Hallazgo con 18F-FDG PET/CT de metástasis adrenal y cerebelosa no sospechadas en una paciente con metástasis pulmonares de cáncer colorrectal
Francisco Javier García Gómez1, Rosa Fernández López1, Irene Acevedo Báñez1, Isabel Borrego Dorado1, R García Carbonero2, R Vázquez Albertino1.1 - Servicio de Medicina Nuclear, Hospital Universitario Virgen del Rocío, Sevilla, España..2 - Servicio de Oncología Médica, Hospital Universitario Virgen del Rocío, Sevilla, España..
Introducción
El carcinoma colorrectal (CRC) es la tercera neoplasia más prevalente en el mundo(1). Aproximadamente el 20-25% de los pacientes presentan metástasis en el momento del diagnóstico y hasta el 60% enfermedad a distancia en algún momento de su seguimiento(2-4). Las metástasis de CRC suelen localizarse en hígado, peritoneo o pulmón; las metástasis encefálicas son raras, con una incidencia del 1-3%, en comparación con otros tumores primarios como el de pulmón, mama o riñón en los que son mucho más frecuentes. Por otra parte, la incidencia de metástasis adrenales es relativamente baja(5-6). Cedermark et al. revisaron los hallazgos de necropsia de 457 pacientes fallecidos por CRC, encontrando que la prevalencia de metástasis hepáticas y pulmonares era del 48% y 38% respectivamente, mientras que en glándulas adrenales era de tan sólo el 14%(7).
Caso Clínico
Presentamos el caso de una paciente de 55 años con antecedentes de sigmoidectomía por adenocarcinoma de colon sigmoides sin afectación linfática regional (pT3N0Mx). A los 20 meses se localiza, mediante tomografía computadorizada (TC), un nódulo pulmonar solitario en el lóbulo superior del pulmón derecho, practicándose una lobectomía seguida de quimioterapia adyuvante con cisplatino (6 ciclos) y capecitabina (3 ciclos). La histopatología reveló que se trataba de metástasis de adenocarcinoma moderadamente diferenciado.
A los 12 meses se realiza TC de control que demuestra la existencia de dos nuevos nódulos pulmonares, iniciándose tratamiento con irinotecan, 5-fluoruracilo y bevacizumab con posterior toracoscopía.
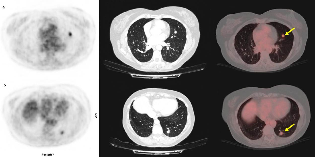
En este momento, a pesar de niveles normales de antígeno carcinoembrionario (CEA), se decide la realización de una tomografía por emisión de positrones (PET/CT) con 18-fluoro-2-deoxyglucosa (18F-FDG) para evaluar posible presencia de enfermedad en otras localizaciones. Se practicó un estudio de cuerpo entero en un equipo híbrido PET/CT (Siemens Biograph) una hora después de la administración intravenosa de 444 MBq de 18F-FDG. El estudio demostró dos nódulos hipermetabólicos en el pulmón izquierdo, el primero localizado en la língula de 1 cm de diámetro y con un “maximum stardardized uptake value” (SUVmax) de 7,6 (fig. 1a). El segundo nódulo se localizaba en el segmento posterobasal, con un diámetro de 1,3 cm y SUVmax de 2,8 (fig. 1b). El SUV del parénquima pulmonar era de 0,4.
