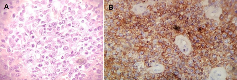
Con el fin de estadificar y caracterizar el comportamiento metabólico de las lesiones descritas en las glándulas suprarrenales, se realizó un estudio 18F-FDG PET/TC que mostró masas adrenales sólidas bilaterales con intenso aumento del metabolismo, sin evidencia de compromiso nodal o extranodal local ni a distancia, compatible con viabilidad tumoral mal diferenciada primaria adrenal bilateral (fig. 3). Dada la ubicación de las masas y sus características por imagen multimodal, se sugirió un diagnóstico de síndrome linfoproliferativo y por decisión multidisciplinaria se realizó adrenalectomía izquierda, cuyo análisis histopatológico e inmunohistoquímico fue compatible con LNH primario adrenal tipo B difuso de células grandes, patrón no-centro germinal (fig. 4).



