Análisis multidisciplinario con ecografía y SPECT-CT (AMESPECT), previo a cirugía radioguiada (CRG) por lesión local recurrente de tiroides (LLRCT): ¿Mejora el propio acto quirúrgico versus una CRG convencional?
Iván Vega-González1, Germán Osorio Arenas2, Flor María Quintero Álvarez1, Zaki Taissoun Aslan3, Sergio Zúñiga Pavia3, Juan Carlos Ramírez Fontalvo1, Carlos Simón Duque Fisher1, Lina María López Vélez1, Juan Carlos Ramírez Yepes4, Miguel Martínez Villegas5.1 - Unidad de Medicina Nuclear, Clínica Las Américas. Medellín, Colombia..2 - Radiología y Física Médica, Clínica Las Américas. Medellín, Colombia..3 - Cirugía de Cabeza y Cuello, Instituto de Cancerología. Medellín, Colombia..4 - Estudiante de Medicina, Universidad CES. Medellín, Colombia..5 - Médico General, Universidad CES.
Resumen
La primera opción de tratamiento para LLRCT es quirúrgica. Sin embargo, hay dificultades logísticas y de “lenguaje” cuando el cirujano integra la información de estudios de imagen para planear la re-intervención, disminuir la morbilidad y obtener buenos resultados. A su vez, la CRG contribuye a incrementar la efectividad quirúrgica en estos casos. El presente trabajo describe un enfoque multidisciplinario realizado por especialistas de medicina nuclear (MN), radiología (RD) y cirugía de cabeza y cuello (CC) integrando los datos clínicos, las imágenes previas, la ecografía de la radiomarcación de la lesión y los datos adicionales generados por el SPECT-CT (AMESPECT), en 17 pacientes llevados a CRG por LLRCT con varias reintervenciones previas. Utilizando este enfoque, el acto operatorio tuvo una efectividad del 100% sin incrementar los tiempos quirúrgicos ni hospitalarios, ni la complejidad o la morbilidad quirúrgica. Es de notar que en un 65% de casos debió modificarse el plan quirúrgico ya que hubo un incremento en la sensibilidad para detección de otras lesiones recurrentes aparte de las radiomarcadas.
Abstract
The first treatment option for LLRCT (local recurrent lesions from thyroid carcinoma) is surgical. However, there are logistic and "language" difficulties when the surgeon integrates the information from imaging studies to plan re-intervention, decrease morbidity, and obtain good results. In turn, the CRG (radioguided surgery) contributes to increase the surgical effectiveness in these cases. This work describes a multidisciplinary approach carried out by specialists in nuclear medicine, radiology and head and neck surgery, integrating clinical data, previous images, ultrasound of radiolabeled lesion and data generated by the SPECT-CT (AMESPECT), in 17 patients taken to CRG by LLRCT with several previous interventions. Using this approach, the operative act was 100% effective without increasing the surgical or hospital times, or the complexity or surgical morbidity. It should be noted that in 65% of cases the surgical plan had to be modified since there was an increase in sensitivity for the detection of other LLRCT apart from the radiolabeled ones.
Introducción
Se estima que 10-20% o más de los pacientes con carcinoma de tiroides libres de enfermedad después de un tratamiento inicial adecuado, sufre una recurrencia, dos tercios de ellos dentro de los 10 primeros años (1). Si bien la mayoría tiene buena supervivencia, las recurrencias múltiples conspiran contra la sobrevida global y específica de la enfermedad, por lo cual es de gran importancia la eficacia quirúrgica en una primera recurrencia. La primera opción de tratamiento para LLRCT es quirúrgica, la cual puede optimizarse con la ayuda de métodos de imagen y localización guiada intraoperatoria (2-5). Sin embargo, existen dificultades logísticas y de “lenguaje” cuando el cirujano integra la información de estudios de imagen para planear la re-intervención, disminuir la morbilidad y así obtener buenos resultados. El presente trabajo describe un enfoque multidisciplinario con participación de especialistas de medicina nuclear (MN), radiología (RD) y cirugía de cabeza y cuello (CC) integrando los datos clínicos y de imagenología diagnóstica incluyendo ecografía de la lesión radiomarcada y los datos adicionales generados por el SPECT-CT (AMESPECT). Por tanto, nuestro objetivo fue analizar el impacto del enfoque AMESPECT en la CRG para tratamiento de LLRCT considerando la eficacia del acto, la sensibilidad para detección de lesiones adicionales y los tiempos operatorios y de internación.
