Caso clínico
La hernia vesical inguinoescrotal se configura cuando la vejiga se introduce en una hernia inguinal, condición poco común que representa del 0,3% al 3% de las hernias del adulto y puede dar lugar a complicaciones, llegando su frecuencia hasta el 10% en mayores de 50 años(1). Predomina en pacientes de sexo masculino y del lado derecho(2). Es un diagnóstico al que en general se llega durante el procedimiento de reparación de la hernia inguinal, constituyendo un hallazgo incidental intraoperatorio(3). Los pacientes refieren sintomatología inespecífica, aunque pueden presentar el signo de Mery, que consiste en la compresión de la hernia o elevar el escroto para lograr vaciar por completo la vejiga(4).
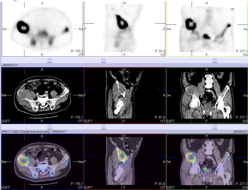
Se presenta el caso de un paciente masculino de 70 años con un único antecedente de carcinoma basocelular invasivo previamente operado, al cual le es solicitado un centellograma óseo debido a una lesión en alerón ilíaco derecho reportada en una tomografía computarizada (TC) de pelvis. Se realiza rastreo de cuerpo completo con 99mTc-MDP, imágenes estáticas de pelvis y SPECT. En el estudio de cuerpo completo se observó lesión en cresta ilíaca derecha, hipercaptante con componente lítico central, junto con un foco de hipercaptación de intensidad similar a la vejiga, proyectado por debajo de la rama superior del pubis derecho, de aspecto sacular (fig. 1). En las imágenes segmentarias con vistas anteroposteriores y laterales se evidencia que el hallazgo es de ubicación anterior respecto a la rama isquiopubiana derecha (fig. 2). En el estudio SPECT se confirma una gran lesión hipermetabólica con área central fotopénica de aspecto redondeado, que protruye de la cresta iliaca derecha y no respeta bordes anatómicos. Además, se evidencia claramente la existencia de conexión entre la vejiga y la zona hipercaptante de aspecto sacular ya mencionada (figs. 3 y 4).
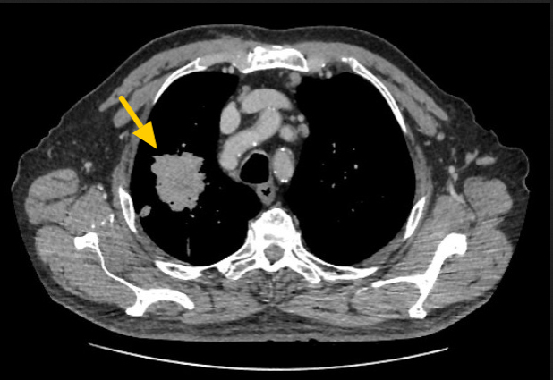
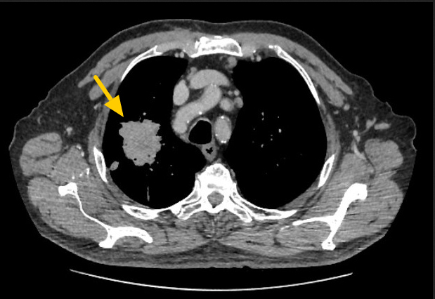
Por estar disponible la TC de pelvis previamente realizada, se procedió a fusionar las imágenes (figs. 5 y 6) en las cuales se verifica conexión de la vejiga con una hernia inguinal (que no fue reportada en la TC) y la conocida lesión lítica en ala ilíaca derecha, con componente de partes blandas que se extiende al músculo ilíaco engrosado, sin reacción perióstica, característica de secundarismo. En una nueva TC en busca de la neoplasia primaria, se identifica una tumoración sólida en lóbulo superior del pulmón derecho, de aproximadamente 57 x 44 mm (fig. 7), sugestiva de carcinoma broncopulmonar (CBP).







En suma, presentamos una imagen inusual de una hernia vesical inguinoescrotal identificada como hallazgo casual en un centellograma óseo realizado en búsqueda de metástasis de una neoplasia primitiva desconocida, que finalmente resultó un probable CBP, aunque al momento de elaborar este artículo aún no se contaba con confirmación histopatológica. Destacamos además la utilidad de la fusión de imágenes funcionales y estructurales obtenidas en equipos diferentes, aunque logrando una calidad comparable a la que se consigue en instrumentos híbridos(5,6).





