Influencia de la corrección de atenuación del SPECT-CT sobre el rendimiento diagnóstico para enfermedad coronaria. Correlación con coronariografía y análisis visual
Jaime Carmona Clavijo1, René Fernández Belmar1, Eduardo Swett Rodríguez1, Pamela Humeres Apra2, Javiera González Araya2, Patricio González Espinoza1.1 - Departamento Medicina Nuclear, Hospital Clínico Universidad de Chile, Santiago, Chile..2 - Servicio de Radiología Clínica Santa María, Santiago, Chile..
Resumen
Introducción
La corrección de atenuación por tomografía computada (CT-AC) ha demostrado mejorar la precisión de estudios de perfusión miocárdica (SPECT-MP) para la detección y evaluación de los pacientes con enfermedad coronaria.
Objetivo
Evaluar el rendimiento diagnóstico del SPECT-CT frente a estudios sin corrección de atenuación (S-AC) mediante un análisis visual y su correlación con la coronariografía.
Método
Se evaluó retrospectivamente a 20 pacientes (62±8,4 años; 16 hombres) derivados por dolor torácico que tenían SPECT y coronariografia (±3 semanas). Dos observadores (nucleares) informaron en ciego las imágenes de CT-AC y las S-AC. La correlación de los 20 pacientes fue realizada por vasos (descendente anterior, circunfleja y coronaria derecha) para un total de 60 vasos evaluados. Se realizaron cálculos de sensibilidad (S), especificidad (E), valor predictivo positivo (VPP) y valor predictivo negativo (VPN) teniendo en cuenta obstrucción significativa ≥70% en coronarias e isquemia significativa ≥5% por territorio.
Otras variables medidas
Peso, talla, sexo, índice de masa corporal (IMC).
Resultados
El 20% de las coronariografias eran normales o no presentaban estenosis significativas. De los 60 vasos evaluados por coronariografia, las imágenes CT-AC mostraron S: 88% (NS) y E: 75% (p: 0,0073), y las S-AC S: 88% y E: 50%. Asimismo el VPP y VPN fue 93% y 60% para CT- AC y 88%y 50% para S-AC. La arteria coronaria derecha presentó una E: 78% (p: 0,003) en las imágenes AC frente a un 65% de S-AC.
Conclusión
Las imágenes con CT-AC mostraron mayor especificidad versus imágenes S-AC. La AC presenta mayor especificidad en la detección de defectos en sitio de irrigación de la arteria coronaria derecha.
Abstract
Introduction
The aim was to assess the diagnostic performance of SPECT-CT versus studies without attenuation correction (S -AC) by visual analysis and correlation with coronary angiography.
Materials and methods
Twenty patients (16 men 62 ± 8.4 years) were retrospectively evaluated referred for chest pain who had SPECT and coronary angiography (± 3 weeks). Two observers reported images of S-AC and AC. The correlation of the 20 patients was performed by vessel (ADA, Cx and RCA) for a total of 60 vessels evaluated. Estimates of sensitivity (S), specificity (E), positive predictive value (PPV) and negative predictive value (NPV) considering significant obstruction coronary ≥70 % and significant ischemia ≥5 % by territory were performed.
Other variables measured
Weight, height, sex, body mass index (BMI).
Results
Twenty percent of angiographies were normal or had no significant obstruction. As per the results of the 60 vessels evaluated by coronary angiography, CT-AC images showed S: 88% (NS) and E: 75% (p = 0.0073), and S-AC S: 88% and E: 50%. The PPV and NPV was 93% and 60% for CT- AC and 88% and 50% for S-AC. The right coronary artery presented E: 78% (p: 0.003) for AC images versus 65% for S-AC.
Conclusion
Images with CT-AC showed higher specificity than S-AC images. AC had better specificity in detecting stenosis of the right coronary artery.
Introducción
La imagen de perfusión miocárdica (MPI) con tomografía computada por emisión de fotón único (SPECT) es un técnica no invasiva ampliamente utilizada en el diagnóstico, estratificación de riesgo y seguimiento de pacientes con enfermedad coronaria (CAD)(1,2,3). Existen factores como la atenuación de tejidos blandos la cual puede causar artefactos y disminuir la precisión diagnóstica y especificidad del MPI(4,5). Los artefactos de atenuación en la pared inferior se ven con frecuencia en hombres, debido a la atenuación de estructuras subdiafragmáticas; en mujeres por atenuación mamaria también puede ocasionar este tipo de artefactos principalmente en la pared anterior. Por este motivo diferentes técnicas incluyendo MPI gatillado con ECG, imagen en prono y corrección de atenuación han sido desarrollados para mejorar la especificidad(6,7,8).
