Carcinoma de paratiroides: hallazgo en gammagrafía con 99mTc- Sestamibi
Marylin Acuña Hernández1, Tatiana Morales Avellaneda1, Andrés I. González Ramírez2, Juan Sarmiento2.1 - Departamento de Medicina Nuclear, SPECT Medicina Nuclear S.A.S, Fundación Oftalmológica de Santander - Clínica Carlos Ardila Lülle (FOSCAL) - Universidad Autónoma de Bucaramanga (UNAB), Bucaramanga, Santander, Colombia..2 - Departamento de Endocrinología, Fundación Oftalmológica de Santander - Clínica Carlos Ardila Lülle (FOSCAL) - Universidad Autónoma de Bucaramanga (UNAB) Bucaramanga, Santander, Colombia..
Resumen
El carcinoma de paratiroides, es un tumor maligno endocrinológico poco frecuente. Se presenta típicamente como un hiperparatiroidismo primario severo asociado a masa cervical. La gammagrafía con 99mTc-Sestamibi permite identificar de manera prequirúrgica la lesión causante. Presentamos el caso de una mujer en su cuarta década de vida que debuta clínicamente con sintomatología relacionada con hiperparatiroidismo primario. Se realizó gammagrafía con 99mTc-Sestamibi de paratiroides con ubicación de la lesión, siendo llevada a manejo quirúrgico con reporte de histopatología de carcinoma de paratiroides. La sensibilidad de la gammagrafía con Sestamibi para ubicar lesiones paratiroideas malignas es cercana al 33%, en contraste con la detección de adenoma solitario con sensibilidad de aproximadamente 89%, 45% en hiperplasia paratiroidea y 30% para enfermedad poliglandular.
Introducción
El carcinoma de paratiroides es un tumor maligno endocrinológico raro, con una prevalencia anual del 0,005%(1) representado el 0,5% de los casos de hiperparatiroidismo primario(2). Se presenta con una frecuencia 1:1 en hombres y mujeres, con una máxima incidencia entre los 40 y los 60 años(1). Ocurre esporádicamente en la mayoría de casos(2) y se describe asociación con síndrome de hiperparatiroidismo - tumor mandibular, síndrome de neoplasia múltiple (MEN) tipo 1(1,3), irradiación cervical, adenoma o hiperplasia paratiroidea(2). Su manifestación clínica es la de un hiperparatiroidismo primario: cólico renal, anorexia, dolor abdominal, estreñimiento, fatiga, dolor óseo, fracturas por fragilidad y/o tumoración cervical.
Los hallazgos de laboratorio incluyen hipercalcemia severa (usualmente >14 mg/dl), niveles séricos de PTH elevados (en general unas 4 veces por encima del límite superior normal), fosfatasa alcalina elevada e hipofosfatemia(1). Los métodos imagenológicos permiten ubicar la lesión y determinar su recurrencia, siendo empleados la ultrasonografía, la gammagrafía con 99mTc-Sestamibi, la tomografía computarizada (TC) y la resonancia magnética (RM) de cuello(4). Posterior a la ubicación de la lesión, el manejo quirúrgico es el pilar del tratamiento, a través de la resección oncológica completa que ofrece mejores tasas de curación y menos recaídas(2).
Descripción del caso
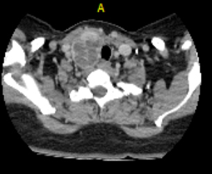
Se trata de una paciente de sexo femenino de 46 años con presencia de masa en hemicuello derecho asociada a disfagia mixta, emesis de contenido alimentario, odinofagia y pérdida de peso desde hace 1 año. Se realizaron estudios bioquímicos con hallazgo de hipercalcemia severa (17.2 mg/dl), PHT elevada y fósforo sérico normal. Se planteó diagnóstico de hiperparatiroidismo primario, solicitándose TC de cuello con hallazgo de masa de densidad heterogénea en relación al lóbulo tiroideo derecho asociada a adenopatías en el nivel VI, IIA bilaterales y IB a derecha (Figs. 1 y 2).


