Lesiones hipermetabólicas con 18F-FDG PET/CT en un caso de cáncer de recto concomitante con silicosis conglomerada
Diana Carolina Quijano Galvis1, Nathalie Isabel Hernández Hidalgo1, Humberto Varela2, Maria Alejandra Izquierdo Orozco3, Juan Ricardo Lutz3.1 - Servicio de Medicina Nuclear, Fundación Universitaria Sanitas, Bogotá, Colombia..2 - Servicio de Medicina Nuclear, Instituto Nacional de Cancerología, Bogotá, Colombia..3 - Servicio de Neumología, Hospital Universitario Mayor – Mederi, Bogotá, Colombia..
Introducción
Entre las patologías benignas pulmonares se encuentra la silicosis, la cual es una neumoconiosis que generalmente resulta de la exposición prolongada a sílice cristalina, un compuesto inorgánico común de la corteza terrestre, hallándose en productos tales como piedra, granito, arena, concreto, ladrillos, entre otros(1). Se estima que aproximadamente 2,3 millones de trabajadores estadounidenses se encuentran expuestos al sílice(2). En Colombia, los casos de neumoconiosis representan entre el 4% y el 9% del total de eventos de enfermedad profesional y la exposición a sílice puede llegar a afectar aproximadamente a 1.800.000 trabajadores(3). Se describe el caso de un paciente con cáncer de recto concomitante con silicosis, que presentó hallazgos inusuales en el 18F-FDG PET/CT simulando metástasis pulmonares.
Caso clínico
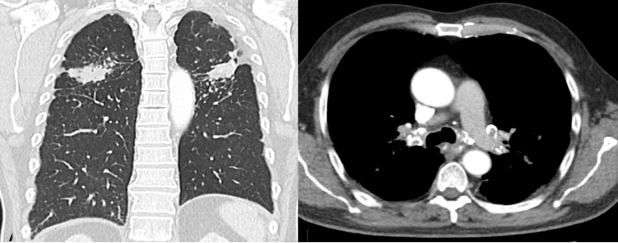
Paciente masculino de 68 años de edad con diagnóstico de adenocarcinoma de recto con mutación KRAS, estadio IV por metástasis hepáticas, con antecedentes de tabaquismo y exposición laboral crónica al granito, sin elementos de protección personal. Entre los estudios de extensión iniciales, se realizó tomografía computarizada (CT) de tórax encontrándose ganglios mediastinales con calcificaciones en “cáscara de huevo”, nódulos aleatorios que confluyen en segmentos posteriores de los lóbulos superiores asociados a masas simétricas con densidad de tejido blando y nodularidad subpleural, todos hallazgos relacionados con silicosis conglomerada (Fig. 1). Recibió tratamiento con 6 ciclos de quimioterapia esquema BEVACIZUMAB + FOLFOX6 con respuesta completa tanto del tumor rectal primario como de las metástasis hepáticas.

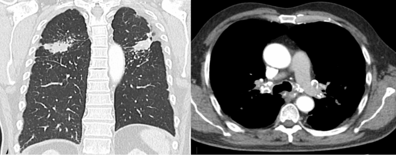
Posterior al tratamiento, se realizó seguimiento con 18F-FDG PET/CT. No se evidenciaron cambios respecto al CT de tórax inicial, pero se registraron hallazgos adicionales de ganglios linfáticos mediastinales hipermetabólicos, con valor estandarizado de captación máximo (SUVmax) entre 3,2 y 5,1, una lesión nodular de bordes irregulares en el segmento posterior del lóbulo superior derecho con SUVmax de 4,4 y otra en el segmento posterior del lóbulo superior izquierdo de 33 x 26 mm con SUVmax de 10,8 que se extiende con tractos fibrosos hacia la pleura, engrosándola (Fig. 2). No se comprobaron lesiones hepáticas y en recto se observó un aumento de captación del trazador de forma lineal, sin engrosamiento ni imágenes sugestivas de recidiva local.

Dado los hallazgos se consideró la posibilidad de metástasis pulmonares, por lo cual el paciente fue valorado en junta médica. Ante el patrón tomográfico característico de silicosis en un paciente con claro antecedente exposicional y sin cambios en las lesiones pulmonares luego del tratamiento con quimioterapia, se concluyó que los hallazgos en tórax correspondían únicamente a silicosis conglomerada.
El paciente fue sometido a radioterapia de consolidación al tumor primario, seguido por tratamiento quirúrgico. Se realizó CT de tórax de control al año y medio del diagnóstico inicial, continuando sin cambios los hallazgos pulmonares. Se efectuó seguimiento periódico con antígeno carcinoembrionario (ACE) y marcador tumoral CA 19-9, que han sido negativos hasta la actualidad.
