Caso clínico
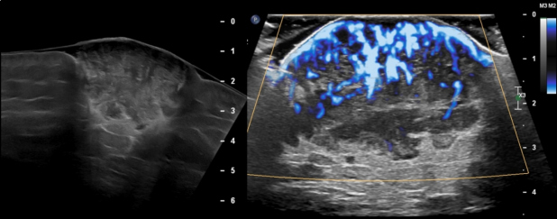
Mujer de 49 años con antecedente de leucemia de células pilosas (tricoleucemia) de riesgo bajo, en remisión completa. En septiembre 2020 presentó aumento de volumen en región supero-interna del glúteo derecho; ante la sospecha de una infección de tejidos blandos recibió antibióticos, sin mejoría. El mismo mes fue valorada en nuestra institución por la presencia de una neoformación cutánea dolorosa en glúteo derecho. Se realizó ecografía de la lesión dérmica (fig.1) y una tomografía de abdomen y pelvis en fase venosa, donde se observó una lesión sólida de 45 x 24 x 41 mm, con márgenes bien definidos y lobulados. Además se detectaron adenopatías ilíacas comunes, en cadena ilíaca interna derecha y en región inguinal homolateral, de entre 15 y 51 mm. Referida la paciente al servicio de Dermatología, la lesión fue descrita como una neoformación de aspecto nodular, cupuliforme, de 4 x 5 cm de diámetro, superficie lisa y violácea, sólida, a la dermatoscopía con patrón reticular y áreas rosas y blancas, sin estructura (fig. 2). Posteriormente se realizó biopsia por huso de la lesión glútea, con reporte de patología de carcinoma invasor de células de Merkel con invasión a dermis profunda (CK-, CK20+, Cromogranina +, Sinaptofisina -, Ki67 80%, CD56+, CD117+); además se tomó una biopsia excisional del conglomerado ganglionar inguinal, que confirmó la presencia de metástasis. Como parte de su estadiaje, en enero de 2021 se realizó un estudio PET/CT con 18F-FDG que documentó incremento focal del metabolismo en la lesión, así como adenopatías hipermetabólicas cervicales, retroperitoneales, ilíacas bilaterales e inguinales derechas. Debido a un sangrado no controlado del tumor, se procedió a la resección de la lesión glútea y colgajo de muslo posterior sin complicaciones, reportando márgenes quirúrgicos negativos. Al tratarse de una enfermedad metastásica, se administró quimioterapia a base de etopósido y cisplatino, en 5 ciclos desde marzo a junio y se realizó nuevo PET/CT con 18F-FDG para evaluar respuesta a tratamiento. Por presentar oligo-progresión ganglionar (adenopatía pericecal hipermetabólica), recibió radioterapia corporal estereotáctica (SBRT) 45Gy en 6 sesiones desde junio a julio de 2021. En agosto se realizó un nuevo PET/CT donde se observó desaparición de la adenopatía antes mencionada y una nueva lesión nodular de bordes lobulados en región glútea derecha de 36 x 32 mm con SUV máximo de 15,6. La fig. 4 muestra el MIP de los 3 estudios PET/CT: inicial, post-resección + quimioterapia y post-radioterapia. La paciente continuó su tratamiento experimentando respuesta completa aunque más tarde se comprobó recaída local y ganglionar, todo lo cual fue documentado mediante PET/CT, no incluído en esta publicación.







