Historia clínica
Se trata de un paciente masculino de raza blanca de 61 años de edad, fumador, hipertenso, con perfil lipídico normal. Desde hace un año presentaba dolor precordial opresivo retroesternal, sin irradiación, que aparece en reposo y durante la noche, de 5 min de duración y con alivio espontáneo. Se le indica tratamiento con nitratos, atenolol, enalapril y atorvastatina, a pesar del cual se mantiene la sintomatología, por lo que se decide realizar angiografía coronaria. Los estudios complementarios previos mostraron un ECG basal normal y un score de calcio total de 269, DA 173, Cx 14, CD 81.
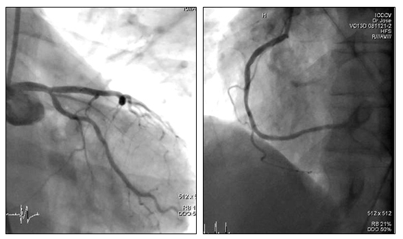
La coronariografía realizada el 12/10/2011 demostró arterias epicárdicas sin lesiones angiográficamente significativas (fig. 1). El paciente continuó con tratamiento anti-isquémico sin alivio del dolor precordial, por lo que se decide realizar un estudio de perfusión miocárdica con el objetivo de documentar la existencia de isquemia miocárdica que justificara los síntomas.

El estudio se realiza mediante prueba ergométrica graduada en estera rodante, según protocolo de Bruce. Al cuarto minuto del esfuerzo aparece dolor precordial con las mismas características referidas por el paciente en la anamnesis. En el ECG se constata supradesnivel del segmento ST de 4 mm en las derivaciones DII, DIII, aVF con infradesnivel en DI aVL, V1-V4 (fig. 2), por lo cual se decide interrumpir el ejercicio e inyectar el radiofármaco (99mTc-MIBI) coincidiendo con el dolor y los cambios electrocardiográficos.

Durante la fase de recuperación desaparece el dolor pero se registra actividad ectópica ventricular repetitiva, con aumento de la duración del complejo QRS, seguido por un bloqueo de la conducción A-V 2 a 1 (fig. 3), lo cual coincidió con sensación de mareo; estas alteraciones electrocardiográficas no requirieron de medicación al desparecer espontáneamente.

Teniendo en cuenta los trastornos del ritmo y otros cambios del ECG, se decide trasladar el paciente a la unidad de emergencia para supervisión clínica y monitorización. En los registros electrocardiográficos sucesivos se comprobó inversión de la onda T en derivaciones inferiores coincidiendo con la localización del supradesnivel inicial del segmento ST.
Se realiza adquisición de las imágenes una hora después del evento, donde se pudo constatar un defecto de perfusión moderado a severo de localización inferior, que se extiende desde los segmentos basales hasta los apicales; las imágenes de reposo se realizan 24 horas después, observándose recuperación total del defecto (fig. 4). El análisis semicuantitativo de la perfusión mostró un score sumado de estrés (SSS) de 9, score sumado de reposo (SRS) de 0 y un diferencial (SDS) de 9, correspondiendo a un defecto reversible de moderada intensidad (fig. 5). En el análisis de la función ventricular se observó caída de la FEVI de un 5% en el estudio post-estrés respecto al valor de reposo, con valores absolutos normales.



