Caso clínico
Se presenta el caso de un paciente varón de 82 años, con diagnóstico de cáncer pulmonar del tipo células grandes, con diferenciación neuroendocrina en estadio clínico IV, que es referido al servicio de medicina nuclear para una gammagrafía con análogos de la somatostatina a fin de establecer la progresión de la enfermedad. El paciente recibió previamente 6 ciclos de quimioterapia y 3 refuerzos con radioterapia. Aparte recibió tratamiento con octreotide y actualmente persiste marcador tumoral CEA elevado (31 ng/ml, normal hasta 3 ng/ml).
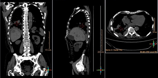
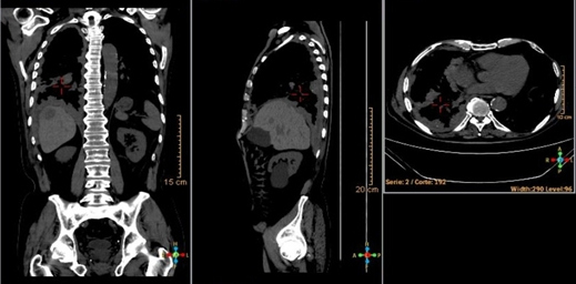
La radiografía de tórax mostró una radio-opacidad heterogénea difusa en hemitórax derecho a predominio basal, más tractos fibroticos hacia la periferia, con obturación del seno costofrénico derecho. En la TC multicorte (fig. 1) se describe una imagen densa de contornos irregulares en el segmento IV del pulmón derecho, engrosamiento pleural a predominio basal derecho, cambios intersticiales basales, adenopatías mediastinales, engrosamiento del intersticio intra e interlobulillar, bronquiectasias tubulares y quísticas en las bases, derrame pleural y lesiones focales >20 mm en el parénquima hepático compatibles con secundarismo.

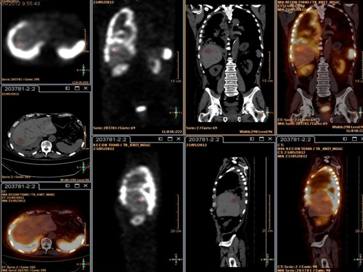
Se realizó la gammagrafía de cuerpo entero con 20 mCi (740 MBq) de octreotide marcado con 99mTc (fig. 2), obteniéndose imágenes a la 1, 4 y 24 horas post-inyección, incluyendo adquisiciones de tomografía por emisión (SPECT). La reconstrucción del estudio SPECT se llevó a cabo mediante algoritmo iterativo OSEM, con 8 subconjuntos y 4 iteraciones. El estudio demostró concentración patológica en todo el pulmón derecho; además, compromiso multifocal de hígado con incremento de su actividad en las vistas tardías.

Las vistas tomográficas reconstruidas a partir del SPECT mostraron zonas de captación del trazador en proyección de los órganos antes mencionados. Utilizando los volúmenes de la TC y el SPECT con análogos de la somatostatina y aplicando el software de fusión de imágenes (fig. 3), se obtuvo información anátomo -funcional de las lesiones descritas por separado en la tomografía y en la gammagrafía.


