Resultados
Los mecanismos de destrucción morfológica leucocitarios fueron estudiados considerando dos posibles factores causantes de estrés celular radioinducidos: el incremento en la concentración de potasio celular y la señalización molecular de lesión y muerte celular(19). En el análisis morfológico se observaron tres efectos biológicos radio-inducidos los cuales presentaron evolución, población blanco y dosis de aparición característica.
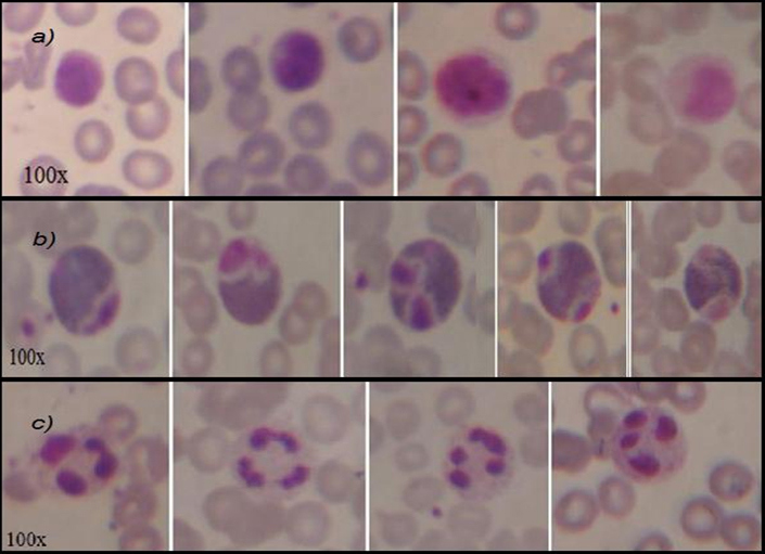
El primer fenómeno se caracterizó por mostrar inestabilidad estructural linfocitaria a dosis de 3,21 a 10,29Gy. La primera manifestación de este efecto fue la condensación del núcleo, dándole apariencia de hendido a 3,21Gy. Esta irregularidad se clasifica como subtipo 1 de acuerdo al Laboratorio Nacional de Referencia de Hematología(20). A dosis de 5,57 a 7,93Gy el efecto evolucionó a anormalidades en la estructura del citoplasma y condensación del núcleo. Estas características morfológicas coinciden con la descripción de una célula en fase de muerte programada, tales como: condensación de la cromatina nuclear, disminución y/o desintegración nuclear, alteraciones del citoesqueleto y aspecto de burbuja de la membrana(21,15). En la última etapa de este fenómeno se encontró condensación del citoplasma y liberación de restos nucleares a los 10,29Gy (fig. 1). La frecuencia de aparición de esta anormalidad aumentó con la dosis, triplicándose a los 50Gy con respecto a los 25Gy.

El segundo fenómeno, de fragmentación celular, se caracterizó por el rompimiento nuclear y citoplasmático en linfocitos a dosis desde 12,65 a 24,45Gy. En este evento destacaron el aumento en el volumen celular, la condensación del núcleo y la consiguiente fragmentación celular, inicialmente del citoplasma y evolucionado después al núcleo (fig. 1b). En etapas moderadas de este daño (aproximadamente de los 15 a los 20Gy), se enfatizó la ruptura del núcleo en dos o más fragmentos y a dosis cercanas a los 25 Gy éste se seccionó completamente y a su vez, en el exterior de la célula, se observaron desprendimiento de inclusiones nucleares como gránulos azurófilos o subtipo 4(20). El rango de dosis que abarca este mecanismo es especialmente importante para el estudio de la calidad de la sangre irradiada con fines terapéuticos, en particular la culminante de esta etapa, es decir los 25 Gy(22). La asiduidad de los defectos descritos en el segundo mecanismo, se intensificó fuertemente a pocas horas del almacenaje a 4°C hasta alcanzar su punto máximo 24 horas post-irradiación, seguido por una disminución de ocurrencia casi total a las 48 horas posteriores.
De los 25 a los 50Gy se observaron pocos linfocitos mostrando etapas severas de los mecanismos descritos anteriormente. Sin embargo, a partir de los 50Gy se mostró un tercer efecto morfológico radioinducido, denominado en este trabajo como disociación lobular en neutrófilos, en el cual los lóbulos del núcleo, que habitualmente se mantienen unidos por un filamento de cromatina, se observaron separados entre sí (fig. 1c). Este defecto se encontró infrecuentemente a los 25Gy sin mostrar grandes incrementos debidos al almacenaje; sin embargo a los 50Gy la frecuencia aumentó considerablemente hasta las 48 horas post-irradiación (fig. 2).

En otro orden, para evaluar la evidencia de reparación celular debido a la injuria radioinducida, se estudió la expresión de p53 por medio de la técnica inmunohistoquímica biotina-estreptavidina. Se encontró que a 25Gy algunas células linfocitarias disminuyen la expresión del marcador de superficie CD3 con respecto al control sin irradiar. Estas diferencias nos demuestran que a dosis del orden de 25Gy o mayores, los linfocitos T presentes inicialmente en la muestra sanguínea sin irradiar dejan de expresar antígenos de superficie debido probablemente a un efecto radioinducido y/o por activación de la muerte celular.
Además, se observó que el CD20 se expresó moderadamente en linfocitos a los 25Gy con respecto al control sin irradiar, pero mayoritariamente con respecto a las células T a la misma dosis, mientras la proteína p53 se presentó fuertemente con una intensidad mayor al 30% (tabla 1). A los 50Gy no se observó ningún linfocito en las muestras, al contrario de la proteína p53 que se expresó fuertemente con una intensidad mayor al 60% (tabla 1).
| Dosis (Gy) | Marcador utilizado | Intensidad (cruces) |
|---|---|---|
| 0 | CD3 | +++ |
| CD20 | +++ | |
| P53 | - | |
| 25 | CD3 | - |
| CD20 | + | |
| P53 | +++ | |
| 50 | CD3 | - |
| CD20 | - | |
| P53 | +++ |
En otro sentido, se analizó la relación entre las concentraciones de potasio sérico y el tiempo post-almacenaje (fig. 3). Se encontró que en las muestras almacenadas a 4°C las concentraciones de potasio se incrementaron linealmente tanto en aquellas irradiadas a 25G y 50Gy como en el control sin irradiar. Sin embargo, a partir de las 24 horas post-irradiación las concentraciones de potasio crecieron en más de 1 mmol/L en el caso de los 25Gy hasta alcanzar una concentración promedio de 8,57mmol/L. En las muestras irradiadas a 50Gy se observó un incremento más acelerado en las concentraciones de potasio con respecto a la muestra irradiada a 25Gy y al control (tabla 2).

| Tiempo post-irradiación γ (h) | Control sin irradiar | 25Gy | 50Gy |
|---|---|---|---|
| 0 | 4,19±0,543 | 4,31±0,53 | 4,39±0,52 |
| 2 | 4,30±0,56 | 4,45±0,49 | 4,70±0,53 |
| 4 | 4,24±0,53 | 4,97±0,49 | 5,37±0,58 |
| 24 | 5,11±0,80 | 5,99±0,73 | 6,56±1,08 |
| 48 | 5,62±0,93 | 6,96±0,83 | 7,38±1,15 |
| 72 | 6,51±0,74 | 8,57±0,66 | 9,25±1,09 |


