Gammagrafía de perfusión miocárdica GATED-SPECT y miocardiopatía hipertrófica obstructiva asimétrica sintomática
Claudia Gutierrez-Villamil1, Franklin Carofilis Mendoza1, Arturo Mejía López1, José Sinay Arévalo Leal1, Víctor Andrés Marín Oyaga1.1 - Servicio de Medicina Nuclear. Fundación Cardioinfantil – Instituto de Cardiología. Bogotá, Colombia. | Facultad de Medicina, Universidad del Rosario. Bogotá, Colombia..
Resumen
Hombre de 59 años con dolor torácico atípico de 3 años de evolución. El ecocardiograma reportó miocardiopatía hipertrófica obstructiva septal asimétrica y el monitoreo Holter infradesnivel del segmento ST compatible con isquemia silente. La gammagrafía de perfusión miocárdica mostró isquemia anteroseptal, inferior e ínferolateral con dilatación ventricular transitoria y disfunción sistólica post-estrés. El cateterismo cardiaco documentó hipertrofia septal, insuficiencia mitral y lesión severa del 70% en la segunda rama oblicua marginal. Fue llevado a miectomía septal, revascularización miocárdica de puente safeno a circunfleja y remplazo mecánico de válvula mitral, con mejoría clínica a las 3 semanas de la operación.
El hallazgo gammagráfico es relevante dado el contexto de miocardiopatía hipertrófica, con defectos reversibles que corresponden a isquemia de tipo secundario a la hipertrofia septal. La dilatación ventricular transitoria y disfunción sistólica post-estrés se explican por isquemia secundaria a cardiomiopatía hipertrófica con coronarias sanas en la región septal, asociado a enfermedad coronaria significativa en otro territorio vascular.
Introducción
La miocardiopatía hipertrófica (MCH) es una afección descrita desde el punto de vista clínico por Brock y Teare en Inglaterra hace aproximadamente 50 años(1). Corresponde a una anomalía estructural y funcional del miocardio ventricular que no se explica por limitación del flujo coronario o por sobrecarga ventricular.
La prevalencia estimada de la MCH es de 0,2% de la población, mientras que uno de cada 7 pacientes presenta sintomatología de tipo cardiovascular(2). La historia natural de la enfermedad se destaca fundamentalmente por dos aspectos: la producción de síntomas, que en ocasiones son incapacitantes, y la aparición de muerte súbita, principalmente en pacientes jóvenes, aunque la mayoría de estos enfermos presentan una expectativa de vida normal.
Este trastorno ha subdividido en enfermedad primaria, en la que el corazón es el único órgano afectado, y la forma secundaria, donde la cardiomiopatía es una manifestación de una enfermedad sistémica. Algunas intervenciones terapéuticas como la miectomía septal, la ablación septal percutánea con alcohol y la estimulación bicameral se han introducido para aliviar los síntomas asociados con la obstrucción del tracto de salida del ventrículo izquierdo (VI).
Presentamos un caso de MCH que evidencia la importancia de la gammagrafía de perfusión miocárdica, mostrando un defecto reversible en la pared septal no vinculado a lesiones coronarias angiográficas, junto a dilatación isquémica transitoria y disfunción sistólica post-estrés, lo que sugiere isquemia secundaria por obstrucción en el tracto de salida, asociado en este paciente a enfermedad coronaria significativa en otro territorio vascular.
Descripción del caso
Paciente masculino de 59 años de edad con dislipidemia y ex-consumidor de bebidas alcohólicas. Presentaba cuadro clínico de 3 años de evolución caracterizado por disnea paroxística nocturna, ortopnea y dolor torácico ocasional en reposo, no relacionado con el ejercicio. Al examen físico se econtró soplo meso-telesistólico en foco mitral. Tenía antecedente de cardiopatía hipertrófica y dilatada diagnosticada 6 años antes, en tratamiento con betabloqueantes. Un ecocardiograma transtorácico previo indicaba hipertrofia septal severa anterior y posterior, con gradiente pico en reposo de 50 mm Hg compatible con MCH obstructiva de tipo septal asimétrica. La hipertrofia era a predominio en la porción anterobasal del septum interventricular (31 mm), acompañada de movimiento sistólico anterior de la válvula mitral que ocasionaba insuficiencia. Además tenía monitoreo Holter con ritmo sinusal, bloqueo incompleto de rama izquierda del haz de His, arritmia ventricular de mediana frecuencia monomórfica no sintomática y periodos de descenso del segmento ST, compatibles con isquemia silente.