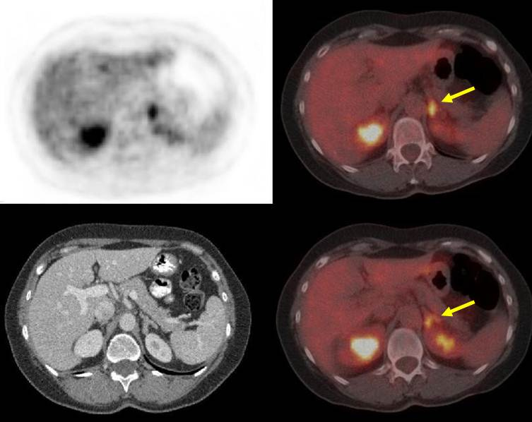
Además, se observó un área con incremento en la captación del radiotrazador en el hemisferio derecho del cerebelo. La masa mostraba un halo hipermetabólico acompañado de una zona central de posible necrosis, con un tamaño de 2,4x3,5x3 cm y SUVmax de 8,9 (SUV cerebelo: 6,6) siendo por tanto sugestiva de malignidad (fig. 2). Se evidenció también, un aumento patológico de captación en la glándula adrenal izquierda, con un tamaño de 1,5x2,5x3 cm y SUVmax de 7 (SUV del parénquima hepático: 3,4), por lo que se consideró también como sugestivo de malignidad (fig. 3).



Discusión
La incidencia estandarizada por la edad de CRC en la población femenina española es de 22,9/100.000 en 2008, según el proyecto GLOBOCAN(8). Aproximadamente el 50% de los pacientes desarrollarán metástasis a distancia en algún momento de su evolución, beneficiándose tan sólo una minoría de casos de una cirugía curativa.
El 5-15% de los pacientes con CRC desarrollan metástasis pulmonares a lo largo del seguimiento, aceptándose la metastasectomía como opción potencialmente curativa dentro del manejo multimodal del paciente con CRC(9), siendo fundamental identificar en la evaluación inicial aquellos pacientes en los que la cirugía no está indicada. La elevación de los niveles de CEA ha sido reportada como un indicador importante, asociándose a un pobre pronóstico(10). En nuestro caso, los niveles de CEA en el momento de la PET/CT fueron de 2,1 ng/dl (niveles de referencia: 0-3 ng/dl). No obstante, la literatura demuestra que puede evidenciarse recurrencia mediante PET/CT incluso con niveles normales de CEA(11).
La incidencia de metástasis adrenales de CRC es relativamente baja, entre 0,15 y 17,4%, con una media del 16% de acuerdo a diferentes publicaciones(12). Las metástasis adrenales se consideran resultado de una diseminación hematógena portal y sistémica y se asocian a enfermedad diseminada, con mal pronóstico(13-14). La PET/CT con 18F-FDG es una buena opción para localizar metástasis adrenales silentes, siendo en todos los casos requerida la confirmación histológica(15-16). En un estudio reciente, se evaluó la eficacia de la PET/CT en la detección de recurrencia o enfermedad metastásica en pacientes con historia de CRC y elevación de CEA, determinándose que el método posee un desempeño considerablemente mejor que la TC multicorte aislada(17). La resección quirúrgica parece mejorar la supervivencia en pacientes seleccionados, al tiempo que la quimio o radioterapia presenta pobres resultados para estas lesiones(12-13).
Entre el 2-12% de pacientes con CRC desarrollan metástasis encefálicas durante el curso de la enfermedad(18). En nuestro caso, un examen neurológico posterior a los hallazgos en la PET/CT demostró expresión clínica cerebelosa (inestabilidad de la marcha). El deterioro neurológico y la accesibilidad de la lesión llevaron a la práctica de una metastasectomía, recibiendo posteriormente radioterapia holocraneal. La supervivencia media en estos casos oscila entre los 2,8 y 6 meses, independientemente de la terapia empleada para el tratamiento de las metástasis encefálicas(19).
Los pacientes con regímenes de tratamiento basados en oxiplatino y 5-fluoruracilo muestran una supervivencia media de 16 meses. Con la combinación de irinotecan y cetuximab, la media de supervivencia se sitúa en los 8 meses(20). En nuestro caso, se constató deterioro neurológico, progresión radiológica y bioquímica con elevación de CEA hasta 65,7 ng/dl, falleciendo la paciente 10 meses después de la metastasectomía.
En conclusión, con este caso mostramos la utilidad de la PET/CT con 18F-FDG para la detección de metástasis en pacientes con historia de CRC, incluso en localizaciones poco frecuentes como son las glándulas adrenales o el encéfalo.
