Estudio PET con 68Ga-Dotatate falso positivo causado por la presencia de un bazo accesorio
Teresa Massardo1, Josefina Jofré2, M. Paulina Sierralta2, José Canessa3.1 - Centro PET de Imágenes Moleculares, Hospital Militar de Santiago / Sección Medicina Nuclear, Departamento Medicina, Hospital Clínico Universidad de Chile. Santiago, Chile..2 - Centro PET de Imágenes Moleculares, Hospital Militar de Santiago. Santiago, Chile..3 - Centro PET de Imágenes Moleculares, Hospital Militar de Santiago / 3- Medicina Nuclear, Hospital Dipreca. Santiago, Chile..
Resumen
Los tumores neuroendócrinos con expresión de receptores de somatostatina son aptos para estudios de imagen con análogos de la somatostatina. Los péptidos marcados con 68Ga son útiles para el diagnóstico, estadificación y evaluación de la respuesta terapéutica de estos tumores. Sin embargo, para una correcta interpretación es necesario conocer la biodistribución normal de los receptores de somatostatina en el organismo. La captación asimétrica en las suprarrenales puede ser una variante normal que cause confusión, o bien un bazo accesorio o ectópico puede dar lugar a un resultado falso positivo. Se reporta un caso en que la captación suprarrenal asimétrica fue considerada correctamente como una variante normal, pero un bazo accesorio causó la falsa impresión de tratarse de una metástasis del tumor carcinoide primario ya resecado.
Palabras clave: tumor neuroendócrino, análogo de somatostatina, falso positivo.
Abstract
Neuroendocrine tumors with somatostatin receptor expression are suitable for imaging with somatostatin analogues. 68Ga-labeled peptides are useful for the diagnosis, staging and assessment of therapeutic response of these tumors. However, for a correct interpretation it is necessary to know the normal biodistribution of somatostatin receptors in the body. Asymmetric adrenal uptake may be a normal variant to cause confusion, or an accessory or ectopic spleen can lead to a false positive result. We report a case of asymmetric adrenal uptake which was correctly considered as a normal variant, but an accessory spleen caused the false impression of being a metastasis from a previously resected primary carcinoid tumor.
Key words: neuroendocrine tumor, somatostatin analogue, false positive.
Introducción
Los tumores neuroendócrinos con elevada expresión de receptores de somatostatina en su superficie son útiles para estudios de imagen molecular utilizando análogos de la somatostatina marcados(1).
Caso Clínico
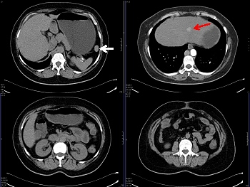
Se trata de una paciente de sexo femenino de 48 años, portadora de un tumor carcinoide bien diferenciado, ubicado a nivel de la válvula ileocecal. La enferma fue sometida a cirugía dos meses antes, efectuándosele ileocolectomía parcial. De 17 ganglios linfáticos extraídos, 9 fueron positivos para invasión tumoral. El examen histoquímico mostró Cromogranina (+); Ki67(+); sinaptofisina (+). Durante el seguimiento post-operatorio inmediato la paciente no presentaba síntomas, el hemograma y perfil hepático eran normales, así como el ECG. Fue referida a un estudio PET con análogos de la somatostatina con fines de estadificación. Se realizó un estudio con 68Ga–Dotatate en dosis de 2,5 mCi (92,5 MBq) utilizando un equipo PET dedicado (Siemens Ecat Exact HR+, Hoffman Estates, USA). La adquisición comenzó 60 minutos después de administrado el radiotrazador e incluyó rastreo desde cráneo hasta pelvis, con múltiples camas de emisión y transmisión, a razón de 9 minutos cada una. Se observó un área de captación focal anormal ubicada en la fosa esplénica en situación anterolateral, de aproximadamente 1,5 cm de diámetro y SUVmax = 11,7 (fig. 1). También existió captación algo asimétrica en las glándulas suprarrenales a predominio derecho, la cual presentó SUVmax = 8,8 que se consideró dentro del rango normal (fig. 2). El resto del estudio mostró distribución fisiológica en hipófisis, tiroides, bazo, intestino, riñones (incluyendo pelvis renales) y vejiga{ref2]. En conclusión, el estudio se interpretó como presencia de tejido neuroendócrino funcionante en el área esplénica, compatible con una metástasis del tumor carcinoide resecado.


Un estudio de tomografía computada (TC) abdominal con contraste realizado más tarde demostró la presencia de un bazo accesorio correspondiendo a la zona de captación focal del 68Ga-dotatate (fig. 3, flecha blanca). Ambas glándulas suprarrenales eran normales en tamaño y morfología, sin formaciones nodulares. Se identificó, además, una lesión hipervascularizada en el lóbulo izquierdo del hígado, localizada centralmente en el segmento 2, de aproximadamente 1cm de diámetro (flecha roja), que no exhibía expresión de receptores de la somatostatina en el PET; fue interpretada como posible implante secundario o hiperplasia nodular focal.

Se realizó biopsia de la lesión hepática tratándose con radiofrecuencia; el informe definitivo demostró esteatosis con hemosiderosis. La paciente evolucionó de manera favorable hasta 3 años después, fecha del último seguimiento.
Discusión
Los péptidos marcados con 68Ga son útiles para el diagnóstico, estadificación y evaluación de la respuesta terapéutica de los tumores neuroendócrinos, mientras que los marcados con 177Lu e 90Y son empleados exclusivamente en terapia, siempre que en un estudio diagnóstico previo se demuestre expresión de receptores de la somatostatina en el tumor.
Para una correcta interpretación del estudio, es necesario conocer la biodistribución normal de los receptores de somatostatina en el organismo(2-4). Sin embargo, la captación asimétrica intensa en las suprarrenales puede ser una variante normal que cause confusión, o bien un bazo accesorio o ectópico puede dar lugar a un resultado falso positivo al ser interpretado como una lesión neoplásica primaria o secundaria(5). En el caso reportado, la captación suprarrenal asimétrica fue reportada correctamente como una variante normal, pero un bazo accesorio causó la impresión de tratarse de una metástasis del tumor carcinoide primario. Este último hallazgo no había sido informado previamente, por lo que no se contaba con el antecedente. Consideramos que el caso enfatiza la importancia de contar con PET-TC concomitante.
Referencias
- Carrasquillo JA, Chen CC. Molecular imaging of neuroendocrine tumors. Semin Oncol 2010; 37:662-79.
- Prasad V, Baum Rp. Biodistribution of the Ga-68 labeled somatostatin analogue DOTA-NOC in patients with neuroendocrine tumors: characterization of uptake in normal organs and tumor lesions. Q J Nucl Med Mol Imaging 2010; 54:61-7.
- Kurmann A, Michel JM, Stauffer E, Egger B. Intrapancreatic accessory spleen misdiagnosed as a nonsecreting endocrine tumor: case report and review of the literature. Case Rep Gastroenterol 2010; 4:210-14.
- Kroiss A, Putzer D, Decristoforo C, et al. 68Ga-DOTA-TOC uptake in neuroendocrine tumour and healthy tissue: differentiation of physiological uptake and pathological processes in PET/CT. Eur J Nucl Med Mol Imaging. 2013; 40:514-23.
- Lebtahi R, Cadiot G, Marmuse JP, et al. False-positive somatostatin receptor scintigraphy due to an accessory spleen. J Nucl Med 1997; 38:1979-81.