Caso clínico
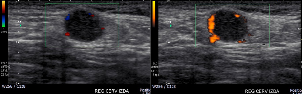
Mujer de 57 años, que consulta en diciembre de 2014 por aumento de volumen cervical izquierdo, asintomático, de 2 años de evolución. Dos ecografías cervicales de agosto y noviembre del 2012 describen adenopatía hiperecogénica, con cápsula vascularizada al Doppler color. En ecografíareciente se destaca nódulo subcutáneo de 10 mm en hombro izquierdo, bien delimitado, rodeado por una cápsula vascularizada, hipoecogénica de forma heterogénea (Figs. 1a y b). Se realiza estudio histológico mediante punción aspirativa con aguja fina de la adenopatía, la cual resulta negativa para células neoplásicas. Posteriormente se realiza biopsia incisional del nódulo subcutáneo mostrando infiltración del tejido conectivo por neoplasia que tiene caracteres morfológicos e inmunohistoquímicossugerentesde HEE con necrosis tumoral parcial.

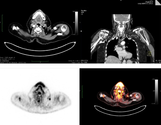
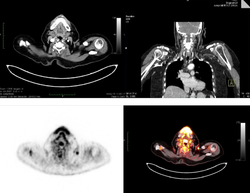
Se realiza PET-CT de etapificación con 18F-FDG, donde se observa un nódulo subcutáneo sólido de 11 mm, bien delimitado, condensidad de partes blandas, ubicado en hombro izquierdo adyacente a la articulación acromioclavicular. Se evidencia aumento del metabolismo glucídico (SUVmax = 3,2) (Fig. 2) y una adenopatía supraclavicular ipsilateral de 15 mm, hipermetabólica (SUVmax = 3.5) (Fig. 3). El resto de la exploración no mostró lesiones hipermetabólicas (Fig. 4).



Se procede a la resección del nódulo subcutáneo en hombro izquierdo y de la adenopatía supraclavicular, con márgenes negativos. La biopsia rápida y definitiva confirma HEE de 0,4 x 1 cm en tejido subcutáneo, con inmunohistoquímica positiva para S100 y CD 31. La adenopatía y presenta focos de esclerosis. La paciente se sometió a radioterapia sin complicaciones y actualmente se encuentra en seguimiento, sin evidencia de recidiva ni metástasis.

