Aspergiloma pulmonar: Falso positivo del rastreo corporal total con I-131 en cáncer diferenciado de tiroides
Katty E. Maguiña1, Pablo Fernández1, Saúl Falcón1, Danfer Huapaya1.1 - Servicio de Medicina Nuclear, Hospital Guillermo Almenara Irigoyen, Lima, Perú..
Resumen
La captación de yodo radiactivo en pulmones ha sido reportada como falso positivo para metástasis de cáncer tiroideo en diversas patologías pulmonares, dentro de ellas las debidas a infecciones fúngicas. Se presenta el caso de una mujer de 40 años con antecedente de cáncer papilar de tiroides, que recibió terapia ablativa con iodo 131 y en los rastreos de seguimiento presentó captación focal persistente en ápice pulmonar izquierdo, sin evidencia bioquímica de recurrencia de enfermedad. La tomografía mostró una lesión sólida sugerente de aspergiloma pulmonar que se correspondía con el área de captación de radioyodo, hallazgo que se confirmó mediante anatomía patológica. El aspergiloma pulmonar es una causa de falso positivo para recurrencia de enfermedad o extensión lesional en el seguimiento de pacientes con cáncer diferenciado de tiroides.
Palabras Clave: Cáncer de tiroides, rastreo con I-131, falso positivo.
Abstract
The uptake of radioactive iodine in the lungs has been reported as false positive for metastases of thyroid carcinoma in various lung diseases, among them fungal infections. We present a case of a 40 year old woman with a history of papillary thyroid cancer, who received ablative therapy with iodine 131, and follow-up scans presented persistent focal uptake in the left lung apex, without biochemical evidence of recurrence of disease. CT scan showed a solid lesion suggestive of pulmonary aspergilloma that corresponded to the area of radioiodine uptake, finding that was confirmed by pathology. Pulmonary aspergilloma is a cause of false positive for disease recurrence at follow-up of patients with differentiated thyroid cancer.
Keywords:Thyroid Cancer, tracking with I-131, false positive
Introducción
El cáncer diferenciado de tiroides constituye una neoplasia de buen pronóstico con elevada supervivencia comparado con otras neoplasias. El tratamiento de elección es quirúrgico, seguido de radio ablación con I-131 en casos seleccionados y terapia de reemplazo con tiroxina.(1)
Los pacientes con cáncer diferenciado de tiroides pueden presentar recurrencia tumoral hasta en un 30% varias décadas después del diagnóstico; dependiendo del tratamiento inicial y de otros factores de riesgo, hasta el 66% presenta recurrencia en los primeros 10 años posteriores a la terapia inicial.(2) El seguimiento de pacientes con cáncer diferenciado de tiroides se puede realizar con dosaje seriado de tiroglobulina, ecografía cervical y rastreo corporal con I-131.
El rastreo corporal total con i-131 cumple un papel importante tanto en la identificación de recurrencias como en la identificación de persistencia de la enfermedad, con una especificidad mayor al 90%(19). Este procedimiento está basado en el hecho que la captura, organificación y almacenamiento de yodo es más prominente en el tejido tiroideo funcionante que en otros tejidos. (3,4) A nivel molecular, el mecanismo clave para la captación de yodo por el tejido tiroideo funcionante se da por la mayor expresión del simport de sodio-yoduro.(4) Por tanto, el rastreo corporal total con iodo radiactivo detecta la expresión de dicho simport en tejido tiroideo funcionante de pacientes con cáncer de tiroides recurrente o metastásico e identifica a quienes se beneficiarían de la terapia con radioyodo.(5)
Para una correcta interpretación de las imágenes se debe conocer la historia clínica del paciente, los niveles plasmáticos de tiroglobulina y los lugares de captación fisiológica, no fisiológica y patológica de iodo en los tejidos, ya que la captación de I-131 no es exclusiva del tejido tiroideo.
La captación de I-131 puede observarse en tejidos sanos, enfermedades benignas, tumores benignos y malignos de origen no tiroideo, en todos los casos debido a alguno de los siguientes factores: 1) expresión funcional del simport de Na-I, 2) metabolismo de la hormona tiroidea radioyodada, 3) retención de radioyodo en los fluidos corporales, 4) retención y captación de radioyodo en tejidos inflamados, 5) contaminación por secreciones fisiológicas, 6) causas desconocidas.6 Los hallazgos deben ser interpretados en forma individualizada, para evitar los falsos positivos que pudieran confundirse con recurrencia de la enfermedad y llevar a una terapia radiometabólica innecesaria.
Existen reportes de falsos positivos en la literatura, los cuales sin embargo no son frecuentes. Se han reportado por ejemplo captación en tejido cicatrizal, procesos inflamatorios, infecciosos, tumores benignos y malignos no tiroideos, como se menciona a continuación.
Captación de I-131 no relacionada a tumor:
- Procesos inflamatorios en que existe aumento de la perfusión, vasodilatación y aumento de la permeabilidad capilar; dentro de estos procesos se ha reportado captación anormal debido a infección respiratoria aguda(8), tuberculosis(9), pulmón reumatoideo(10), aspergiloma pulmonar(11).