En los últimos años, el desarrollo de imagines hibridas en SPECT mediante corrección de atenuación por tomografía computada (CT-AC) han demostrado mejorar el rendimiento diagnóstico comparado a la MPI sola o MPI con gatillado por ECG(9,10). Este tema ha sido de gran interés y algunos estudios han demostrado que la disminución de estos artefactos y mejoras en la resolución tienen un importante impacto en el costo –efectividad(11,12,13,14).
El objetivo de este estudio es evaluar el rendimiento diagnostico del SPECT – CT con corrección de atenuación (CT-AC) frente a las imágenes sin corrección (S-AC) mediante un análisis visual y correlación con la coronariografia.
Material y métodos
Población
Estudio retrospectivo que incluyóa 20 pacientes referidos a la unidad de Medicina Nuclear entre octubre de 2013 a noviembre de 2014 quienes ingresaron por dolor torácico (sospecha de enfermedad coronaria), sometidos a SPECT-CT con tecnecio 99m-methoxyisobutylisonitrilo (Tc99m-sestamibi)y que además se les realizo estudio angiográfico con una ventana de tiempo no mayor a 3 semanas posterior al SPECT-CT. Se excluyeron aquellos pacientes con historia previa de infarto, bypass coronario o intervención coronaria percutánea.
Se consideró como patrón de referencia el estudio de coronariografía realizado posterior al SPECT, el cual fue comparado frente a las imágenes CT-AC y S-AC mediante un análisis visual en consenso multiobservador (2 Médicos Nucleares). Se obtuvo información del registro clínico; Peso, talla, edad, sexo e índice de masa corporal (IMC).
Todos los pacientes contaban con consentimiento firmado autorizado por el comité de ética del centro en referencia, donde el paciente autoriza el uso de los datos con fines de análisis e investigación científica.
Protocolo test de esfuerzo
El test de esfuerzo fue realizado mediante una banda ergométrica, utilizando el protocolo de Bruce modificado. Se considera como una prueba significativa alcanzar como mínimo un 85% de la FC máxima predicha, o hasta que el paciente evidencia isquemia en el ECG (depresión del segmento ST de al menos 1mm) o si existe limitación por sintomatología. En el máximo de estrés físico, se inyecta el SESTAMIBI por vía intravenosa y continua el ejercicio por 60 segundos adicionales.
En el caso del protocolo farmacológico, los pacientes fueron instruidos para evitar consumo de cualquier sustancia que interactuara con el Dipiridamol (derivados de metililxantinas). Se sometieron a infusión de dipiridamol (0.56 mg/kg IV por 4 minutos) y se inyectó el radiotrazador entre 3 y 5 min posterior a cesada la infusión. Durante el test se controló presión arterial, electrocardiograma y frecuencia cardiaca.
Protocolo SPECT – CT
En la mayoría de los pacientes se efectuó protocolo de dos días, realizando en primer lugar la fase de estrés. Se administró una dosis de Tc99m – SESTAMIBI entre 15 – 20 mCi por cada fase y cortes tomográficos de baja dosis mediante Flat Panel (CT) tanto en reposo como en estrés. Para cada paciente, el estudio contaba con imágenes AC y S-AC para la interpretación.
Se usó una gamacámara híbrida SPECT/CT (Philips BrightView XCT) con CT tipo flat panel para corrección de atenuación. El protocolo incluye una matriz de 64x64, 16 frames por ciclo y usando una ventana del 20% centrado sobre el fotopico 140 Kev del Tc99m. El CT es un flat panel cone beam CT de baja dosis (0.12 mSv) que obtiene mapas de atenuación 3D (basados en unidades Hounsfield UH). La adquisición de estas imágenes en el corazón son realizadas en 60 segundos, con único giro del gantry en 360º, por lo que la respiración no interfiere como un atenuante.
