Descripción
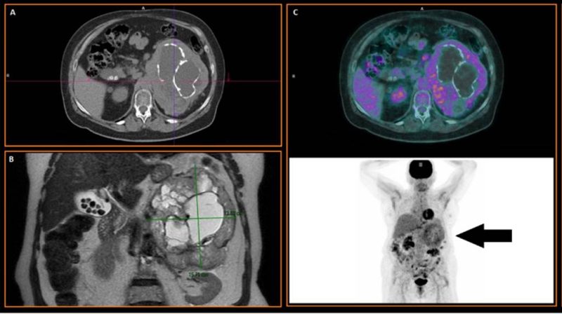
Mujer de 73 años con antecedentes de osteoporosis, portadora de hipertensión arterial (HTA) refractaria al tratamiento, en estudio por dolor abdominal, episodios de diarrea tipo secretora y pérdida de peso. A la exploración se destacaba sudoración profusa y masa palpable en hipocondrio izquierdo. En la tomografía axial computarizada (TAC) se descubre una tumoración adrenal izquierda de 15x3x16 cm, heterogénea y con calcificaciones, que desplaza estructuras adyacentes (fig.1A). En RMN presentó grandes áreas quísticas centrales (algunas hemorrágicas), componente sólido predominantemente periférico, restricción en difusión y bajos valores en mapa ADC, lo que sugería carcinoma suprarrenal o sarcoma retroperitoneal (fig.1B). Los niveles de catecolaminas/metanefrinas en orina se encontraron elevados.

El estudio híbrido PET/CT con 18F-FDG mostró una gigantesca masa suprarrenal izquierda con incremento metabólico en su periferia (SUVmáx = 5,5) y ausencia de captación en los componentes quísticos centrales y áreas calcificadas. Dichos hallazgos eran compatibles con proceso neoformativo, cuyo grado metabólico no sugería carcinoma (fig.1C). Finalmente, la gammagrafía simpáticoadrenal con 370 MBq de 123I-MIBG y técnica híbrida SPECT/CT reveló intenso depósito focal del trazador a nivel de la glándula suprarrenal izquierda, correspondiente a un feocromocitoma con necrosis intratumoral asociada (fig. 2). Se inició bloqueo-alfa preoperatorio (fenoxibenzamina 5 mg) y se realizó suprarrenalectomía izquierda con nefrectomía ipsilateral en segundo tiempo. El estudio anatomopatológico confirmó feocromocitoma maligno con PASS-score (Pheochromocytoma of Adrenal gland Scaled-Score) de 7, potencial alto de malignidad. Actualmente la paciente se encuentra asintomática, habiendo cedido los episodios diarreicos y con normalización de cifras tensionales tras la cirugía.