Por los hallazgos en el perfil fósforo-calcio y sospecha de lesión paratiroidea, se realizó la gammagrafía de paratiroides con 925 MBq (25 mCi) de99mTc-Sestamibi a los 15 min, 1 y 2 horas postinyección seguida de gammagrafía de tiroides con 185 MBq (5 mCi) de 99mTc Pertecnetato e imagen a los 15 min. Se empleó por tanto un método de doble fase y doble radiotrazador mediante técnica de sustracción y lavado(3,6), lo que mejora el rendimiento diagnóstico al permitir diferenciar lesiones a nivel de tiroides y paratiroides, con captación tardía en el último caso. Se encontró foco de hipercaptación persistente caudal al lóbulo tiroideo derecho, discordante con el estudio de tiroides (Fig. 3).

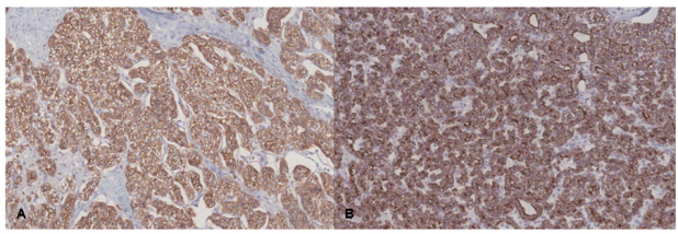
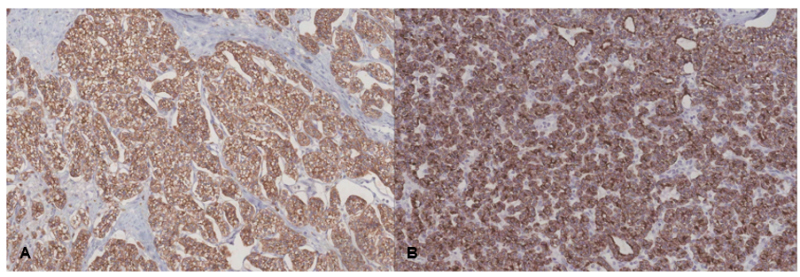
Se efectuó abordaje quirúrgico oncológico y resección en bloque, con descenso de los valores de PTH intraquirúrgicos a 41,89 pg/ml (previo 975,6pg/ml). Posteriormente, se recibió el reporte de histopatología e inmunohistoquímica, con diagnóstico de carcinoma de paratiroides (Fig. 4). Durante el seguimiento, la paciente presenta una evolución adecuada, con normalización de los niveles de calcio y control de sintomatología inicial.

Discusión
En cuanto al empleo de técnicas de medicina nuclear, se recuerda que el 99mTc-Sestamibi es una molécula lipofílica catiónica que ingresa a la célula por difusión pasiva y se acumulan intracelularmente en las mitocondrias del tejido paratiroideo a nivel de las células oxifílicas3. El mecanismo de captación el carcinoma no ha sido dilucidado, pero se presume que presenta un contenido importante de mitocondrias asociado a la permeabilidad capilar que incrementa el flujo sanguíneo tumoral y aumento en la actividad metabólica del tumor(4).
Existen pocos datos respecto al rendimiento diagnóstico de la gammagrafía con 99mTc-Sestamibi en el carcinoma de paratiroides. La revisión sistemática de 2005 realizada por Ruda et al(4) encontró que esta prueba para ubicar lesiones paratiroideas malignas en contexto de hiperparatiroidismo primario, presenta una sensibilidad del 33%, en contraste con la sensibilidad del adenoma solitario del 88,4%, el 44,6% en hiperplasia paratiroidea(4) y el 30% para enfermedad poliglandular(6). Dentro de los casos reportados, Cheon et al(5) encontraron que los hallazgos en la gammagrafía paratiroidea al integrarse con datos como la edad del paciente y concentración sérica de PTH, pueden alcanzar una sensibilidad del 100%, especificidad de 83% y valor predictivo negativo de 100% para detectar malignidad. En la tabla 1 se reportan otros estudios con los hallazgos gammagráficos respectivos.
| Autor
|
Hallazgos en gammagrafía
|
|---|---|
| Kitapçi et al(7) | Técnica de lavado: aumento en la acumulación de actividad en el polo inferior del lóbulo tiroideo izquierdo.
|
| Singhal et al(8) | Técnica de sustracción: captación aumentada del marcador en el lecho tiroideo izquierdo.