Las imágenes AC fueron reconstruidas por el método ASTONISH que incorpora corrección de atenuación por 3D – OSEM (Ordered Subset Expectation Maximization) mediante CT, mientras que las imágenes S-AC fueron reconstruidas por método FBP (filtered back projection). El método OSEM es un algoritmo de reconstrucción iterativa utilizado en tomografía computada para la corrección de atenuación, corrección de scatter y mejoramiento en la resolución de la imagen. Reconstruye a partir de imágenes tridimensionales que resultan de un algoritmo que inicia de una imagen estimada y que posteriormente a través de la adquisición sucesiva de datos, actualiza dicha imagen estimada utilizando un método iterativo. El método FBP es un método analítico clásico utilizado en medicina nuclear, que reconstruye la imagen proyectando en una matriz el perfil de actividad obtenido en cada ángulo.
Coronariografia y Análisis de imágenes
Se recopilaron los resultados de las angiografías, realizadas hasta 3 semanas posteriores al SPECT-CT. Se tomó en cuenta los 3 principales vasos coronarios (arteria descendente anterior, arteria circunfleja y arteria descendente posterior) en cada angiografía para los 20 pacientes, evaluándose en total 60 vasos. Se consideró significativa una estenosis ≥70%.
Las imágenes fueron evaluadas por 2 médicos nucleares experimentados, quienes informaron en consenso y en forma ciega los dos grupos de imágenes de cada paciente (AC y S-AC), en forma aleatoria. Además, dentro de la evaluación se les solicitó a los evaluadores expresar el porcentaje aproximado de la isquemia y la localización (pared). Se consideró una isquemia significativa ≥5% por territorio para considerar el estudio positivo.
Los hallazgos del SPECT-CT fueron correlacionados con los resultados de la coronariografía, tomando en cuenta la localización y el tamaño de la isquemia en relación al probable sitio de irrigación del vaso. No se consideraron variantes anatómicas para este grupo de pacientes
Análisis Estadístico
El análisis estadístico se realizo mediante el software Epidata y XLSTAT de Microsoft Excel. Durante el análisis estadístico se usaron datos descriptivos, promedios, desviaciones estándar, frecuencia, porcentajes y mínimos y máximos de tasas de frecuencia cardiaca predicha. Se calcularon mediante Likehood Ratio tasas de sensibilidad (S), especificidad (E), valor predictivo positivo (VPP) y valor predictivo negativo (VPN). El intervalo de confianza fue del 95%, considerando una P<0,05.
Se obtuvieron curvas ROC. El área bajo la curva (AUC) de la curva ROC fue aceptada como la capacidad del método para discriminar pacientes con angiografía positiva y negativa. Este cálculo fue realizado por el método Delong.
Resultados
Durante el periodo octubre 2013 a noviembre 2014 se realizaron un total de 231 estudios de MPI con SPECT-CT en la Clínica Santa María de Santiago de Chile, de los cuales 76 correspondían a dolor torácico en estudio en pacientes sin antecedentes de enfermedad coronaria, lo que correspondía a un 30% aproximado del total de las indicaciones. De estos pacientes fueron excluidos 56 a los que no se les realizó coronariografia posterior, ya sea por motivo de SPECT-CT normal o por criterio del cardiólogo. Por lo tanto se incluyeron en nuestro estudio 20 pacientes a los que se les realizócoronariografía posterior al examen (menor a 3 semanas), la gran mayoría de ellos por presentar un test SPECT-CT positivo (fig. 1).

Los 20 pacientes incluidos corresponden a 16 hombres y 4 mujeres, edad media 62,6 (±8,4 años). Se obtuvieron datos clínicos de peso y talla para cálculo de índice de masa corporal (IMC), teniendo en cuenta un IMC normal ≤24,9, sobrepeso de 25 a 29,9 y obesidad ≥30. Seis pacientes (30%) se encontraban en el rango de sobrepeso y obesidad (Tabla 1).