Método
Se trató de un estudio retrospectivo, descriptivo, de una serie de casos recolectados entre junio de 2016 y junio de 2017. Se incluyeron pacientes llevados a CRG por LLRCT, en quienes se descartó enfermedad a distancia y que contaran con: ecografía-BACAF (+) para LLRCT, SPECT-CT postradiomarcación de LLRCT, valores de tiroglobulinas (TGB), notas quirúrgicas y de evolución hospitalaria y reporte de patología. Las características de esta población se presentan en la tabla 1.
| Sexo
|
Edad
|
Ecografía (mm)
|
Histopatología
|
Intervenciones previas
|
TGB (ng/ml)
|
|---|---|---|---|---|---|
| F
|
57
|
13
|
Papilar clásico
|
2
|
3
|
| F
|
29
|
13
|
Papilar clásico
|
4
|
6
|
| F
|
56
|
10
|
Papilar clásico
|
2
|
11
|
| F
|
35
|
12
|
Papilar variante folicular
|
3
|
9
|
| F
|
68
|
14
|
Papilar clásico
|
2
|
16
|
| F
|
29
|
5
|
Papilar clásico
|
1
|
25
|
| F
|
50
|
14
|
Papilar patrón folicular
|
2
|
22
|
| F
|
73
|
9
|
Papilar clásico
|
3
|
28
|
| F
|
63
|
12
|
Papilar clásico
|
2
|
9
|
| F
|
57
|
10
|
Papilar clásico
|
2
|
34
|
| F
|
49
|
10
|
Papilar clásico
|
2
|
26
|
| M
|
23
|
21
|
Papilar clásico
|
2
|
13
|
| M
|
43
|
29
|
Papilar clásico
|
3
|
123
|
| F
|
67
|
5
|
Papilar clásico
|
3
|
9
|
| F
|
61
|
17
|
Papilar patrón folicular
|
2
|
25
|
| F
|
44
|
10
|
Papilar clásico bilateral
|
2
|
38
|
| F
|
53
|
11
|
Papilar clásico
|
|
10
|
|
|
Mujer = 88%
Hombre = 12% |
Promedio = 50,4
Rango = 23 - 73 |
Papilar clásico = 82%
Papilar patrón folicular = 18% |
Promedio = 2,3
Rango = 1 - 4 |
Promedio = 23,9
Rango = 3 - 123 |
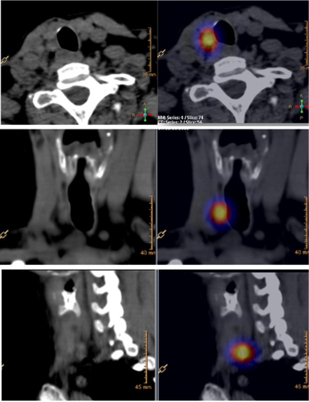
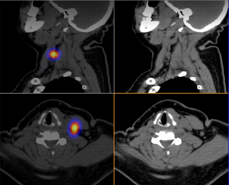
Procedimiento AMESPECT
Los pasos a seguir para completar el procedimiento son los siguientes (fig. 1):
- Revisión de datos clínicos, imágenes y ecografía previa.
- El día de la cirugía, el radiólogo realiza nueva ecografía que compara con la previa.
- Asepsia y antisepsia similares al procedimiento BACAF.