Técnica de lavado: a las dos horas persistencia de la captación en el lóbulo tiroideo izquierdo. |
| Campennì et al(9) | Técnica de lavado:
Caso 1: captación anormal del marcador en el polo inferior del lóbulo tiroideo derecho. Caso 2: captación anormal del marcador en el lado derecho del cuello. Caso 3: captación anormal del marcador en la porción inferior del lóbulo tiroideo derecho. |
| Arroyo et al(10)
|
Técnica de sustracción: captación heterogénea en la glándula tiroides no concordante con los hallazgos del estudio con Sestamibi.
Técnica de lavado: captación extensa, de elevada intensidad, nodular en el polo superior del lóbulo tiroideo izquierdo. |
El diagnóstico definitivo se establece por la presencia de metástasis a distancia y/o infiltración de tejidos adyacentes. Desde el punto de vista histopatológico, la sospecha de malignidad es dada por cápsula fibrosa de arquitectura trabecular, figuras mitóticas e invasión capsular o vascular(5) además de la expresión de marcadores neuroendocrinos (cromogranina) e inmunopositividad a PTH que confirma el origen paratiroideo(1,2). Es importante resaltar que la histopatología de las lesiones de paratiroides benignas y malignas es muy similar, haciendo que el diagnóstico definitivo sea difícil, por lo que se deben tener en cuenta de manera integral los datos clínicos, las imágenes y los hallazgos de patología anatómica para establecer el diagnóstico. En cuanto al pronóstico, existe un tiempo promedio de recidiva de 3 años y la tasa de supervivencia a cinco años oscila entre el 40% y el 86%(1).
Referencias
- Kassahun W, Jonas S. Focus on parathyroid carcinoma. Int Jour Surg 2011; 9:13-19.
- Mohebati A, Shaha A, Shah J. Parathyroid carcinoma challenges in diagnosis and treatment. Hematol Oncol Clin N Am 2012; 26:1221-38.
- Alenezi S, Asaad S, Helgazzar A. Scintigraphic parathyroid imaging: concepts and new developments. Res Rep Nucl Med 2015; 5:9-18.
- Ruda J, Hollenbeak C, Stack B. A systematic review of the diagnosis and treatment of primary hyperparathyroidism from 1995 to 2003. Otolaryngol Head Neck Surg 2005; 132:359-72.
- Cheon M, Choi J, Chung J, et al. Differential findings of Tc-99m SestaMIBI dual-phase parathyroid scintigraphy between benign and malignant parathyroid lesions in patients with primary hyperparathyroidism. Nucl Med Mol Imaging 2011; 45:276-84.
- Moralidis E. Radionuclide parathyroid imaging: a concise, updated review. Hell J Nucl Med 2013; 16:125-33.
- Kitapçi M, Tastekin G, Turgut M, et al. Preoperative localization of parathyroid carcinoma using Tc-99m MIBI. Clin Nucl Med 1993; 18:217-9.
- Singhal T, Jacobs M, Mantil J. Tc-99m Pertechnetate/Sestamibi subtraction scan in a case of parathyroid carcinoma. Clin Nucl Med 2008; 33:196-7.
- Campennì A, Ruggeri R, Sindoni A, et al. Parathyroid carcinoma as a challenging diagnosis: Report of three cases. Hormones 2012; 11:368-76.
- Arroyo O, Jiménez A, Lapeña L, et al. Gammagrafía con Tc-sestaMIBI en hiperparatiroidismo con diagnóstico histológico de carcinoma de paratiroides. Alasbimn Journal 2015; Abril.