|
|
Datos de pacientes
|
Porcentaje
|
|---|---|---|
| Hombres
|
16
|
80
|
| Mujeres
|
4
|
20
|
| Edad
|
62,6±8,4 años
|
|
| IMC ≤ 24,9
|
14
|
70
|
| IMC 25 -29,9
|
4
|
20
|
| IMC ≥ 30
|
2
|
10
|
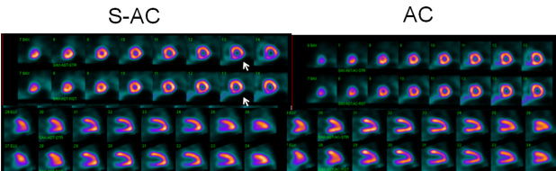
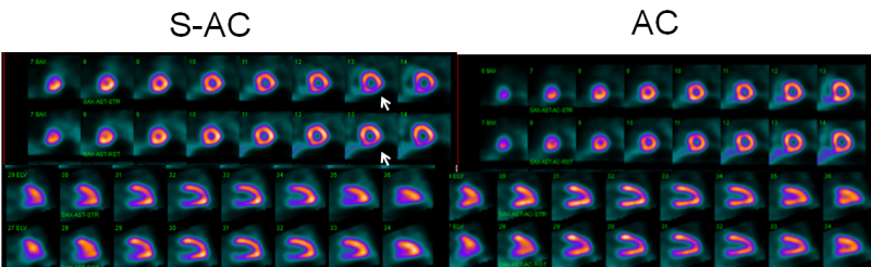
Cada paciente tenía dos juegos de imágenes, AC y S-AC. En las imágenes con corrección se realizaron fusiones con las imágenes de CT en todos los casos (fig. 2).

El esfuerzo físico fue realizado en 12 pacientes (60%) y el test farmacológico con dipiridamol en 8 (40%). El test de esfuerzo fue sufucuente para todos los pacientes (al menos el 85% de frecuencia cardiaca predicha), siendo en 6 de ellos positivo por síntomas clínicos, en 4 por alteraciones en el ECG y en 2 por ambos parámetros. El test de esfuerzo tuvo una sensibilidad de 71% y una especificidad de 75%.
Los resultados de la coronariografia para los pacientes se detallan en la Tabla 2.
| Caso
|
ADA(%)
|
L
|
CD(%)
|
L
|
CX(%)
|
L
|
|---|---|---|---|---|---|---|
| 1
|
50
|
N/A
|
75
|
N/A
|
70
|
P
|
| 2
|
0
|
N/A
|
90
|
P
|
80
|
M
|
| 3
|
0
|
N/A
|
75
|
M
|
90
|
M
|
| 4
|
0
|
N/A
|
0
|
N/A
|
0
|
N/A
|
| 5
|
75
|
M
|
0
|
N/A
|
0
|
N/A
|
| 6
|
75
|
P
|
0
|
N/A
|
75
|
M
|
| 7
|
50
|
N/A
|
90
|
M
|
0
|
N/A
|
| 8
|
0
|
N/A
|
0
|
N/A
|
95
|
M
|
| 9
|
0
|
N/A
|
95
|
N/A
|
80
|
P
|
| 10
|
50
|
M
|
0
|
N/A
|
0
|
N/A
|
| 11
|
50
|
N/A
|
100
|
M
|
100
|
M
|
| 12
|
70
|
P
|
0
|
N/A
|
0
|
N/A
|
| 13
|
0
|
N/A
|
90
|
M
|
0
|
N/A
|
| 14
|
95
|
M
|
95
|
P
|
95
|
M
|
| 15
|
50
|
M
|
0
|
N/A
|
0
|
N/A
|
| 16
|
0
|
N/A
|
0
|
N/A
|
75
|
M
|
| 17
|
80
|
P
|
0
|
N/A
|
70
|
M
|
| 18
|
0
|
N/A
|
0
|
N/A
|
0
|
N/A
|
| 19
|
0
|
N/A
|
80
|
M
|
0
|
N/A
|
| 20
|
85
|
N/A
|
0
|
N/A
|
40
|
M
|
En 4 casos, la coronariografia fue normal o no mostraba estenosis significativa de alguno de los vasos principales, mientras que en 16 pacientes la distribución fue la siguiente: Enfermedad de un vaso en 8, enfermedad de dos vasos en 7 y enfermedad de 3 vasos en un paciente. El vaso más afectado fue la arteria circunfleja en 10 pacientes (50%), seguido de la arteria coronaria derecha en 9 casos (45%).