- Se localiza ecográficamente y se punciona la LLRCT, igual que en BACAF (aguja No. 22).
- A través de la aguja en la lesión, el médico nuclear inyecta 200 µCi de macroagregados de albúmina (MAA) marcados con 99mTc (0.05 ml de SSN). Si se requiere, se marca más de una lesión.
- Se retira la aguja y se realiza hemostasia.
- Se pasa el paciente a SPECT-CT (con CT diagnóstica).
- Se realiza el AMESPECT con ecografía y SPECT-CT; se expone a través de reportes al cirujano.
- En cirugía se realiza el procedimiento habitual con sonda gama: rastreo, localización, conteo in vivo, resección quirúrgica, conteo ex vivo y conteo del lecho quirúrgico.
- Hospitalización post quirúrgica, evolución, alta.
- Interrogatorio subjetivo al cirujano respecto a la experiencia.
- Resultados de patología y seguimiento.
Resultados
Se analizaron 17 casos, 15 mujeres y 2 hombres, con edad promedio de 50,4 años (23-73 años). Se identificó carcinoma papilar clásico en 15 pacientes y papilar variante folicular en 2, con varias intervenciones previas por LLRCT (en promedio 2,3 intervenciones por paciente). La TGB pre quirúrgica promedio de 23,9 ng/ml (3-123 ng/ml), descendió posterior a la cirugía a un valor promedio de 4,6 ng/ml (aunque fue medida sólo en 12 casos). En la tabla 2 se resumen los resultados.
En cuanto a la efectividad quirúrgica, se extirpó el 100% de las lesiones radiomarcadas (17/17); de ellas, 16/17 (94,1%) fueron positivas para LLRCT. En el 47% (n=8) fueron recurrencias y en 53% (n=9) adenopatías secundarias.
El tiempo operatorio promedio fue de 57,3 min (30-100 min). Los tiempos más prolongados correspondieron a un caso que requirió vaciamiento ganglionar lateral adicional y a otro con extensa fibrosis que debió ser reintervenido por hematoma post quirúrgico, única morbilidad grado 2 encontrada. El tiempo de hospitalización osciló entre 16 y 48 horas, con un promedio de 19,69 horas (corresponde aproximadamente al 50% del promedio histórico de la institución de 40,5 horas). De acuerdo a la opinión subjetiva de los cirujanos actuantes, la complejidad quirúrgica y la morbilidad fueron menores que con el procedimiento convencional.
Efectos del AMESPECT
- En 13/17 casos (76%), incrementó un 25% el tamaño detectado de las LLRCT respecto a la ecografía inicial (de 12,6 mm promedio a 16,8 mm.).
- Se reconocieron 22 nuevas lesiones (129% más) sospechosas de LLRCT en 11/17 pacientes (65%), en quienes modificó el plan quirúrgico; 82% de las nuevas lesiones fueron positivas para carcinoma tiroideo.
- En un paciente en que la lesión radiomarcada fue negativa, el AMESPECT localizó dos lesiones más que fueron resecadas y resultaron positivas.
- En otro paciente, AMESPECT determinó la realización adicional de vaciamiento lateral de cuello, con varias adenopatías positivas en la patología.
Como finalmente se resecan 39 lesiones y 34/39 (87%) fueron positivas para LLRCT, la muestra cambia a un n de 39. Si comparamos la sensibilidad y los valores predictivos negativos de la “CRG tradicional” (programada), versus “CRG previo AMESPECT” (resecado), versus patología, se observa lo siguiente:
- La CRG convencional mostró sensibilidad de 47%, VPN de 18.2%.
- La CRG previo AMESPECT mostró sensibilidad de 99.7%, VPN de 88%, en una prevalencia de 88%.