Referencias
- World Cancer Research Fund and American Institute for Cancer Research. Food, Nutrition, Physical Activity, and the Prevention of Cancer: A Global Perspective. Washington, DC: American Institute for Cancer Research; 2007.
- Grothey A, Schmoll HJ. New chemotherapy approaches in colorectal cancer. Curr Opin Oncol 2001;13:275-86.
- Van Cutsem E, Oliveira J. Advanced colorectal cancer: ESMO clinical recommendations for diagnosis, treatment and follow-up. Ann Oncol 2009;20(Suppl. 4): iv61–3.
- Yoo PS, Lopez-Soler RI, Longo WE, et al. Liver resection for metastatic colorectal cancer in the age of neoadjuvant chemotherapy and bevacizumab. Clin Colorectal Cancer 2006;6:202–7.
- Kanthan R, Loewy J, Kanthan SC. Skeletal metastases in colorectal carcinomas: a Saskatchewan profile. Dis Colon Rectum 1999;42:1592-7.
- Schouten LJ, Rutten J, Huveneers HA, et al. Incidence of brain metastases in a cohort of patients with carcinoma of the breast, colon, kidney, and lung and melanoma. Cancer 2002;94:2698-705.
- Cedermark BJ, Blumenson LE, Piickren JW, et al. The significance of metastases to the adrenal glands in adenocarcinoma of the colon and rectum. Surg Gynecol Obstet 1977;144:537-46.
- Ferlay J, Shin HR, Bray F, et al. GLOBOCAN 2008 v2.0, Cancer Incidence and Mortality Worldwide: IARC CancerBase No. 10 [Internet]. Lyon, France: International Agency for Research on Cancer; 2010. Disponible en: http://globocan.iarc.fr, accesado 20/12/13.
- Gonzalez M, Ris HB, Krueger T, et al. Colorectal cancer and thoracic surgeons: close encounters of the third kind. Exp Rev Anticancer Ther 2012;12:495–503.
- Gonzalez M, Poncet A, Combescure C, et al. Risk factors for survival after lung metastasectomy in colorectal cancer patients: a systematic review and meta-analysis. Ann Surg Oncol 2013;20:572-9.
- Sanli Y, Kuyumcu S, Ozkan ZG, et al. The utility of FDG-PET/CT as an effective tool for detecting recurrent colorectal cancer regardless of serum CEA levels. Ann Nucl Med 2012;26:551-8.
- Kim SH, Brennan MF, Russo P, et al. The role of surgery in the treatment of clinically isolated adrenal metastasis. Cancer 1998;82:389-94.
- Katayama A, Mafune K, Makuuchi M. Adrenalectomy for solitary adrenal metastasis from colorectal carcinoma. Jpn J Clin Oncol 2000;30:414–6.
- Watatani M, Ooshima M, Wada T, et al. Adrenal metastasis from carcinoma of the colon and rectum: A report of three cases. Jpn J Surg 1993;23:444-8.
- O’Connor OJ, McDermott S, Slattery J, et al. The use of PET-CT in the assessment of patients with colorectal carcinoma. Int J Surg Oncol 2011:846512.
- Blake MA, Prakash P, Cronin CG. PET/CT for adrenal assessment. Am J Roentgenol 2010;195:W91-5.
- Wroński M, Arbit E. Resection of brain metastases from colorectal carcinoma in 73 patients. Cancer 1999;85:1677–85.
- Metser U, You J, McSweeney S, et al. Assessment of tumor recurrence in patients with colorectal cancer and elevated carcinoembryonic antigen level: FDG PET/CT versus contrast-enhanced 64-MDCT of the chest and abdomen. Am J Roentgenol 2010;194:766–71.
- Hammoud MA, McCutcheon IE, Elsouki R, et al. Colorectal carcinoma and brain metastases: distribution, treatment and survival. Ann Surg Oncol 1996;3:453–63.
- Gundgaard MG, Soerensen JB, Ehrnrooth E. Third-line therapy for metastatic colorectal cancer. Cancer Chemother Pharmacol 2008;61:1-13.