Respecto al resultado del SPECT-CT, en la Tabla 3 se detalla el análisis visual realizado por los observadores en consenso, para las imágenes sin corrección de atenuación. Determinaron isquemia significativa (≥5%) en 16 pacientes (80%) y sin isquemia significativa o estudio normal en 4 pacientes (20%). Teniendo en cuenta la coronariografia como gold standard el análisis de este grupo de imágenes mostró verdaderos negativos (VN), verdaderos positivos (VP), falsos negativos (FN) y falsos positivos (FP) en 2, 14, 2, y 2 pacientes respectivamente.
| Caso
|
Angiografía
ADA (%) |
SPECT
DF(%) |
Angiografía
CD(%) |
SPECT
DF(%) |
Angiografía
CX(%) |
SPECT
DF(%) |
Localización Pared
|
|---|---|---|---|---|---|---|---|
| 1
|
50
|
0
|
75
|
2.5
|
70
|
2.5
|
Inf-Lateral
|
| 2
|
0
|
0
|
90
|
10
|
80
|
10
|
Inf-Lateral
|
| 3
|
0
|
0
|
75
|
0
|
90
|
0
|
Normal
|
| 4
|
0
|
10
|
0
|
0
|
0
|
0
|
Ant-Apical
|
| 5
|
75
|
10
|
0
|
0
|
0
|
0
|
Ant-Apical
|
| 6
|
75
|
10
|
0
|
0
|
75
|
0
|
Anterior
|
| 7
|
50
|
0
|
90
|
0
|
0
|
0
|
Normal
|
| 8
|
0
|
0
|
0
|
15
|
95
|
0
|
Inferior y Apex
|
| 9
|
0
|
0
|
95
|
0
|
80
|
0
|
Inferior
|
| 10
|
50
|
0
|
0
|
0
|
0
|
0
|
Normal
|
| 11
|
50
|
0
|
100
|
7.5
|
100
|
7.5
|
Inferior
|
| 12
|
70
|
0
|
0
|
0
|
0
|
0
|
Antero apical y Lateral
|
| 13
|
0
|
20
|
90
|
5
|
0
|
5
|
Inferior
|
| 14
|
95
|
0
|
95
|
5
|
95
|
5
|
Inf-Lateral
|
| 15
|
50
|
0
|
0
|
0
|
0
|
0
|
Normal
|
| 16
|
0
|
0
|
0
|
0
|
75
|
5
|
Inferior Basal
|
| 17
|
80
|
0
|
0
|
7.5
|
70
|
7.5
|
Inf-Lateral
|
| 18
|
0
|
0
|
0
|
2.5
|
0
|
2.5
|
Inferior y Anterior
|
| 19
|
0
|
0
|
80
|
5
|
0
|
5
|
Inferolateral
|
| 20
|
85
|
10
|
0
|
0
|
40
|
0
|
Apex y Antero lateral
|
En el análisis de las imágenes con corrección de atenuación (AC) los evaluadores determinaron isquemia significativa en 14 pacientes (70%) y no significativa o estudio normal en 3 pacientes (15%), con verdaderos negativos (VN), verdaderos positivos (VP), falsos negativos (FN) y falsos positivos (FP) en 3, 14, 2, y 1 pacientes respectivamente. (Tabla 4).
| Caso
|
Angiografía
ADA (%) |
SPECT
DF(%) |
Angiografía
CD(%) |
SPECT
DF(%) |
Angiografía
CX(%) |
SPECT
DF(%) |
Localización Pared
|
|---|---|---|---|---|---|---|---|
| 1
|
50
|
0
|
75
|
0
|
70
|
0
|
Normal
|
| 2
|
0
|
0
|
90
|
10
|
80
|
10
|
Inf-Lateral
|
| 3
|
0
|
0
|
75
|
2.5
|
90
|
2.5
|
Inf-Lateral
|
| 4
|
0
|
10
|
0
|
0
|
0
|
0
|
Ant-Apical
|
| 5
|
75
|
10
|
0
|
0
|
0
|
0
|
Ant-Apical
|
| 6
|
75
|
10
|
0
|
0
|
75
|
0
|
Anterior
|
| 7
|
50
|
15
|
90
|
5
|
0
|
5
|
Inferior lateral y Apex
|
| 8
|
0
|
0
|
0
|
15
|
95
|
0
|
Inferior y Apex
|
| 9
|
0
|
0
|
95
|
0
|
80
|
0
|
Normal
|
| 10
|
50
|
0
|
0
|
0
|
0
|
0
|
Normal
|
| 11
|
50
|
0
|
100
|
7.5
|
100
|
7.5
|
Inferior
|
| 12
|
70
|
0
|
0
|
0
|
0
|
0
|
Antero apical y Lateral
|
| 13
|
0
|
20
|
90
|
5
|
0
|
5
|
Inferior
|
| 14
|
95
|
0
|
95
|
5
|
95
|
5
|
Inf-Lateral
|
| 15
|
50
|
0
|
0
|
0
|
0
|
0
|
Normal
|
| 16
|
0
|
0
|
0
|
0
|
75
|
5
|
Inferior Basal
|
| 17
|
80
|
0
|
0
|
7.5
|
70
|
7.5
|
Inf-Lateral
|
| 18
|
0
|
0
|
0
|
0
|
0
|
0
|
Normal
|
| 19
|
0
|
0
|
80
|
5
|
0
|
5
|
Inferolateral
|
| 20
|
85
|
10
|
0
|
0
|
40
|
0
|
Apex y Antero lateral
|