Comentarios
La silicosis es una neumoconiosis caracterizada por fibrosis pulmonar difusa secundaria a la inhalación repetida de polvo de sílice en forma cristalina; es un factor predisponente para el cáncer de pulmón. La sílice actúa como irritante primario, liberando factores quimiotácticos y mediadores de la inflamación, lo que genera una mayor respuesta celular. A su vez, estimula factores fibroblásticos con liberación de sustancia hialina y depósito de colágeno, cuyo resultado es la formación de un nódulo hialino, “nódulo silicótico” (patognomónico de la silicosis)(4), el cual presenta captación de FDG bajo forma de nódulos hipermetabólicos(5). Es de importancia recordar que el diagnóstico de silicosis se basa en 3 elementos: historia de alta exposición a sílice cristalina, estudios radiológicos con hallazgos característicos y exclusión de otro diagnóstico más probable(6). Se han reportado casos en que se asocia cáncer primario de pulmón con neumoconiosis; debemos sospechar cáncer de pulmón en paciente con silicosis cuando se presenta una masa unilateral y/o crecimiento rápido de las lesiones(7). En nuestro caso, los hallazgos pulmonares eran bilaterales y simétricos, sin variación en el seguimiento tomográfico y con marcadores tumorales negativos.
Se ha descrito que la sensibilidad, especificidad y precisión en la caracterización de nódulos pulmonares es del 83,3%, 70% y 77% respectivamente para la tomografía computarizada de alta resolución (TACAR) vs 91,7%, 62,5% y 78,4% para PET/CT, aumentando si se realiza en combinación con TACAR(8). En PET/CT se ha comprobado que a mayor SUVmax, mayor riesgo de malignidad, con una probabilidad del 96,2% cuando existe un SUVmax > 8,0(8).
En el caso descrito, se observó en PET/CT ganglios mediastinales y lesiones pulmonares con avidez importante por la FDG, sobre todo en la lesión del lóbulo superior izquierdo con SUVmax de 10,8, lo que hizo sospechar en un principio enfermedad metastásica debido a la patología de base del paciente. Sin embargo, la respuesta completa a la quimioterapia con desaparición de la lesión tumoral primaria y de las metástasis hepáticas, sin cambio alguno en las lesiones pulmonares junto a los antecedentes clínicos, llevó a considerar que las lesiones pulmonares correspondían únicamente a silicosis conglomerada, lo cual fue confirmado por la evolución.
Es de gran importancia conocer las patologías benignas que pueden presentar SUVmax elevados en el 18F-FDG PET/CT para no confundirlas con malignidad. De igual forma, recordar que al valorar un estudio PET/CT en conjunto con un TACAR de tórax se aumenta la capacidad de diferenciación diagnóstica entre patología maligna y benigna.
Referencias
- Bukovitz B, Meiman J, Anderson H, Brooks EG. Silicosis: Diagnosis and medicolegal implications. J Forensic Sci 2019; 64:1389-98.
- Mazurek JM, Wood JM, Schleiff PL, Weissman DN. Surveillance for silicosis deaths among persons aged 15-44 years - United States, 1999-2015. MMWR Morb Mortal Wkly Rep 2017; 66:747-52.
- Ministerio de la Protección Social, República de Colombia. Plan nacional para la prevención de la silicosis, la neumoconiosis de los mineros de carbón y la asbestosis 2010-2030. Disponible en: https://www.academia.edu/27651303/plan_nacional_para_la_prevenci%c3%93n_de_la_silicosis_la_neumoconiosis_de_los_mineros_de_carb%c3%93n_y_la_asbestosis.
- Ramírez AV. Silicosis. An Fac Med 2013; 74:49-56.
- Capitanio S, Nordin AJ, Noraini AR, Rossetti C. PET/CT in nononcological lung diseases: current applications and future perspectives. Eur Resp Rev 2016; 25:247-58.
- Fernández R Martínez C, Quero A, Blanco JJ, Carazo L, Prieto a. Guidelines for the Diagnosis and Monitoring of Silicosis. Arch Bronconeumol 2015; 51 (2) 55-104.
- González M, Trinidad C, Castellón D, et al. Silicosis pulmonar: hallazgos radiológicos en la tomografía computarizada. Radiología 2013; 55:523-32.
- Hou S, Lin X, Wang S, et al. Combination of positron emission tomography/computed tomography and chest thin-layer high-resolution computed tomography for evaluation of pulmonary nodules: Correlation with imaging features, maximum standardized uptake value, and pathology. Medicine 2018; 97:31(e11640).