- Bronquiectasias, debido a la acumulación de secreciones; infarto del miocardio, debido al incremento de la perfusión y la permeabilidad capilar(12); efusión pleural, por exudado o trasudado patológico; sitios de biopsia, por la vasodilatación y aumento de la permeabilidad capilar debido al trauma tisular.(13)
Captación de I-131 relacionada a tumores benignos:
- Fibroadenoma de mama(14), struma cordis(15) debido a la expresión del simport de sodio-ioduro.
- Mesotelioma quístico, por difusión pasiva y retención del radioyodo.(16)
Captación de I-131 relacionada a tumores malignos de origen no tiroideo:
- Por expresión del simport de sodio-ioduro y cambios inflamatorios tumorales: cáncer pulmonar primario(17), carcinoma pulmonar metastásico (adenocarcinoma cervical, struma ovarii), cáncer de mama(18).
Caso Clínico
Presentamos el caso de una paciente con rastreo corporal positivo que fue referida a nuestro hospital para recibir tratamiento con I-131 por tercera vez por persistencia de captación de radioyodo en ápice pulmonar. Se trataba de una mujer de 40 años con antecedente de tuberculosis pulmonar a los 15 años con tratamiento completo. Es sometida a tiroidectomía total en enero de 2011 con anatomía patológica que mostró carcinoma papilar de tiroides tipo clásico, bien diferenciado, tamaño tumoral de 2,3cm, con invasión a cápsula, sin invasión vascular, bordes quirúrgicos comprometidos. Recibe terapia ablativa 6 semanas después de la cirugía con 80mCi de I-131. De acuerdo a su historia clínica, en sus controles anuales presentó rastreos positivos a nivel de mediastino los años 2012 y 2013 (Figuras 1 y 2), motivo por el cual recibió dosis adicionales de radioyodo de 100 mCi y 120 mCi respectivamente.


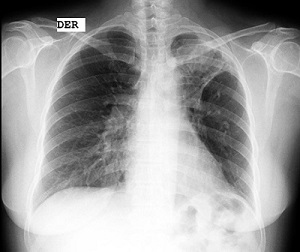
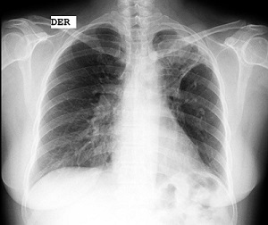
En mayo de 2014 la paciente acude a un nuevo control mediante rastreo corporal total con nivel de TSH en 100.00UI/ml, tiroglobulina de 0,4ng/ml y anticuerpos antitiroglobulina de 26,73. La imagen muestra captación de yodo radiactivo (I-131) en ápice pulmonar izquierdo, con patrón focal (Fig. 3).

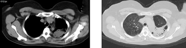
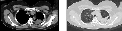
Se evalúa el caso teniendo en cuenta los valores de tiroglobulina, y ante la sospecha de un falso positivo se complementa el estudio con radiografía de tórax (fig. 4) y tomografía computada de tórax sin contraste (figs. 5 y 6), evidenciándose una lesión focal nodular en segmentos 1 y 2 del pulmón izquierdo de 42 mm de diámetro, con tractos fibrosos y bronquiectasias adyacentes. El primer planteo diagnóstico es de un aspergiloma, sin descartar proceso neoproliferativo primario.


Se realiza biopsia dirigida de la lesión, llegándose al diagnóstico anátomo-patológico de Aspergillus spp.
Discusión
El rastreo corporal total con yodo radiactivo es una herramienta útil para la detección de tejido tiroideo residual después de la intervención quirúrgica, así como para detección de metástasis regionales y a distancia, con eficacia alta. Sin embargo, aunque es un método sensible para la detección de tejido tiroideo normal y anormal, especialmente cuando se realiza después de la dosis ablativa, debe tenerse en cuenta que pueden ocurrir falsos positivos (captación de I-131 en ausencia de tejido tiroideo residual o metástasis) en distintas situaciones.(7)
Dado que en nuestro caso la paciente presentó una captación en campo pulmonar de forma persistente, llamó la atención la respuesta bioquímica, manteniendo niveles adecuados sin sufrir cambios tras estimulación con TSH endógena, sugiriendo ausencia de enfermedad desde el punto de vista bioquímico. Por tal motivo se sospechó que se tratara de un falso positivo, teniendo en cuenta que en la literatura se han descrito hasta 30 situaciones(20) capaces de simular una metástasis pulmonar de un carcinoma de tiroides.
Abocándonos al patrón gammagráfico se trata de una captación localizada, con lo que debemos tener presente los principales diagnósticos diferenciales como se indicó en los párrafos anteriores(21). Tras los exámenes auxiliares se llega al diagnóstico de aspergiloma pulmonar, que ha sido descrito como una de las causas de falso positivo(11), aunque son pocos los casos reportados. La etiología de esta captación se debería a los cambios inflamatorios, con aumento de la perfusión y liberación local de endotoxinas y enzimas por el hongo, que causan daño celular a la pared interna de la cavidad micótica.