El efecto de la corrección de atenuación sobre la detección de enfermedad coronaria se detalla en la Tabla 5.Existe una tasa similar de sensibilidad tanto para las imágenes S-AC y AC, con un 88% (NS). Sin embargo, existe mayor especificidad en el grupo de imágenes con corrección de atenuación con un 75% (p: 0,0073) versus un 50% de las imágenes sin corrección. El valor predictivo positivo (VPP) y el valor predictivo negativo (VPN) de las imágenes AC fue 93 y 60% respectivamente frente al 88 y 50% de las imágenes sin corrección. Asimismo, la exactitud diagnóstica para ambas pruebas fue 80% (NS) (fig. 3).
|
|
AC
|
S-AC
|
p
|
|---|---|---|---|
| Sensibilidad
|
88%
|
88%
|
NS
|
| Especificidad
|
75%
|
50%
|
0,0073
|
| Valor predictivo positivo
|
93%
|
88%
|
0,086
|
| Valor predictivo negativo
|
60%
|
50%
|
0,0042
|
| Likelihood ratio positivo
|
3.5
|
1.75
|
-
|
| Likelihood ratio negativo
|
0.17
|
0.25
|
-
|

En el análisis por vasos coronarios, existe una significancia estadística en la especificidad para la detección de estenosis en la arteria coronaria derecha respecto a las imágenes de AC vs. S-AC (78% vs 65%, p=0,003). No se encontraron diferencias significativas en las arterias descendente anterior y circunfleja.
En la curva ROC (fig. 4), se evidencia un área bajo la curva (AUC) de 0,80 [Intervalo de confianza 0,72-0,90] vs 0,65 [Intervalo de confianza 0,55-0,90] calculado para las imágenes con corrección y sin corrección respectivamente, aunque estos valores no fueron significativamente estadísticos.

El Normalcy rate habitualmente es usado como un sustituto de la especificidad para este tipo de estudios, el cual se define como la tasa de estudios de perfusión normales en pacientes con baja probabilidad de enfermedad coronaria (<5%), por ende se necesita un nimportante para dicho cálculo (no disponible en nuestro estudio), con el fin de contar con un grupo de pacientes con baja probabilidad significativa.
Discusión
Durante la última década se han publicado múltiples estudios clínicos aplicando AC por CT en SPECT de perfusión miocárdica. Los resultados presentados en estos artículos han sido diversos. Algunos de ellos reportan una mejoría significativa en la eficacia diagnóstica después de AC, mejor especificidad y rendimiento, así como mejor localización de los vasos con estenosis(15). Otros estudios han demostrado menor sensibilidad(16) con la AC, mientras que algunos reportan una mayor especificidad en la detección de defectos de perfusión en la pared inferior y una reducción de la misma en la pared anterior(17).
Esta inconsistencia de los resultados publicados debe atribuirse a la alta complejidad del método y a otras variables como el tipo de fuente de transmisión, el software aplicado para la reconstrucción topográfica, la población estudiada (porcentaje de pacientes con resultados negativos en la angiografía o baja probabilidad de enfermedad coronaria) y los métodos aplicados en la interpretación de los estudios. Un punto importante a considerar en nuestro estudio fue haber contado con angiografía cercana al SPECT (<3 semanas), a pesar de tratarse de un grupo pequeño. También el método de evaluación e interpretación de las imágenes, dando especialmente énfasis al análisis visual, una variable importante del día a día al que se enfrenta el operador.