Ante estos hallazgos, se decidió realizar estratificación de riesgo mediante gammagrafía de perfusión miocárdica Gated-SPECT (estudio tomográfico sincronizado con electrocardiograma) con 99mTc-MIBI (dosis total 24 mCi) bajo protocolo de esfuerzo físico y reposo de 2 días. Las imágenes evidenciaron hipocaptación moderada en los segmentos basal y medial de las caras inferior e inferolateral del VI y en el segmento medial de la cara anteroseptal en el estrés, con reversión completa en el reposo. El resultado fue catalogado como isquemia inducida en los segmentos mencionados (figura 1), a lo que se asoció dilatación ventricular durante el estrés con TID (dilatación isquémica transitoria) calculada en 1,28 (valores considerados normales < 1,19) (figuras 2 y 3), fracción de eyección en el reposo de 57% que cayó a 40% post-estrés y deformidad parcial del septum basal.
Se realizó cateterismo cardiaco que mostró lesión severa del 70% en la segunda rama oblicua marginal (OM2) y VI con hipertrofia septal que generaba gradiente de 80 mmHg a través del tracto de salida, lo que ocasionaba insuficiencia mitral severa; sin hallazgos patológicos en arteria coronaria derecha ni en arteria descendente anterior. Con los resultados obtenidos se realizó miectomía septal, revascularización miocárdica con puente safeno a circunfleja y remplazo de válvula mitral con prótesis mecánica. El resultado histopatológico de la resección parcial del septum interventricular indicó MCH asimétrica. En consulta de seguimiento a 3 semanas, el paciente refirió mejoría clínica sin ortopnea, disnea paroxística nocturna ni angina.
Discusión
La MCH obstructiva es una enfermedad heterogénea definida por la presencia de un incremento anormal del grosor de la pared del VI >15 mm que no se explica por condiciones de sobrecarga volumétrica(3). Se acompaña de varios mecanismos que contribuyen a la heterogeneidad de la enfermedad, como hipertrofia cardiaca, desorganización estructural de los miocitos, fibrosis intersticial, válvula mitral con movimiento sistólico anormal y alteración de la microcirculación coronaria. El diagnóstico se puede realizar utilizando cualquier modalidad de imagen, pero el ecocardiograma transtorácico es la técnica de elección. La resonancia magnética cardiaca es de ayuda por su mayor resolución espacial, permitiendo caracterizar la presencia de fibrosis. La utilidad de las imágenes nucleares radica en la evaluación de la disfunción diastólica del VI (no realizada en este caso), valorar el riesgo de progresión de falla cardiaca, definir la presencia de isquemia y estratificar el riesgo de muerte súbita cardiaca.
La obstrucción del tracto de salida del VI se define como el gradiente pico > 30 mm Hg en reposo medido con ecocardiograma, donde el movimiento sistólico anterior de las valvas mitrales y la anatomía aberrante del aparato mitral subvalvular son causa de la obstrucción dinámica. Se asocia con mayor progresión a falla cardiaca y sobrevida reducida (4,4 veces mayor de progresión a NYHA III-IV, muerte por falla cardiaca o evento cerebrovascular)(4). La miectomía o ablación septal trans-catéter con alcohol mejora la sobrevida, llegando a ser hasta del 79% a largo plazo. El seguimiento con SPECT 99mTc-MIBI es lo recomendado para evaluar la regresión del tamaño del defecto de perfusión cuando involucra la región anteroseptal, la cual se ha objetivado en la evolución por algunos autores (de 9,4±5,8% a 5,2±4,2% relativo a la extensión del defecto) sin cambios en la fracción de eyección o recurrencia significativa de la obstrucción del tracto de salida(5).
La detección de isquemia miocárdica en la MCH plantea un reto, ya que a pesar de que el dolor torácico es un síntoma frecuente, a menudo es atípico y prolongado en reposo, o bien típico acompañado de disnea de esfuerzo. La isquemia se asocia a muerte del miocito, reemplazo fibroso (cicatriz) y remodelación con disfunción del VI.
La isquemia miocárdica en la MCH en ausencia de lesiones coronarias significativas se explica por la presencia de anomalías estructurales de las arteriolas intramurales, densidad capilar reducida relacionada a extensa hipertrofia miocárdica, reserva coronaria disminuida por incremento de la presión diastólica, compresión sistólica de los vasos intramiocárdicos y de las coronarias epicárdicas, incremento de la demanda de oxígeno o arritmias auriculares y eventualmente a enfermedad aterosclerótica coronaria concomitante(6).
En este caso el paciente probablemente presentaba isquemia de dos orígenes: enfermedad coronaria sobre la arteria circunfleja en la región inferolateral y además un componente isquémico secundario a MCH en la región anteroseptal. La caída importante de la fracción de eyección post-estrés respecto al reposo y la dilatación transitoria del VI post-estrés son parámetros indicativos de alto riesgo, completando la información clínica aportada por el estudio de perfusión miocárdica Gated-SPECT.