Las figs 2-5 ilustran casos de la serie analizada.
| Caso
|
Eco radiomarcado (mm)
|
Lesiones adicionales (no radiomarcadas) reportadas por Eco y SPECT/CT
|
Lesiones adicionales resecadas y patología (+)
|
Patología final
|
Lecho = 0
Ganglio = 1 |
Tiempo QX (min) | Morbilidad grado 1, 2, 3 | TGB Post | Horas hospital |
|---|---|---|---|---|---|---|---|---|---|
| 1
|
16
|
0
|
0
|
Papilar clásico
|
0
|
60
|
1
|
0.1
|
16
|
| 2
|
10
|
0
|
0
|
Papilar clásico
|
0
|
70
|
2
|
1.2
|
48
|
| 3
|
10
|
0
|
0
|
Papilar clásico
|
0
|
30
|
1
|
0.1
|
18
|
| 4
|
14
|
1
|
1
|
Papilar patrón folicular
|
1
|
50
|
1
|
1
|
18
|
| 5
|
14
|
0
|
0
|
Papilar clásico
|
0
|
100
|
1
|
3
|
17
|
| 6
|
8
|
2
|
2
|
Papilar clásico
|
1
|
30
|
1
|
0
|
16
|
| 7
|
16
|
1
|
1
|
Papilar clásico
|
1
|
60
|
1
|
NT
|
18
|
| 8
|
30
|
1
|
1
|
Papilar clásico
|
0
|
60
|
1
|
3.5
|
18
|
| 9
|
12
|
0
|
0
|
Papilar clásico
|
0
|
40
|
1
|
NT
|
16
|
| 10
|
16
|
2
|
2
|
Papilar clásico
|
1
|
45
|
1
|
0
|
19
|
| 11
|
25
|
1
|
1
|
Papilar clásico
|
1
|
45
|
1
|
5
|
16
|
| 12
|
18
|
3
|
2
|
Papilar clásico*
|
1
|
90
|
1
|
NT
|
16
|
| 13
|
32
|
3
|
1
|
Papilar clásico
|
1
|
40
|
1
|
15
|
18
|
| 14
|
10
|
2
|
1
|
Papilar clásico
|
0
|
40
|
1
|
NT
|
17
|
| 15
|
30
|
5
|
5
|
Papilar patrón folicular
|
1
|
100
|
1
|
1
|
24
|
| 16
|
10
|
1
|
1
|
Papilar clásico
|
0
|
40
|
1
|
NT
|
18
|
| 17
|
15
|
0
|
0
|
Papilar clásico
|
1
|
75
|
1
|
NT
|
16
|
|
|
Promedio = 16,8
Rango = 8 - 32 |
Promedio = 1,3
Rango = 0 - 5 |
Promedio = 1,1
Rango = 0 - 5 |
Papilar clásico = 88%
Papilar patrón folicular = 12% |
Lecho = 47%
Ganglios = 53% |
Promedio = 57,3
Rango = 30 - 100 |
Grado 1 = 94%
Grado 2 = 6% Grado 3 = 0% |
Promedio = 3,3
Rango = 0 - 15 |
Promedio = 19,4
Rango = 16 - 48 |
|
|
|
|
|
*Negativo a la lesión radiomarcada, positivo a otras resecadas.
|
|
|
|
|
|
Conclusiones
Teniendo de base SPECT-CT y al comparar las ecografías inicial y de radiomarcación, un AMESPECT previo a la CRG permite detectar, además de las LLRCT radiomarcadas (que ayuda a resecar el 100%):
- Cambios en los tamaños observados de las lesiones recurrentes.
- Otras lesiones sospechosas de LLRCT que deberían ser resecadas, lo cual suele modificar el plan quirúrgico (en nuestra serie, en el 65% de los casos) e incluso extender la cirugía a vaciamientos ganglionares laterales de cuello.
- Además de localizar y extirpar, en un mismo paciente, otras LLRCT adicionales, aun cuando la LLRCT radiomarcada sea negativa a la patología.
- No se incrementan los tiempos operatorios ni de hospitalización postquirúrgica, tampoco la complejidad o morbilidad quirúrgicas, subjetivamente expuestas por los cirujanos, en pacientes de difícil acceso por tener varias cirugías previas.