En el presente trabajo, el análisis visual con el uso de la AC por CT MPI mejoró la especificidad de las imágenes no corregidas frente a las no corregidas (75% vs 50%, p=0,0073). La sensibilidad para ambos grupos de imágenes fue similar (88%, NS). Algunos autores como Benkiran y Cols(18) reportaron una sensibilidad y especificidad de 67% y 81% para las imágenes con corrección de atenuación frente a 77% y 60 % de las imágenes no corregidas.
En las curvas ROC se observó que la utilización de la corrección de atenuación sugiere una mejora en la capacidad de discriminación del método entre los pacientes con resultados positivos y negativos de la angiografía (incrementos de las áreas bajo las curvas ROC de 0,65 a 0,80). En el estudio de Ficaro y Cols(15) reportan un aumento significativamente estadístico en el área bajo la curva ROC, confirmando una diferencia en la capacidad discriminativa de la técnica de corrección por CT. La exactitud o precisión diagnóstica en ambos métodos son similares, con 80%.
También se observó un efecto de la AC en la detección de defectos en las zonas irrigadas por los diferentes vasos principales, en especial la arteria coronaria derecha, no siendo así para los otros vasos. Este hallazgo de mayor especificidad en la arteria coronaria derecha es concordante con el estudio publicado por Sharman y cols(19), en donde la técnica por corrección de atenuación muestra mayor rendimiento diagnostico en este vaso. Asimismo, en este estudio no se encontraron diferencias significativas en la detección de estenosis crítica en la descendente anterior y arteria circunfleja. Aunque algunos autores(20,21) han reportado una reducción en la especificidad de la pared anterior como un efecto de la AC, debido a un artefacto de sobre-corrección de la pared inferior, provocando una reducción relativa en las cuentas de la pared anterior, lo que llevaría a la inducción de defectos perfusión falsos, este efecto no fue evidente en los pacientes evaluados en nuestro estudio.
La angiografía coronaria no es método ideal para evaluar la perfusión miocárdica, aunque todavía es utilizado por muchos autores un gold standard, debido a que no hay otra mejor herramienta de verificación. Una importante línea de investigación seria estudiar el factor pronóstico que agregaría la AC por CT, sin embargo se necesitan para ello estudios evolutivos a largo plazo. Se excluyeron a los pacientes con antecedentes de infarto de miocardio, angioplastias y/o bypass coronario con el fin de evitar ambigüedades en la interpretaciones de defectos causados por cicatrices postinfarto, isquemia perinecrosis, entre otros. Este estudio fue dirigido a pacientes sin enfermedad coronaria conocida, los cuales consultaron por cuadro de angina estable/inestable.
Una limitante de este estudio fue el tamaño muestral, sin embargo hay que considerar el bajo número de coronariografias cercanas a un estudio SPECT que son realizadas, debido a la mayor tasa de estudios SPECT negativos o por criterio clínico del cardiólogo que no indica el estudio invasivo posterior. Otra limitante fue un posible sesgo de referencia a coronariografía por positividad del estudio de perfusión. Este sesgo puede aminorarse calculando normalcy rate, que se fundamenta en observar la tasa de estudios normales en pacientes con muy baja probabilidad de enfermedad coronaria; sin embargo esto no fue posible por el bajo nde pacientes con probabilidad pretest <5%.
Conclusión
La AC por CT aplicada en la perfusión miocárdica del presente estudio mejoró significativamente la especificidad comparado con las imágenes sin corrección, para la detección de enfermedad coronaria. Además se encontró una mayor especificidad en la detección de defectos en el territorio irrigado por la arteria coronaria derecha.
Referencias
- Ali I, Ruddy TD, Almgrahi A, et al. Half-time SPECT myocardial perfusion imaging with attenuation correction. J Nucl Med 2009;50:554-62.
- Huang R, Li F, Zhao Z, et al. Hybrid SPECT/CT for attenuation correction of stress myocardial perfusion imaging. Clin Nucl Med 2011;36:344-9.
- Grossman GB, Garcia EV, Bateman TM, et al. Quantitative Tc-99m sestamibi attenuation-corrected SPECT: Development and multicenter trial validation of myocardial perfusion stress gender-independent normal database in an obese population. J Nucl Cardiol 2004;11:263-72.