Figuras
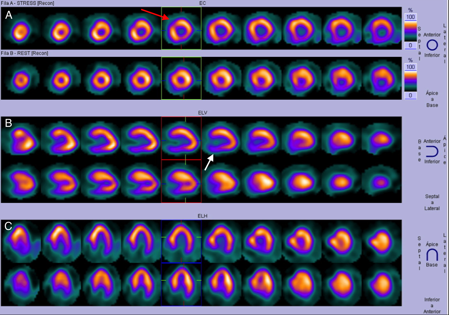
Estudio de perfusión miocárdica con 99mTc-MIBI en fases post-estrés físico y reposo. Imágenes correspondientes al eje corto (A), eje largo vertical (B) y eje largo horizontal (C) mostrando en las filas superiores las imágenes post-estrés y en las inferiores las imágenes de reposo. Existe disminución leve-moderada de la captación del 99mTc-MIBI post-estrés en el segmento medial de la región anteroseptal (flecha roja), así como en los segmentos medial y basal de la pared inferior e inferolateral (flecha blanca), todo lo cual se normaliza en reposo. Se observa además engrosamiento de las paredes del VI a predominio septal.
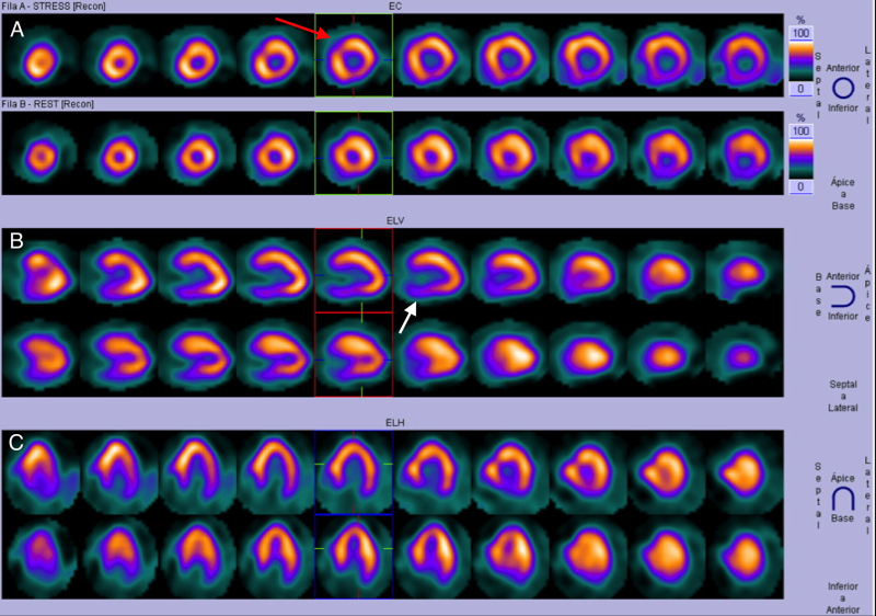
Estudio de perfusión miocárdica con 99mTc-MIBI en fases post-estrés físico y reposo (imágenes únicamente del eje largo vertical). A. Imágenes post-estrés en donde se observa aumento del volumen de la cavidad ventricular (flecha roja). B: Imágenes de reposo en el que se observa menor volumen de la cavidad ventricular (TID=1,28).
Estudio de perfusión miocárdica Gated-SPECT con 99mTc-MIBI en fases post-estrés (A) y reposo (B). Valoración de contractilidad y cálculo de parámetros funcionales. Se observa la cavidad ventricular izquierda aumentada de tamaño post-estrés (confirmando los hallazgos de los cortes en las figuras previas). La fracción de eyección calculada post-estrés fue de 40% y en reposo de 57%.
Referencias
- Brock R. Functional obstruction of the left ventricle; acquired aortic subvalvar stenosis. Guys Hosp Rep. 1957;106:221-38.
- Argulian E, Sherrid MV, Messerli FH. Misconceptions and Facts About Hypertrophic Cardiomyopathy. Am J Med. 2015.
- Elliott PM, Anastasakis A, Borger MA, et al. 2014 ESC Guidelines on diagnosis and management of hypertrophic cardiomyopathy: the Task Force for the Diagnosis and Management of Hypertrophic Cardiomyopathy of the European Society of Cardiology (ESC). Eur Heart J. 2014;35:2733-79.
- Maron MS, Olivotto I, Betocchi S, et al. Effect of left ventricular outflow tract obstruction on clinical outcome in hypertrophic cardiomyopathy. N Engl J Med. 2003;348:295-303.
- Delgado V, Bax JJ. Clinical topic: Nuclear imaging in hypertrophic cardiomyopathy. J Nucl Cardiol. 2015;22:408-18.
- Dissmann R, Schultheiss HP. Ischaemia in patients with hypertrophic cardiomyopathy--various causes and symptoms and the difficulties of ischaemia screening tests. Eur Heart J. 1996;17:982-4.