- Aparte de las ventajas de la CRG, que un cirujano refiere como “operar literalmente con GPS”, el trabajo del especialista de imagen debe ir más allá e integrar la información clínica, molecular y morfológica y “traducirla” a un lenguaje sencillo y práctico para que el cirujano logre el objetivo de control de la enfermedad.
Quedan para evaluar posteriormente:
- Si la intervención contribuyó a un aumento de la sobrevida libre de enfermedad o de la sobrevida global.
- Un análisis de calidad de vida y de costo-beneficio, ya que a priori se infiere una disminución de costos de manejo de estos pacientes, sobre todo si se evitan cirugías posteriores.




Referencias
- Pereira JA, Jimeno J, Miquel J et al. Nodal yield, morbidity, and recurrence after central neck dissection for papillary thyroid carcinoma. Surgery 2005;138:1095-100.
- Coburn M, Teates D, Wanebo HJ. Recurrent thyroid cancer. Role of surgery versus radioactive iodine (I131). Ann Surg 1994;219:587-93.
- Kelemen PR, van Herle AJ, Giuliano AE. Sentinel lymphadenectomy in thyroid malignant neoplasms. Arch Surg 1998;133:288-92.
- Bitencourt AG, Lima EN, Pinto PN et al. New applications of radioguied surgery in oncology. Clinics (Sao Paulo) 2009;64:397-402.
- Ilgan S, Oztürk E, Yildiz R et al. Combination of preoperative ultrasonographic mapping and radioguided occult lesion localization in patients with locally recurrent/persistent papillary thyroid carcinoma. A practical method for central compartment reoperations. Clin Nucl Med 2010;35:847-52.
- Grant CS, Hay ID, Gough IR et al. Local recurrence in papillary thyroid carcinoma: is extent of surgical resection important? Surgery 1988;104:954-62.
- Mazzaferri EL, Kloos RT. Clinical review 128: Current approaches to primary therapy for papillary and follicular thyroid cancer. J Clin Endocrinol Metab 2001;86:1447-63.
- García JR, Fraile M, Soler M et al. Protocolo de cirugía de rescate guiada por PET/TAC. Resultados con técnica ROLL y sonda PET. Rev Esp Med Nucl 2011;30:217-22.
- Pitoia F, Cavallo A. Cáncer de tiroides en búsqueda del tratamiento individualizado. Medicina (Buenos Aires) 2012;72:503-13.
- Kelemen PR, van Herle AJ, Giuliano AE. Sentinel lymphadenectomy in thyroid malignant neoplasms. Arch Surg 1998;133:288-92.
- Martino A, Monaco L, Golia R et al. A new radioguied procedure for localization and surgical treatment of neck node metastasis of papillary cáncer. J. Endocrinol Invest 2011;33:339-42.
- Pagianelli G, Luini A, Veronesi U. Radioguied occult lesión localization (ROLL) in breast cancer: maximizing efficacy, minimizing mutilation. Ann Oncol 2002;13:1839-40.
- Intra M, de Cicco C, Gentilini O et al. Radioguied localisation (ROLL) of non-palpable breast lesions and simultaneus sentinel lymph node biopsy (SNOLL): The experience of the European Institute of Oncology. Eur Nucl Med Mol Imaging 2007;34:957-8.
- Cabrera RN, Chone CT, Zantut-Wittmann DE et al. The role of SPECT/CT lymphoscintigraphy and radioguided sentinel lymph node biopsy in managing papillary thyroid cancer. JAMA Otolaryngol Head Neck Surg 2016;142:834-41.
- Ilgan S, Ozthurk E, Yildiz R et al. Combination of preopertative ultrasonographic mapping and radioguied occult lesion localization in patients with locally recurrent/persistent papillary thyroid carcinoma. Clin Nucl Med 2010;11:847-52.