- Malkerneker D, Brenner R, Martin WH, et al. CT-based attenuation correction versus prone imaging to decrease equivocal interpretations of rest/stress Tc-99m tetrofosmin SPECT MPI. J Nucl Cardiol 2007;14:314-23.
- Pitman AG, Kalff V, Van Every B, et al. Contributions of subdiaphragmatic activity, attenuation, and diaphragmatic motion to inferior wall artifact in attenuation-corrected Tc-99m myocardial perfusion SPECT. J Nucl Cardiol 2005;12:401-9.
- Hayes SW, De Lorenzo A, Hachamovitch R, et al. Prognostic implications of combined prone and supine acquisitions in patients with equivocal or abnormal supine myocardial perfusion SPECT. J Nucl Med 2003;44:1633-40.
- Goetze S, Brown TL, Lavely WC, et al. Attenuation correction in myocardial perfusion SPECT/CT: Effects of misregistration and value of reregistration. J Nucl Med 2007;48:1090-5.
- Xu Y, Fish M, Gerlach J, et al. Combined quantitative analysis of attenuation corrected and non-corrected myocardial perfusion SPECT: Method development and clinical validation. J Nucl Cardiol 2010;17:591-9.
- Singh B, Bateman TM, Case JA, Heller G. Attenuation artifact, attenuation correction, and the future of myocardial perfusion SPECT. J Nucl Cardiol. 2007;14:153-64.
- Montes C, Tamayo P, Hernandez J, et al. Estimation of the total effective dose from low-dose CT scans and radiopharmaceutical administrations delivered to patients undergoing SPECT/CT explorations. Ann Nucl Med 2013;27:610-7.
- Fleischmann KE, Hunink MGM, Kuntz KM, et al: Exercise echocardiography or exercise SPECT imaging. JAMA 1998; 280:913-20.
- Kuntz KM, Fleischmann KE, Hunink MG, et al: Cost-effectiveness of diagnostic strategies for patients with chest pain. Ann Intern Med 1999; 130:709-18.
- Hendel RC, Corbett JA, Cullom SJ, et al: The value and practice of attenuation correction for myocardial perfusion SPECT imaging: A joint position paper from the American Society of Nuclear Cardiology and the Society of Nuclear Medicine. J Nucl Cardiol 2002; 9:135-43.
- Heller GV, Links J, Bateman TM, et al: American Society of Nuclear Cardiology and Society of Nuclear Medicine Joint Position Statement: Attenuation Correction of Myocardial Perfusion SPECT Scintigraphy. J Nucl Cardiol 2004; 11:229-30.
- Ficaro E, Fessler J, Shreve P, et al. Simultaneous transmission/emission myocardial perfusion tomography: diagnostic accuracy of attenuation corrected Tc-99m sestamibi single-photon emission computed tomography. Circulation 1996; 93: 463-73.
- Slart RHJA, Que TH, van Veldhuisen DJ, et al. Effect of attenuation correction on interpretation of 99mTc-sestamibi myocardial perfusion scintigraphy: the impact of 1 year’s experience. Eur J Nucl Med Mol Imag 2003; 30:1505-9.
- Genovesi D, Giorgetti A, Gimalli A, et al. Impact of attenuation correction and gated acquisition in SPECT myocardial perfusion imaging: results of the multicentre SPAG (SPECT Attenuation Correction vs Gated) study. Eur J Nucl Med Mol Imag, 2011; 38:1890-8.
- Benkiran M. Is CT attenuation correction more efficient than gated SPECT analysis to improve the diagnostic performance of myocardial perfusion imaging in patients with low prevalence of ischemic heart disease? Nucl Med Commun 2015; 36:69-77.
- Sharma P, Chetan DP, Sellam K, et al. Comparative accuracy of CT attenuation-corrected and non-attenuation-corrected SPECT myocardial perfusion imaging. Clin Nucl Med 2012; 37:332-8.
- Matsunari I, Boning G, Ziegler SI, et al. Attenuation-corrected rest thallium-201/stress technetium-99m sestamibi myocardial SPECT in normals. J Nucl Cardiol 1998; 5:48-55.
- Banzo I, Pena FJ, Allende RH, et al. Prospective clinical comparison of non-corrected and attenuation- and scatter-corrected myocardial perfusion SPECT in patients with suspicion of coronary artery disease. Nucl Med Commun 2003; 24: 995-1002.