Independientemente de la presencia del aspergiloma, debemos considerar aquí también el antecedente de tuberculosis pulmonar, que aún en casos inactivos puede presentar captación focal y ser fuente de falso positivo(19). Este aspecto es muy importante dentro de nuestra realidad nacional dada la prevalencia elevada de tuberculosis, por lo que se debe tener presente al momento de la interpretación de imágenes. La paciente presenta además imágenes de bronquiectasias adyacentes al aspergiloma, que pueden contribuir también a la captación de iodo radiactivo en dicha zona según ha sido reportado(22).
Referencias
- National Comprehensive Cancer Network. Thyroid carcinoma. Version 2.2014. NCCN.ORG
- Mazaferri EL, Jhiang SM. Long-term impact of initial surgical and medical therapy on papillary and follicular thyroid cancer. Am J Med 1994;97:418-28.
- Wartofsky L, Nostrand DV. Thyroid Cancer: A Comprehensive guide to clinical management. Totowa: Humana Press, 2006.
- Ahn BC. Sodium iodide symporter for nuclear molecular imaging and gene therapy: from bedside to bench and back. Theranostics 2012;2:392-402.
- Riesco-Eizaguirre , Santisteban P. A perspective view of sodium iodide symporter research and its clinical implications. Eur J Endocrinol 2006;155:495-512.
- Jong-Ryool O, Byeong-Cheol A. False-positive uptake on radioiodine whole-body scintigraphy: physiologic and pathologic variants unrelated to thyroid cáncer. Am J Nucl Med Mol Imaging 2012;2:362-85.
- Triggiani V, Moschetta M, Giagulli VA et al. Diffuse Iodine-131 lung uptake in bronchiectasis: a potential pitfall in the follow up of differentiated thyroid carcinoma. Thyroid. 2012 Aug 9.
- Bakheet SM, Hammami MM, Powe J. Radioiodine bronchogram in acute respiratory tract infection. Clin Nucl Med 1997;22:308-9.
- Picolos MK, Habra M, Safdar A, Sarlis NJ. Inactive pulmonary tuberculosis mimicking metastasis from papillary thyroid carcinoma in diagnostic radioiodine whole-body scintigraphy. Thyroid 2005;15:1105-6.
- Bakheet SM, Hammami MM, Powe J. Radioiodine uptake in rheumatoid arthritisassociated lung disease mimicking thyroid cáncer metastases. Clin Nucl Med 1998;23:319-20.
- Ahn BC, Lee SW, Lee J, Kim C. Pulmonary aspergilloma mimicking metastasis from papillary thyroid cancer. Thyroid 2011;21:555-8.
- Jong I, Taubman K, Schlicht S. Bronchiectasis simulating pulmonary metastases on iodine- 131 scintigraphy in well-differentiated thyroid carcinoma. Clin Nucl Med 2005;30:688-9.
- Naddaf SY, Akisik MF, Omar WS et al. I-123 uptake in the chest wall after needle biopsy of a pulmonary nodule. A cause for false-positive I-123 uptake. Clin Nucl Med 1997;22:572-3.
- Rieser GD, Ober KP, Cowan RJ, Cordell AR. Radioiodide imaging of struma cordis. Clin Nucl Med 1988;13:421-2.
- Berger F, Unterholzner S, Diebold J et al. Mammary radioiodine accumulation due to functional sodium iodide symporter expression in a benign fibroadenoma. Biochem Biophys Res Commun 2006;349:1258-63.
- Keizer B, Arsos G, Smit JW et al. I-131 accumulation in a benign cystic mesothelioma in a patient with follicular thyroid cancer. Thyroid 2008;18:369-71.
- Langsteger W, Koltringer P, Wolf G et al. False-positive radioiodine uptake in lung carcinoma. J Nucl Med 1994;35:2056-7.
- Wapnir IL, Goris M, Yudd A et al. The Na+/I- symporter mediates iodide uptake in breast cáncer metastases and can be selectively downregulated in the thyroid. Clin Cancer Res 2004;10:4294-302.
- Sinha KM, Bradley J, Steatham A. Weaver asymmetric breast uptake of radioiodine in a patient with thyroid malignancy: Metastases or not? J R Soc Med 2008;319-20.
- Siema M, Powe J, Hammami M. Radioiodine uptake in the chest. J Nucl Med 1997;38:984-6.
- Spinapolice EG, Chytiris S, Fuccio C et al. Pulmonary sequestration: a (131)I whole body scintigraphy false-positive result. Ann Nucl Med 2014;28:683-7.
- Gargya A, Chua E. Focal bronchiectasis causing abnormal pulmonary radioiodine uptake in a patient with well-differentiated papillary thyroid carcinoma. Case Reports in Endocrinology Vol 2012, Article ID 452758.