Imágenes
Mujer de 63 años con diagnóstico de enfermedad de Von Hippel-Lindau (VHL), tratada previamente con resección quirúrgica de hemangioblastomas cerebelosos y remitida para estudio de extensión lesional por sospecha de tumor neuroendocrino en el páncreas. Se realiza gammagrafía planar y SPECT utilizando análogos de somastostatina con 99mTc-HYNIC (hidrazinonicotinamida) – [D-PHE1, TYR3-Octreotida] (99mTc-Tektrotyd®) y estudio de fusión retrospectiva con resonancia magnética (RM) cerebral.
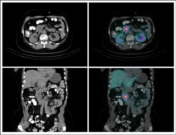
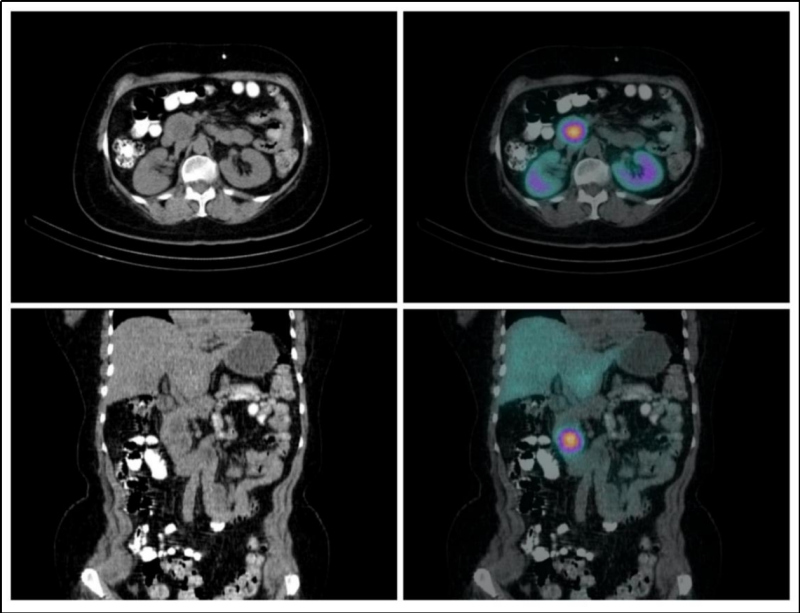
En las imágenes planares se observan múltiples áreas de captación anormal en la fosa posterior y en el aspecto lateral del hilio renal derecho (fig. 1). Se identifican tres lesiones cerebelosas con componente sólido realzante y quístico, altamente vascularizadas, que presentan aumento de perfusión y generan edema extenso obliterando el cuarto ventrículo, consistentes con hemangioblastomas (fig. 2). Existe otra lesión que genera invasión ósea de la mastoides con compromiso del oído interno; en la RM es isointensa e hiperintensa en las secuencias T1, hiperintensa en las secuencias T2, con captación del medio de contraste, por tumor del saco endolinfático (fig. 2). En la valoración de la cavidad abdominal se detecta una lesión sólida en la cabeza/proceso uncinado del páncreas, hipodensa respecto al resto del parénquima, compatible con tumor neuroendocrino (fig. 3).



El síndrome de von Hippel-Lindau (VHL) es una rara enfermedad tumoral hereditaria autosómica dominante, con prevalencia de 1/36.000 a 1/50.000 nacidos vivos y con una alta penetrancia(1). Los pacientes diagnosticados con esta enfermedad están predispuestos a desarrollar múltiples tumores que pueden involucrar varios órganos y sistemas1. La edad media de presentación es de los 24 a los 26 años, siendo infrecuente en mayores de 60 años(2).
Dentro de la presentación de la enfermedad se incluye un amplio espectro de lesiones neoplásicas como los hemangioblastomas de la retina y del sistema nervioso central (SNC), tumores del saco endolinfático en el oído interno, cistadenomas del epidídimo, feocromocitomas, quistes y carcinomas renales, cistadenomas serosos y tumores neuroendocrinos en el páncreas(3). El diagnóstico de la enfermedad puede realizarse a través del cuadro clínico y de estudios de imagen(1). El 35-70% de los pacientes presentarán tumores pancreáticos, los cuales generalmente permanecen asintomáticos y son diagnosticados de forma incidental(2). El 60%-80% de los pacientes con enfermedad de VHL presentan compromiso del SNC, representado por la presencia de hemangioblastomas(2).
El protocolo de seguimiento de los pacientes con hemangioblastomas cerebrales se realiza mediante RM contrastada cerebral y de columna total dos veces al año en pacientes desde los 11 años y con examen físico y neurológico anual. La vigilancia de las anormalidades abdominales requiere un ultrasonido abdominal anual y RM de abdomen bi-anual en pacientes mayores de 16 años(2). El papel de la gammagrafía con análogos de la somatostatina no sólo es importante para el diagnóstico y caracterización de lesiones pancreáticas que expresan estos receptores(4), sino también para la valoración de otras lesiones, en este caso particular de las localizadas en el SNC. Estos hallazgos pueden potenciar el uso de la gammagrafía dentro de fases iniciales del diagnóstico de la enfermedad VHL.


